Merkmale des Epithelgewebes
Epithelgewebe bildet die oberflächen- oder drüsenseitige Zellschicht des Körpers Epithelien bedecken äußere und innere Körperoberflächen oder bilden Drüsen. Sie übernehmen zentrale Aufgaben wie Schutz, Resorption
- Allgemeine Merkmale:
- Meist dichte, geschlossene Zellverbände ohne relevante Interzellularsubstanz
- Keine Blutgefäße im Epithel → Versorgung durch Diffusion
aus dem darunterliegenden Bindegewebe (Ausnahme: Stria vascularis im Innenohr enthält kapillarführendes Epithel) - Ständiger Zellumsatz mit Neubildung durch mitotisch aktive Basalzellen (Ausnahme: z. B. sensorisches Epithel der Retina
ohne Zellregeneration)
- Morphologische Einteilung:
- Oberflächenepithelien: Bedecken äußere (z. B. Haut) und innere Oberflächen (z. B. Darm, Atemwege)
- Drüsenepithelien: Spezialisierung auf Sekretbildung
- Sinnesepithelien: Spezialisierung auf Reizaufnahme (z. B. Retina
, Innenohr )
- Zellkontakte und Polarität:
- Zellen sind über spezialisierte Zellkontakte (Tight Junctions
, Adhärenskontakte , Desmosomen , Gap Junctions ) verbunden - Epithelzellen zeigen eine apikobasale Polarität
- Apikaler Pol: zum Lumen oder zur Außenfläche gerichtet
- Basaler Pol: zur Basalmembran gerichtet (bestehend aus Basallamina und Lamina fibroreticularis)
- Zellen sind über spezialisierte Zellkontakte (Tight Junctions
Kriterien zur Einteilung von Epithelien
1. Zellform:
- Platt: Zellhöhe < Zellbreite
- Isoprismatisch (kubisch): Zellhöhe ≈ Zellbreite
- Hochprismatisch (zylindrisch): Zellhöhe > Zellbreite

OpenStax College, CC BY 3.0 <https://creativecommons.org/licenses/by/3.0>, via Wikimedia Commons
2. Zellschichtung:
- Einschichtig: Eine Zelllage, alle Zellen erreichen die Basalmembran und die Oberfläche
- Mehrreihig: Alle Zellen haben Kontakt zur Basalmembran, aber nicht alle erreichen die Oberfläche → Zellkerne auf unterschiedlicher Höhe → Eindruck mehrerer Reihen
- Mehrschichtig: Mehrere Zelllagen, nur die unterste Schicht hat Kontakt zur Basalmembran

OpenStax College, CC BY 3.0 <https://creativecommons.org/licenses/by/3.0>, via Wikimedia Commons
3. Oberflächendifferenzierung:
- Kinozilien, Mikrovilli oder Verhornung möglich
Benennung der Epithelien
- Kombination aus Zellschichtung, Form und Differenzierung
- Beispiele: einschichtig hochprismatisches Epithel, mehrschichtig verhorntes Plattenepithel
Basalmembran
- Grundlagen:
- Dünne, zellfreie Schicht, die im Extrazellulärraum zwischen dem Epithel und dem angrenzenden Gewebe liegt
- Bei nicht-epithelialen Zellen wie Muskelzellen, Fett- oder Nervenzellen
wird die Basalmembran üblicherweise äußere Lamina genannt - Dicke: ca. 50–150 nm, je nach Gewebe
- Lichtmikroskopisch erkennbar als lineare Struktur unterhalb des Epithels, elektronenmikroskopisch lässt sich die Basalmembran in drei Schichten unterteilen

