Standardfärbungen
Färbungen ermöglichen die Unterscheidung verschiedener Zell- und Gewebekomponenten anhand ihrer Farbgebung. Die in der Histologie am häufigsten verwendete Methode ist die Hämatoxylin-Eosin-(HE)-Färbung
Farbstoffgruppen und ihre Wirkweise
Farbstoffe lassen sich nach ihrer chemischen Ladung in zwei Hauptgruppen einteilen
Basische Farbstoffe
- Kationisch (positiv geladen)
- Binden an negativ geladene Strukturen: DNA
, RNA , ribosomenreiches Zytoplasma , sulfatierte Glykosaminoglykane - Strukturen erscheinen basophil
- Typische Färbung: Zellkern
blau-lila - Beispiel: Hämatoxylin
Saure Farbstoffe
- Anionisch (negativ geladen)
- Binden an positiv geladene Strukturen: Hämoglobin, Mitochondrien
, sekretorische Granula, Proteine im Zytoplasma - Strukturen erscheinen eosinophil/azidophil
- Typische Färbung: Zytoplasma
rosa - Beispiel: Eosin
HE-Färbung von Myokardgewebe:

Mikael Häggström, M.DCC0, via Wikimedia Commons
Übersicht über die verschiedenen Standardfärbungen:
| Färbung | Reagenzien | Anwendung | Kerne | Zytoplasma | Kollagen-fasern | Elastische Fasern |
|---|---|---|---|---|---|---|
| HE-Färbung |
| Standard-färbung | Blau-Violett | Rot | Rot | Blassrosa |
| Azan-Färbung (Heidenhain-Färbung) |
| Binde-gewebe | Rot | Rot | Blau | Blassblau |
| Masson-Goldner-Trichromfärbung |
| Binde-gewebe | Braun-Schwarz | Rot bis Rotbraun | Grün | Blassgrün bis Blassrot |
| Van Gieson-Färbung |
| Kollagen (oft mit Elastika kombiniert) | Schwarz-Braun | Gelb-Braun | Rot | Blassgelb |
| Elastika-Färbung |
| Elastische Fasern in Gefäßen | Blassrosa | Blassrosa | Blassrosa | Braun-Rot bis Violett-Schwarz |

Rollroboter, CC BY-SA 3.0 <https://creativecommons.org/licenses/by-sa/3.0>, via Wikimedia Commons
Van Gieson Färbung: Lycaon.cl, CC BY-SA 4.0 <https://creativecommons.org/licenses/by-sa/4.0>, via Wikimedia Commons
R.Denzer, CC BY-SA 3.0 <http://creativecommons.org/licenses/by-sa/3.0/>, via Wikimedia Commons
Nephron, CC BY-SA 3.0 <https://creativecommons.org/licenses/by-sa/3.0>, via Wikimedia Commons
Histochemische Spezialfärbungen
Substrathistochemie:
Diese Methoden dienen der genaueren Identifikation von Stoffen oder Stoffgruppen.
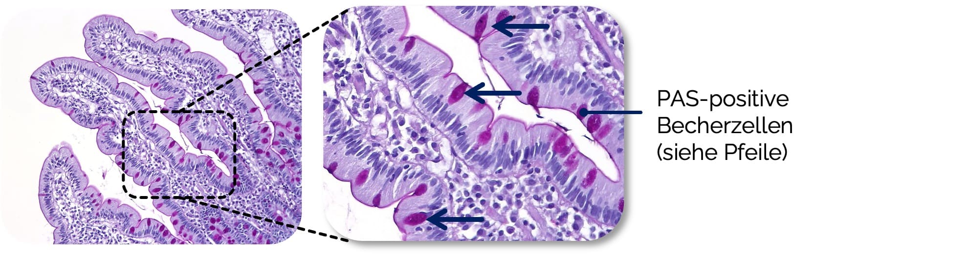
PAS-Reaktion (periodic acid-Schiff)
- Prinzip: Periodsäure spaltet bestimmte Bindungen in Polysacchariden und Glykoproteinen auf und erzeugt dabei freie Aldehydgruppen. Diese reagieren mit dem Schiff-Reagenz und färben sich purpurrot
- Nachweisbar:
- Polysaccharide (z. B. Glykogen, Stärke), Glykoproteine (z. B. in Basalmembranen), Muzine (z.B. „Schleim“ in Becherzellen) und Glykolipide
- Beispiele aus der klinischen Diagnostik:
- Darstellung von Basalmembranen (z. B. bei Nierenerkrankungen)
- Nachweis von Pilzen (fungale Zellwände sind PAS-positiv)
- Nachweis von Speicherkrankheiten (z. B. Glykogenspeicherung)
PAS-Reaktion von muzinhaltigen Becherzellen im Duodenum :

CoRus13, CC BY-SA 4.0 <https://creativecommons.org/licenses/by-sa/4.0>, via Wikimedia Commons
Fettfärbungen (z. B. Sudan III, Sudanschwarz)
- Färben Lipide
durch fettlösliche Farbstoffe - Lipide
erscheinen rot oder schwarz - Nur anwendbar, wenn keine organischen Lösungsmittel verwendet wurden
Versilberung nach Gomori (Silberimprägnation)
- Bei der Versilberung werden retikuläre Fasern (v. a. Kollagen Typ III) schwarz dargestellt, weil sie durch die Reduktion von Silberionen besonders stark anfärbbar sind
- Retikuläre Fasern: schwarz (vor allem Kollagen Typ III)
- Basalmembranen: können je nach Technik ebenfalls schwarz erscheinen (über retikuläre Fasern in der Lamina fibroreticularis)
Versilberung nach Gomori:
