Übersicht
Definition:
Die extrazelluläre Matrix bezeichnet den Anteil des Gewebes, der die Zellen zwischen den Zellverbänden ausfüllt, netzartig umhüllt und für mechanische Stabilität, Stofftransport und Signalübertragung verantwortlich ist.
Hauptbestandteile:
1. Bindegewebsfasern:
a) Kollagene Fasern → Zugfestigkeit
b) Retikuläre Fasern → feine Netzstrukturen in lymphatischen Organen, Basalmembran (Lamina fibroreticularis)
c) Elastische Fasern → Dehnbarkeit und Rückstellkraft
2. Grundsubstanz:
- Proteoglykanen (z. B. Decorin, Aggrecan)
- Glykosaminoglykanen (z. B. Hyaluronan)
- Adhäsive Glykoproteine (z. B. Fibronectin, Laminin) → Zell-Matrix-Interaktionen
3. Wasser
Bindegewebsfasern
a) Kollagenfasern
- Bilden die häufigste Faserart im Bindegewebe
- Bestehen aus Tropokollagen, einem Protein aus drei zu einer Tripelhelix gewundenen Peptidketten
- Tropokollagen lagert sich versetzt zu Kollagenfibrillen, diese zu Kollagenfasern und schließlich zu Faserbündeln zusammen
- Sind zugfest und nur minimal dehnbar
- Zeigen elektronenmikroskopisch Querstreifung, bedingt durch die versetzte Tropokollagen-Anordnung
- Entstehen durch Synthese von Prokollagen in Fibroblasten und anschließende Modifikation im Extrazellulärraum
Straffes parallelfaseriges Bindegewebe:

OpenStax College, CC BY 3.0 <https://creativecommons.org/licenses/by/3.0>, via Wikimedia Commons
- Wichtige Kollagentypen
- Typ I: Sehr zugfest, in Knochen, Sehnen, Dentin, straffem und lockerem Bindegewebe
- Typ II: Im hyalinen und elastischen Knorpel
- Typ III: Bildet retikuläre Fasern (lymphatische Organe, Lamina fibroreticularis, Gefäßwand)
- Typ IV: Bestandteil der Basallamina (v.a. Lamina densa)
- Typ VI: Perizelluläres Kollagen, vermittelt Zell-Matrix-Verbindungen; Defekte führen u. a. zu Muskeldystrophien
- Typ VII: Bildet Ankerfibrillen, die Basallamina mit dem darunterliegenden Bindegewebe verbinden
- Typ XVII: Transmembran-Kollagen der Hemidesmosomen (wichtiger Bestandteil der Dermal-Epidermalen Verbindung, kein fibrilläres Kollagen)
- Typ XI: fibrillär, Bestandteil des Knorpels
b) Retikuläre Fasern
- Bestehen aus Kollagen Typ III und verschiedenen Glykosaminoglykanen
- Bilden das feines, netzartiges Gerüst in retikulärem Bindegewebe, z. B. in lymphatischen Organen
- Durchmesser unter 1 μm, bestehen aus feinen Mikrofibrillen mit ca. 45 nm (dünnste Faser)
- Besitzen die typische Querstreifung und sind zugfest bei begrenzter Dehnbarkeit
- Ermöglichen Durchtritt von Immun- und Blutzellen
Retikuläres Bindegewebe:

OpenStax College, CC BY 3.0 <https://creativecommons.org/licenses/by/3.0>, via Wikimedia Commons
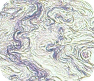
c) Elastische Fasern
- Bestehen aus einem zentralen Kern aus Elastin, umgeben von Mikrofibrillen (v. a. Fibrillin)
- Stark dehnbar, kehren danach wieder in den Ursprungszustand zurück
- Durchmesser meist etwa 2 μm, häufig verzweigt
- Bilden entweder Netze, Membranen oder faserige Bündel
- Entstehung durch Sekretion von Tropoelastin und Fibrillin durch Fibroblasten, anschließende Vernetzung im Extrazellulärraum
- Vorkommen elastischer Fasern
- In elastischem Knorpel
- In der Wand großer herznaher Arterien
- In elastischen Bändern (z. B. Ligamentum flavum)
- In der Lunge