- Struktur:
- Basallamina (von den Epithelzellen gebildet)
- Lamina rara (auch als Lamina lucida bekannt): epithelseitig, wenig elektrondicht
- Lamina densa: mittlere, elektrondichte Schicht, reich an Kollagen Typ IV
- Lamina fibroreticularis (von Zellen des Bindegewebes gebildet): bindegewebsseitige, faserreiche Schicht mit retikulären Fasern (Kollagen Typ III)
- Nicht in allen Geweben vorhanden, z. B. im Glomerulum
, wo die Basallaminae von Endothel und Podozyten verschmelzen
- Nicht in allen Geweben vorhanden, z. B. im Glomerulum
- Basallamina (von den Epithelzellen gebildet)
- Molekulare Bestandteile:
- Strukturproteine
: Kollagen Typ IV (Lamina densa), Kollagen Typ III (retikuläre Fasern der Lamina fibroreticularis), Fibrillin-haltige Mikrofibrillen - Adhäsions- und Verankerungsproteine: Laminin, Nidogen, Fibronektin, Integrine
- Weitere Komponenten: Proteoglykane (z. B. Perlecan, Syndecan), Ankerfibrillen (Kollagen Typ VII, wichtig für Verbindung zur extrazellulären Matrix), Hemidesmosomen
- Strukturproteine
Merke
- Basalmembran = Basallamina + Lamina fibroreticularis
- Basallamina = Lamina rara + Lamina densa

Radzki, D.; Negri, A.; Kusiak, A.; Obuchowski, M., CC BY 4.0 <https://creativecommons.org/licenses/by/4.0>, via Wikimedia Commons
Oberflächenepithelien
Funktionen:
- Bilden eine mechanische Schutzbarriere gegenüber physikalischen Einflüssen wie Strahlung oder Druck
- Verhindern den unkontrollierten Austausch von Substanzen zwischen Gewebe und Umgebung (Barrierefunktion durch Tight Junctions
) - Erzeugen chemische Barrierenz. B. Schutz vor aggressiven Bestandteilen des Harns durch Uroplakine im Urothel
- Ermöglichen gezielten Stofftransport durch Resorption
(Aufnahme) und Sekretion (Abgabe)
Einschichtige Epithelien:
- Einschichtiges Plattenepithel
- Besteht aus einer Lage flacher, eng anliegender Zellen
- Liegt direkt auf einer Basalmembran auf
- Typisches Vorkommen:
- Alveolarepithel: Pneumozyten Typ I (gasaustauschend) kleiden Alveolen
von innen aus - Endothel: Innenauskleidung von Blut- und Lymphgefäßen
- Mesothel: Auskleidung seröser Höhlen wie Pleura, Perikard
oder Peritoneum
- Alveolarepithel: Pneumozyten Typ I (gasaustauschend) kleiden Alveolen
- Einschichtig isoprismatisches (kubisches) Epithel
- Zellen sind würfelförmig, also gleich hoch und breit
- Zellkern ist rund und liegt zentral
- Typisches Vorkommen: Nierentubuli, Schilddrüsenfollikel, Ausführungsgänge exokriner Drüsen
- Einschichtig hochprismatisches Epithel
- Zellen sind säulenförmig mit längsovalen Zellkernen, die sich meist basal befinden
- Oft mit apikaler Spezialisierung: Mit Mikrovilli (Bürstensaum) zur Resorption
(z. B. Dünndarm) oder mit Kinozilien zum Transport (z. B. Tuba uterina)

OpenStax College, CC BY 3.0 <https://creativecommons.org/licenses/by/3.0>, via Wikimedia Commons
Mehrreihiges Epithel:
- Allgemeine Merkmale:
- Alle Zellen haben Kontakt zur Basalmembran, aber nicht alle erreichen die freie Oberfläche
- Oberflächennahe Zellen sind meist hochprismatisch, der schmale Fortsatz zur Basalmembran ist mikroskopisch oft nicht erkennbar
- Basal gelegene Reservezellen mit rundem Zellkern reichen nicht bis zur Oberfläche und dienen der Regeneration
- Zellkerne liegen auf unterschiedlichen Höhen, daher wirkt das Epithel mehrreihig (obwohl es einschichtig ist)
- Varianten und Vorkommen:
- Mehrreihiges Flimmerepithel (respiratorisches Flimmerepithel):
- Besitzt Kinozilien und Becherzellen
- Lokalisation: Atemwege von Nasenschleimhaut über Trachea bis in die Bronchien
- Funktion: Schleimproduktion und -transport (Mukoziliäre Clearance)
- Zweireihiges Epithel (Spezialform):
- Zwei Kernlagen deutlich erkennbar
- Lokalisation: Nebenhodengang, Samenleiter, größere Drüsenausführungsgänge
- Mehrreihiges Flimmerepithel (respiratorisches Flimmerepithel):

