Uns ist es wichtig, dass du das grundlegende Prinzip der Sonographie verstehst. Deswegen verzichten wir in diesem Skript auf komplizierte Formeln und physikalisches Detailwissen, sondern beschränken uns auf das Wichtigste.
Das Prinzip der Sonographie ist dasselbe, das auch Fledermäuse anwenden: Hochfrequente Schallwellen („Ultraschall“) werden ausgesendet, zurückgeworfen, wieder aufgefangen und in Informationen umgerechnet.
Grundprinzipien der Sonographie:
Schall ist mechanische Energie: Es handelt sich um longitudinale Druckwellen, die ein Medium benötigen und sich je nach Dichte und Elastizität des Materials unterschiedlich ausbreiten
Frequenzbereich: In der medizinischen Diagnostik werden 2–15 MHz eingesetzt
Optimale Frequenzen: Höhere Frequenzen bieten eine bessere Auflösung, dringen jedoch weniger tief ein; niedrigere Frequenzen ermöglichen eine größere Eindringtiefe, jedoch bei geringerer Detailauflösung
Schallausbreitung im Medium: Das Verhalten der Wellen hängt entscheidend von Dichte, Elastizität und Grenzflächen der Gewebe ab. Dies beeinflusst Reflexion, Brechung, Absorption und Streuung
Bildentstehung: Laufzeit und Intensität des zurückkehrenden Echos bestimmen die Berechnung der Struktur im Schnittbild. Je stärker das Echo, desto heller erscheint ein Bereich im Sonographie-Bild
Funktionsweise einer Sonographiesonde:
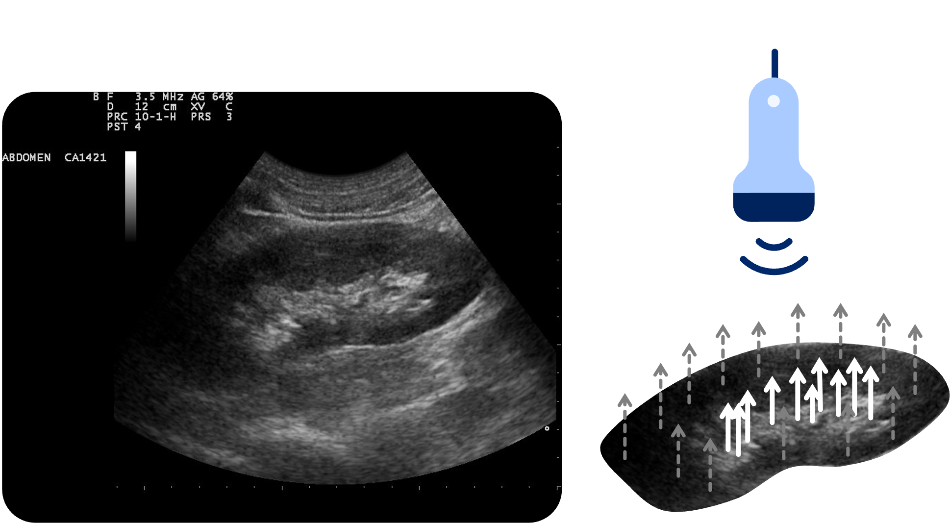
Eine Sonographiesonde nutzt den piezoelektrischen Effekt, um aus elektrischer Energie Schallwellen zu erzeugen. Die im Sondenkopf liegenden Kristalle senden kurze Ultraschallimpulse in das Gewebe. Treffen diese auf Grenzflächen unterschiedlicher Dichte, entsteht ein Echo, das von den Kristallen wieder in elektrische Signale umgewandelt wird. Aus Laufzeit und Stärke der zurückkehrenden Echos berechnet das Ultraschallgerät ein Bild mit unterschiedlichen Echogenitäten, das die inneren Strukturen des Körpers sichtbar macht.
Die Sonde sendet Schallwellen in das Gewebe aus (1). Flüssigkeit absorbiert kaum Schall und reflektiert wenig, wodurch sie echoarm/dunkel erscheint. Feste oder dichte Strukturen (z. B. Knochen (2), Kalk, Bindegewebe) reflektieren stark und erscheinen echoreich/hell (4). Die reflektierten Schallwellen (3) werden in ein Bild umgerechnet(4).