Milchdrüse – Elastische Fasern:

R.Denzer, CC BY-SA 3.0 <http://creativecommons.org/licenses/by-sa/3.0/>, via Wikimedia Commons
Vergleich der Fasertypen der EZM:
| Merkmal | Kollagenfasern | Retikuläre Fasern | Elastische Fasern |
|---|---|---|---|
| Grundbausteine | Kollagen (v. a. Typ I) | Kollagen (v. a. Typ III)
| Elastin und Fibrillin-Mikrofibrillen |
| Faserdicke | 2–20 μm (dickste Faser) | <1 μm (dünnste Faser) | Ca. 2 μm |
| Eigenschaften | Sehr zugfest, kaum dehnbar | Zugfest, begrenzt dehnbar | Stark dehnbar, hohe Rückstellkraft |
| Vorkommen | Knochen, Sehnen, Dentin, straffes/lockeres Bindegewebe | Retikuläres Bindegewebe (lymphatische Organe, rotes Knochenmark), Basalmembran (Lamina fibroreticularis) | Elastischer Knorpel, Wände großer Arterien, Ligamentum flavum, Lunge |
Grundsubstanz
- Allgemeine Merkmale
- Ungeformter Bestandteil der extrazellulären Matrix
- Füllt die Zwischenräume zwischen Zellen und Fasern
- Stark hydratisiert, erscheint in Routinefärbungen (z. B. HE-Färbung) oft leer
- Enthält eine heterogene Mischung löslicher Moleküle
- Glykosaminoglykane (GAGs)
- Lange, unverzweigte Polysaccharide aus wiederholten Disacchariden
- Stark negativ geladen → binden Wasser und Kationen
- Wichtige Vertreter:
- Hyaluronsäure (als einziges GAG nicht sulfatiert, frei in der Matrix, bildet Aggregate mit Proteoglykanen)
- Chondroitinsulfat, Dermatansulfat, Keratansulfat, Heparansulfat
- Heparin
(vor allem in Mastzellen gespeichert, antikoagulatorisch)
- Proteoglykane
- Bestehen aus einem Core-Protein, an das mehrere GAG-Ketten (außer Hyaluronsäure) kovalent gebunden sind
- Hyaluronsäure bildet selbst kein Proteoglykan, verknüpft aber über Verbindungsproteine, die sich nicht-kovalent anlagern, große Proteoglykan- Aggregate (z. B. Aggrecan im Knorpel)
- Funktion: Wasserspeicherung, Dämpfungs- und Stützfunktion, Bindung von Signalmolekülen
- Wichtige Vertreter:
- Aggrecan (Knorpel, Chondroitinsulfat-reich, bildet große Aggregate)
- Decorin (unterstützt die Bildung und Reifung der Kollagentypen I, II und III)
- Perlecan (Basallamina, Heparansulfat-Proteoglykan, bindet Laminin und Kollagen IV)
Merke
- Proteoglykane = wenig Protein, viel Zucker
- Glykoproteine = wenig Zucker, viel Protein
- Glykoproteine
- Aufbau: Proteine mit kurzen, verzweigten Oligosaccharidketten, die meist kovalent gebunden sind (geringer Zuckeranteil im Vergleich zu Proteoglykanen)
- Funktion: Multifunktionale Adhäsionsproteine der extrazellulären Matrix, die Zellen mit der EZM verknüpfen und Signalwege regulieren
- Wichtige Vertreter:
- Fibronectin → Zelladhäsion, Kollagenbindung, Wundheilung
- Laminine → zentraler Bestandteil der Basallamina