Laboratoires Servier, CC BY-SA 3.0 <https://creativecommons.org/licenses/by-sa/3.0>, via Wikimedia Commons
Mehrschichtige Epithelien:
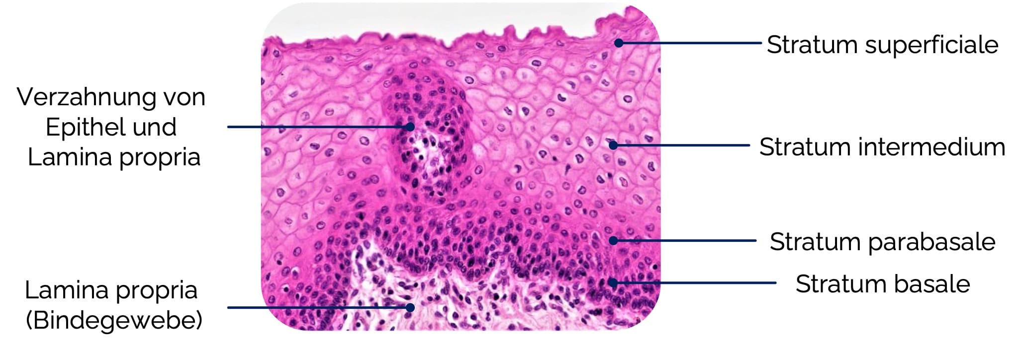
Mehrschichtiges unverhorntes Plattenepithel:
- Allgemeiner Aufbau
- Mehrschichtiges Epithelgewebe aus mehreren Zelllagen, bei dem sich die Zellform von basal (kubisch/prismatisch) nach apikal (platt) verändert
- Zellen wandern kontinuierlich von der Basalschicht nach oben und differenzieren sich aus
- Unterschied zum verhornten Plattenepithel: Kein Stratum granulosum, kein Stratum corneum (keine Verhornung), Zellkerne bleiben bis in die oberste Schicht erhalten
- Schichtaufbau (von basal nach apikal)
- Stratum basale: Eine Lage kubischer bis prismatischer Basalzellen; enthält Stammzellen, die durch Hemidesmosomen fest mit der Basalmembran verankert sind → Regeneration und Reparatur
- Stratum parabasale: Mehrere Lagen polygonaler Zellen; Übergangsschicht, in manchen Lehrbüchern Teil des Stratum intermedium
- Stratum intermedium: Mehrere Zellschichten, über Desmosomen
verbunden („Stachelzellschicht“), glykogenreich, erscheint im LM oft hell - Stratum superficiale: Flache oberflächliche Zellen mit noch erkennbaren Zellkernen (pyknotisch, aber vital); ebenfalls glykogenreich
- Funktion
- Mechanischer Schutz in feuchten Bereichen ohne Verdunstungsschutz
- Gute Regeneration durch Basalzellen, kontinuierlicher Zellumsatz
- Typisches Vorkommen:
- Cavitas oris (Mundhöhle)
- Ösophagus (Speiseröhre)
- Vagina
, Portio vaginalis der Cervix uteri - Distale Urethra
- Canalis analis (Analkanal)
- Cornea, Konjunktiva
- Plica vocalis (Stimmlippe)
MerkeMehrschichtiges unverhorntes Plattenepithel ist überall da, wo Sperma hinkommen kann → Vagina
, Mundhöhle, Ösophagus, Anus, Auge und Stimmlippe (worst case).

Mehrschichtiges verhorntes Plattenepithel:
- Allgemeiner Aufbau
- Mehrschichtiges Epithel mit Differenzierung der Zellschichten bis zur Ausbildung einer Hornschicht (Stratum corneum)
- Obere Zellen sind kernlos, abgestorben und in widerstandsfähige Hornschuppen (Korneozyten) umgewandelt
- Dient als Schutz vor mechanischen Einflüssen, chemischen Reizen, Mikroorganismen und Austrocknung
- Enthält eine Lipidbarriere (aus Lamellenkörperchen), die zusätzlich den Wasserverlust verhindert

- Schichtaufbau (von basal nach apikal)
- Stratum basale: eine Lage kubischer bis prismatischer Basalzellen, hohe mitotische Aktivität, Stammzellen, die über Hemidesmosomen mit der Basalmembran verbunden sind
- Stratum spinosum (Stachelzellschicht): mehrere Zelllagen, Desmosomen
geben „stacheliges“ Aussehen, Beginn der Keratinproduktion - Stratum granulosum (Körnerschicht): 2–5 Zelllagen, enthalten Keratohyalin-Granula und Lamellenkörperchen → entscheidend für Keratinisierung und Barrierebildung
- Stratum lucidum: nur in stark verhornten Arealen (Leistenhaut: Handflächen, Fußsohlen); schmale, helle Schicht mit stark verdichteten Keratinvorstufen
- Stratum corneum (Hornschicht): mehrere Lagen kernloser Korneozyten, kontinuierliche Abschilferung (Desquamation
)
- Vorkommen:
- Typisches Epithel der Epidermis (äußere Hautschicht)
- Varianten:
- Leistenhaut: besonders stark verhornt, mit Stratum lucidum (Handinnenflächen, Fußsohlen)
- Felderhaut: dünnere Hornschicht, ohne Stratum lucidum (restliche Körperhaut)
Mehrschichtige hochprismatische Epithelien:
- Merkmale und Lokalisation
- Seltene Form des mehrschichtigen Epithels
- Mehrere Zelllagen, wobei die oberflächlichen Zellen hochprismatisch sind
- Lokalisation z. B. in Ausführungsgängen großer Speicheldrüsen, Übergangsregionen von unverhorntem Plattenepithel zu einschichtig hochprismatischem Epithel (z.B. Konjunktiven der Augen)

Laboratoires Servier, CC BY-SA 3.0 <https://creativecommons.org/licenses/by-sa/3.0>, via Wikimedia Commons
Urothel (Übergangsepithel):
- Allgemeiner Aufbau:
- Spezialisierte Form des mehrschichtigen Epithels
- Kleidet die ableitenden Harnwege vom Nierenbecken bis zur proximalen Urethra aus
- Passt sich dem Füllungszustand (z. B. der Harnblase) durch Veränderung von Zellform und -anordnung an
- Schichtaufbau (von basal nach apikal)
- Stratum basale: kleine, kubische Zellen mit Kontakt zur Basalmembran; enthält Stammzellen zur Regeneration
- Stratum intermedium: mehrere Lagen polyedrischer oder spindelförmiger Zellen
- Stratum superficiale mit Umbrella cells: Große, kuppelförmige Deckzellen, oft zweikernig, apikale Membran mit Crusta
(Uroplakine) → macht das Epithel undurchlässig und schützt vor den chemischen Eigenschaften des Urins
- Funktion:
- Barriere gegen toxische Bestandteile des Urins (v. a. durch Uroplakine und Tight Junctions
) - Mechanischer Schutz bei starker Dehnung
- Elastizität durch Formänderung der Deckzellen (kuppelförmig bei leerer, flach bei gefüllter Blase
)
- Barriere gegen toxische Bestandteile des Urins (v. a. durch Uroplakine und Tight Junctions
- Typisches Vorkommen:
- Nierenbecken (Pelvis renalis)
- Harnleiter
(Ureter ) - Harnblase (Vesica urinaria)
- Proximale Urethra

User:Polarlys, CC BY-SA 3.0 <http://creativecommons.org/licenses/by-sa/3.0/>, via Wikimedia Commons
Laboratoires Servier, CC BY-SA 3.0 <https://creativecommons.org/licenses/by-sa/3.0>, via Wikimedia Commons.