Wie genau kommt jetzt das Ultraschallbild zustande? Was auf dem Monitor erscheint, hängt von den charakteristischen Eigenschaften der unterschiedlichen Körpergewebe ab:
Schallausbreitung/Schallgeschwindigkeit: Mit zunehmender Dichte und abnehmender Kompressibilität eines Materials steigt die Ausbreitungsgeschwindigkeit des Schalls
Angeberwissen: Die durchschnittliche Schallgeschwindigkeit im Weichteilgewebe beträgt etwa 1.540 m/s. Dieser Referenzwert ermöglicht die räumliche Zuordnung der reflektierten Echos, da das Ultraschallgerät aus der gemessenen Laufzeit die Entfernung der Strukturen berechnet
Reflexion: An Grenzflächen zweier unterschiedlicher Medien – etwa zwischen Gefäßwand und intravasalem Blut – ändern sich die akustischen Impedanzen. Dies beschreibt den Widerstand gegenüber der Schallausbreitung, der je nach Gewebeart variiert
Die daraus entstehenden Reflexionseigenschaften bestimmen die Helligkeit im Ultraschallbild
Flüssigkeiten reflektieren nur wenig Schall und erscheinen daher echoarm/dunkel. Knochen oder andere stark reflektierende Strukturen erzeugen starke Echos und werden echoreich/hell dargestellt
Brechung: Treffen die Schallwellen nicht im 90 Grad-Winkel auf die zu untersuchende Struktur, wird ein Teil davon abgelenkt und erreicht den Schallkopf nicht mehr
Absorption:Hochfrequente Schallwellen werden stärker absorbiert als niederfrequente. Die dabei verlorengehende Energie wird in Wärme umgewandelt, was in der klinischen Anwendung – abgesehen von wenigen Spezialfällen – keine praktische Relevanz besitzt. Durch zunehmende Absorption erreichen weniger Schallwellen die tiefer liegenden Strukturen, wodurch die Eindringtiefe abnimmt. Die verschiedenen Gewebe weisen unterschiedliche Absorptionseigenschaften auf, was die Entstehung bestimmter Artefakte begünstigen kann
Merke
Hohe Frequenzen sorgen für eine gute Auflösung, haben aber eine geringe Eindringtiefe
Niedrige Frequenzen haben eine hohe Eindringtiefe, aber eine schlechtere Auflösung
Parameter
Die Parameter des Sonographiegeräts können separat eingestellt werden. So kann man beispielsweise Tiefe, Gain, Frequenz oder Dynamic-Range manuell festlegen. Optimale Einstellungen zu treffen, erfordert jedoch einiges an Übung, ist sehr situationsabhängig und eher etwas für Fortgeschrittene.
Tipp
Moderne Geräte haben für jede Zielstruktur einen Modus mit den besten Einstellungen bereits einprogrammiert, z.B. „Abdomen“, sodass man meist auf manuelle Einstellungen verzichten kann.
Bitte einloggen
Damit wir Dir weiterhin Inhalte in hoher Qualität bieten können, ist dieser Teil des Artikels nur für registrierte Nutzer:innen zugänglich. Logge dich ein oder teste Mediknow jetzt kostenlos.
Artefakte
Bei der Sonographie können Strukturen sichtbar werden, die real nicht existieren. Diese Artefakte sind keine Gerätefehler, sondern entstehen durch die physikalischen Eigenschaften des Schalls. Für die Bildberechnung nutzt das Ultraschallgerät mehrere Grundannahmen:
Schall breitet sich geradlinig aus
Die Schallgeschwindigkeit beträgt konstant 1.540 m/s
Reflexionen stammen ausschließlich von der tatsächlich getroffenen Struktur
Die Echointensität hängt ausschließlich von der Reflexionsstärke ab
In der biologischen Realität werden diese Voraussetzungen jedoch nicht vollständig erfüllt. Die Schallgeschwindigkeit liegt je nach Gewebe beispielsweise zwischen 1.400 und 1.640 m/s, und auch Streuung, Brechung oder Mehrfachreflexionen beeinflussen den Signalweg.
Artefakte entstehen folglich durch Abweichungen von den Modellannahmen des Geräts und können sehr unterschiedlich erscheinen. Die sichere Erkennung solcher Phänomene ist essenziell, um Fehlinterpretationen zu vermeiden. Gleichzeitig können bestimmte Artefakte diagnostisch wertvoll sein, da sie charakteristische Hinweise auf spezifische Gewebe oder Pathologien liefern.
Info
Das Thema Artefakte hört sich in der Theorie sehr kompliziert an. Wie immer braucht es viel Übung in der Praxis, um sie sicher zu erkennen. Es hilft jedoch sehr, schon im Vorfeld zu wissen, worauf man später achten muss. Deswegen gehen wir die wichtigsten Artefakte jetzt Schritt für Schritt durch.
Schallschatten:
Ein Schallschatten suggeriert, dass hinter einer Struktur keine weiteren Informationen erfasst werden können. Das Prinzip entspricht einem Lichtstrahl, der auf ein Hindernis trifft. Bei dichten Strukturen wie Knochen wird der eintreffende Schall nahezu vollständig absorbiert oder reflektiert, sodass kein Signal in die tiefer liegenden Bereiche gelangt. Es entsteht ein „blinder Bereich“ im Bild. Typische Beispiele sind die Rippenbögen, die den Einblick auf darunterliegende Organe erschweren. Gleichzeitig kann ein Schallschatten jedoch diagnostisch wertvoll sein, etwa bei Gallen- oder Nierensteinen sowie bei Fremdkörpern, da diese Strukturen charakteristische artifizielle Schatten erzeugen.
Schallschatten der Rippen links und rechts der Bildmitte
Distale Schallverstärkung:
Dieses Artefakt entsteht, wenn der Schall ein schwach dämpfendes Medium durchquert – typischerweise Flüssigkeit. Da Flüssigkeit den Schall kaum absorbiert oder streut, erreicht mehr Schallenergie das dahinterliegende Gewebe. Dieses reflektiert entsprechend stärkere Echos, die im Bild als hellere Zone distal der Flüssigkeit sichtbar werden. Dieser Effekt findet sich häufig hinter Gefäßen, Zysten, der Harnblase oder Aszites.
Physikalische Grundlagen:
In homogenem Gewebe nimmt die Schallintensität aufgrund von Absorption und Streuung mit zunehmender Tiefe ab
Flüssigkeiten verursachen nahezu keinen Energieverlust, sodass der Schall mit vergleichsweise höherer Intensität tiefer gelegene Strukturen erreicht
Das Gerät geht jedoch von einer gleichmäßigen Dämpfung aus und interpretiert die starken Echos aus der Tiefe als echoreichere Strukturen. Sie werden daher heller dargestellt
Die distale Schallverstärkung kann in vielen Situationen sehr hilfreich sein. In der Regel bestätigt sie uns, dass eine Struktur flüssigkeitsgefüllt ist und kann so bei der Abgrenzung von Differentialdiagnosen eingesetzt werden, z.B. Zyste vs. Tumor.
Achtung
Die distale Schallverstärkung ist nicht immer vorhanden und kann in Intensität und Form stark variieren. Eine fehlende Schallverstärkung ist kein Beweis dafür, dass es sich nicht um Flüssigkeit handelt!
Reverberationen:
Reverberationen entstehen, wenn Schallwellen zwischen zwei stark reflektierenden Grenzflächen – etwa Pleura, Punktionsnadel oder Luftbläschen – mehrfach hin- und herlaufen. Bei jeder Reflexion wird das Echo zeitlich verzögert und energetisch abgeschwächt, sodass im Bild mehrere parallele, zunehmend blassere Linien entstehen. Der Linienabstand entspricht jeweils der doppelten Distanz zwischen den reflektierenden Flächen.
In der Lungensonographie sind Reverberationen physiologisch und zugleich diagnostisch relevant: Die typischen A-Linien basieren auf diesem Mechanismus und sprechen für eine regelrecht belüftete Lunge.
Punktionsnadeln erzeugen aufgrund ihrer ausgeprägten Reflexion ebenfalls leicht Reverberationen. Diese können tiefer liegende Strukturen überlagern und die Orientierung erschweren.
Frequenz verringern ➜ reduziert Empfindlichkeit für Mehrfachechos
Spiegelungen:
Spiegelartefakte entstehen, wenn Schall auf eine stark reflektierende, glatte Grenzfläche trifft – meist Zwerchfell oder Pleura – und dabei zwischen Schallkopf, Struktur und Reflektor mehrfach reflektiert wird. Der Schall nimmt dadurch einen Umweg zurück zum Schallkopf.
Da das Gerät grundsätzlich annimmt, dass alle Echos geradlinig und direkt zwischen Sonde und Struktur verlaufen, wird das verzögert eintreffende Echo fälschlich in größerer Tiefe dargestellt. Der typische Effekt ist eine Scheinstruktur „unterhalb“ der reflektierenden Fläche, obwohl die reale Struktur nur einmal vorhanden ist.
Erkennungsmerkmale:
Merkmal
Beschreibung
Lage
Doppelte Struktur „unter“ einer hellen Reflexionslinie (z. B. Zwerchfell, Pleura).
Aussehen
„Spiegelbild“ ist blasser und unschärfer als das Original.
Bezug
Zwischen echter Struktur und Spiegelbild liegt meist eine stark reflektierende Linie.
Verhalten
Spiegelbild verschwindet oder verändert sich beim Schallwinkelwechsel.
Damit wir Dir weiterhin Inhalte in hoher Qualität bieten können, ist dieser Teil des Artikels nur für registrierte Nutzer:innen zugänglich. Logge dich ein oder teste Mediknow jetzt kostenlos.
Sonden
Für jede Untersuchung gibt es die passende Sonde (= Schallkopf) und das Verständnis darüber ist entscheidend, um ein optimales Bild zu erhalten.
Die Wahl der Sonde bestimmt nicht nur, wie tief man sehen kann, sondern auch, wie scharf das Bild wird.
Neben den hier aufgezählten Sonden gibt es noch zahlreiche weitere, die aber nur bei Spezialanwendungen wie z.B. transrektalen oder transvaginalen Untersuchungen zur Anwendung kommen und deswegen hier nicht weiter besprochen werden.
Linearsonde:
Die Linearsonde arbeitet mit hohen Frequenzen (typisch 7–15 MHz) und liefert dadurch eine exzellente Auflösung bei geringer Eindringtiefe. Das Schallfeld ist rechteckig, die Linien verlaufen parallel. Das macht sie zu einer idealen Wahl für oberflächennahe Strukturen.:
Gefäße (z. B. Punktionen, Thrombosen, ZVK-Anlage)
Pleura und Lunge
Weichteile, Muskulatur, Schilddrüse
Nervendarstellungen, v.a. im Rahmen der Regionalanästhesie
Linearsonde Darstellung der A. carotis interna. Hohe Auflösung bei geringer Eindringtiefe, rechteckiges Bild
Konvexsonde:
Die Konvexsonde hat einen gebogenen Schallkopf und arbeitet mit mittleren Frequenzen (3–5 MHz). Dadurch erreicht sie eine gute Balance zwischen Auflösung und Eindringtiefe. Das Schallfeld ist fächerförmig, wodurch sich große Tiefenbereiche darstellen lassen.
Konvexsonde Darstellung des Appendix vermiformis. Hohe Eindringtiefe, weniger Details, fächerförmiges Bild
Phased-Array-Sonde:
Die Phased-Array-Sonde hat eine sehr kleine Schallfläche und arbeitet mit niedrigen Frequenzen (typisch 2–4 MHz). Im Gegensatz zu den anderen Sonden werden die einzelnen Schallimpulse hier zeitlich minimal versetzt von vielen kleinen Kristallen ausgesendet. Dadurch entsteht ein „steuerbarer Schallfächer“, der sich in verschiedene Richtungen auslenken lässt – ähnlich wie ein Suchscheinwerfer, der sein Lichtfeld schwenkt, ohne sich selbst zu bewegen. Diese Technik erlaubt es, durch sehr enge Schallfenster (z. B. zwischen Rippen) zu blicken und trotzdem ein weites Sichtfeld aufzubauen. Die Auflösung ist etwas geringer als bei hochfrequenten Schallköpfen, dafür dringt der Schall tiefer in das Gewebe ein.
Typische Anwendungsgebiete:
Ventrikel- und Klappenfunktion bei der Echokardiographie
Subxiphoidales eFAST-Fenster (Detektion eines Perikardergusses)
Fokussierte Lungensonographie
CAVC.png, Calabrò R, Limongelli G, CC BY 2.0 https://creativecommons.org/licenses/by/2.0, via Wikimedia Commons. Das Ultraschallbild wurde zugeschnitten. Die Ultraschallsonde wurde mit KI (OpenAI) erstellt. Die Sonde und die Beschriftung wurden hinzugefügt.
Phased-Array-Sonde Darstellung eines atrioventrikulären Septumdefektes, sektorförmiges Bild („Tortenstück“)
Bitte einloggen
Damit wir Dir weiterhin Inhalte in hoher Qualität bieten können, ist dieser Teil des Artikels nur für registrierte Nutzer:innen zugänglich. Logge dich ein oder teste Mediknow jetzt kostenlos.
Modus
Die Sonde empfängt ihre Daten immer auf die gleiche Weise. Jedoch gibt es verschiedene Arten, wie uns das Gerät diese Daten anzeigen kann. Je nach Untersuchung können wir deshalb zwischen verschiedenen Modi wählen.
B-Mode (Brightness Mode):
Der B-Mode ist der Standardmodus jeder Ultraschalluntersuchung. Jeder reflektierte Schallimpuls wird als Punkt mit einer bestimmten Helligkeit (engl. brightness) auf dem Bildschirm dargestellt.
Merke
Die Begriffe echoreich und echoarm solltest du dir gut einprägen und verstehen.
Viele solcher Punkte ergeben das zweidimensionale Schnittbild, das wir als Ultraschallbild kennen.
Der B-Mode wird in nahezu allen sonographischen Anwendungen eingesetzt, vom eFAST bis zur Echokardiographie. Er ist die Grundlage für alle anderen Modi. Ohne ein sauber eingestelltes Bild im B-Mode funktioniert kein anderer Modus.
Der M-Mode ist eine Sonderform der Bilddarstellung, bei der nicht eine Fläche, sondern die Bewegung entlang einer einzelnen Bildlinie über die Zeit dargestellt wird.
Das Ultraschallgerät sendet dazu wiederholt Schallimpulse entlang einer festen Linie aus, immer an derselben Stelle.
Statt daraus ein zweidimensionales Bild zu berechnen, trägt es die Tiefeninformation (y-Achse) gegen die Zeit (x-Achse) auf. So entsteht ein charakteristisches Bild im zeitlichen Verlauf, in dem Bewegungen als Wellen oder Muster sichtbar werden.
Der M-Mode kommt zum Einsatz, um Bewegung nachzuweisen, aber auch um ihre Ausprägung und ihre Geschwindigkeit zu messen. Er wird z.B. bei der Beurteilung der Klappenfunktion oder der Herzfunktion verwendet.
Der Doppler-Modus nutzt den physikalischen Doppler-Effekt, um Bewegungen, insbesondere von Blut, im Körper sichtbar und messbar zu machen. Trifft ein Ultraschallstrahl auf bewegte Erythrozyten, wird die reflektierte Schallfrequenz je nach Bewegungsrichtung leicht verändert:
Bewegt sich das Blut auf den Schallkopf zu, steigt die Frequenz (positiver Doppler-Effekt), entfernt es sich, sinkt sie (negativer Doppler-Effekt). Aus dieser Frequenzverschiebung berechnet das Ultraschallgerät die Flussgeschwindigkeit und Richtung des Blutes.
In der Regel wird der Doppler-Modus farbkodiert dargestellt. Dabei entspricht rot meist einem Fluss zum Schallkopf hin und blau einem Fluss vom Schallkopf weg.
Der Doppler-Modus wird eingesetzt, um Blutflussrichtung, -geschwindigkeit und hämodynamische Veränderungen in Gefäßen oder Herzstrukturen zu beurteilen und so Stenosen, Insuffizienzen oder Okklusionen zu erkennen.
Auch zur Differenzierung, ob es sich überhaupt um ein Gefäß handelt, ist er sehr nützlich.
Darstellung der A. carotis interna: Der Doppler-Modus (grün umrandet) ist auf den B-Mode „drübergelegt“
Bitte einloggen
Damit wir Dir weiterhin Inhalte in hoher Qualität bieten können, ist dieser Teil des Artikels nur für registrierte Nutzer:innen zugänglich. Logge dich ein oder teste Mediknow jetzt kostenlos.
Gerätehygiene und Sicherheit
Reinigung und Desinfektion:
Sonographiesonden sind potenzielle Überträger von Keimen. Gerade in Zeiten von zunehmend resistenten Erregern ist darauf zu achten, dass die Sonde nach jedem Patient:innenkontakt ausgiebig gereinigt wird.
Zunächst sollten Gelreste und sichtbare Verschmutzungen mit einem weichen, fusselfreien Tuch entfernt werden. Anschließend erfolgt die Wischdesinfektion mit einem vom Hersteller zugelassenen, alkoholfreien Desinfektionsmittel, um die empfindliche Membran der Sonde nicht zu beschädigen.
Wichtig ist, stets die Herstellerangaben des Ultraschallgeräts und des Desinfektionsmittels zu beachten, da falsche Mittel die Schallkopffolie oder Klebstoffe beschädigen können. Je nach Hersteller gibt es erhebliche Unterschiede, welche Desinfektionsmittel zugelassen sind.
Steriles Arbeiten:
Bei Ultraschalluntersuchungen, die unter sterilen Bedingungen durchgeführt werden z.B. bei Punktionen, Katheteranlagen oder zentralvenösen Zugängen, muss der Schallkopf steril abgedeckt werden. Dazu wird ein steriler Einmalüberzug verwendet, der vor dem Aufziehen mit steriler Kochsalzlösung oder sterilem Gel befüllt wird, um Lufteinschlüsse zu vermeiden. Es gibt auch Überzüge, die eine Klebefläche für die Sonde besitzen und so für den Luftausschluss sorgen.
Sterile Handschuhe für den Untersuchenden sind obligat.
Nach der Untersuchung sollte der Überzug sofort entsorgt und der Schallkopf wie üblich gereinigt und desinfiziert werden.
Thermische Belastung:
Je höher die Schallintensität und je länger die Einwirkzeit, desto stärker steigt die lokale Gewebetemperatur an(Schallenergie wird zu Wärmeenergie umgewandelt). Besonders betroffen sind Gewebe mit hoher Schallabsorption (z. B. Knochen, Fettgewebe) oder eingeschränkter Durchblutung, da hier die Wärme schlechter abgeleitet wird.
Zur Orientierung dient der am Ultraschallgerät angezeigte Thermal Index (TI):
< 0,5: unbedenklich bei diagnostischer Routine
≈ 1: mäßige Erwärmung, Expositionszeit begrenzen
> 2: potenziell relevante Gewebeerwärmung, nur in Ausnahmefällen anwenden
In der Praxis wird nur äußerst selten eine kritische Erwärmung erreicht. Vorsicht ist jedoch insbesondere bei Feten und Neugeborenen geboten, da es hier leichter zu Beeinträchtigungen kommen kann.
Achtung
“As Low As Reasonably Achievable” (ALARA-Prinzip)
Die Untersuchungszeit sollte so kurz wie möglich und die Schallintensität so niedrig wie möglich angewandt werden – vorausgesetzt die Bildqualität ist noch gut genug.
Tipp
„Practice makes perfect“
Kein Meister bzw. keine Meisterin ist vom Himmel gefallen. Bevor du dich auf deine ersten Notfallpatient:innen stürzt, empfehlen wir unbedingt:
Visualisiere vor jeder Untersuchung, welches Bild du erwartest und versuche, es zu reproduzieren
Sonographiere so viele Patient:innen wie möglich. Erst wenn man viele Normalbefunde gesehen hat, kann man Pathologien sicher abgrenzen
Lass dir von jemand Erfahrenem dabei über die Schulter schauen. Oft sind es viele kleine Tricks und Kniffe, die den Unterschied ausmachen, um die gewünschten Organe in einer guten Bildqualität darstellen zu können
Bitte einloggen
Damit wir Dir weiterhin Inhalte in hoher Qualität bieten können, ist dieser Teil des Artikels nur für registrierte Nutzer:innen zugänglich. Logge dich ein oder teste Mediknow jetzt kostenlos.
Zuletzt aktualisiert am 26.03.2026
Vorheriger Artikel
Präoperatives Management in der Chirurgie
Nächster Artikel
Sonographisch gesteuerte Gefäßpunktionen
Deine Medizin-Lernplattform
Jetzt weiterlesen
Zugang zu diesem und über 800 weiteren leitlinienbasierten Artikeln, unserem einzigartigen medizinischen AI-Tutor und Quiz