Einleitung
Der Koller-Pouch ist der Spaltraum zwischen der Milz und der oberen Polregion der linken Niere. Er stellt das linke Gegenstück zum Morison-Pouch dar und gehört zu den bevorzugten Sammelstellen freier intraabdomineller Flüssigkeit in Rückenlage
Sonographisch wird der Bereich in der linken Flanke unterhalb des Zwerchfells
Der Koller-Pouch sollte stets zusammen mit dem linken subphrenischen Raum beurteilt werden, um eine vollständige Beurteilung des linken Oberbauchs zu gewährleisten.

InfoKleiner Exkurs: Der Begriff „Koller-Pouch“ ist fast ausschließlich im deutschen Sprachgebrauch etabliert, während man in der englischsprachigen Literatur den Begriff „Splenorenaler Rezessus“ verwendet. Klingt nicht so schön griffig, ist aber die bessere Bezeichnung.
Durchführung der Untersuchung
Ziel: Nachweis freier Flüssigkeit im splenorenalen Rezessus zwischen Milz und linker Niere. Dieser Blick ist essenziell, da bereits geringe Mengen intraperitonealer
Schritt 1: Sondenwahl und Position - Zugangspunkt

- Sonde: Konvex
- Position: Linke mittlere Axillarlinie, Höhe 7.–10. Rippe
, Schall zwischen zwei Rippen hindurch ➜ Schallrichtung, sodass Milz und Niere im Bild sind - Ausrichtung: Marker zeigt nach kranial
- Fenster: Nutzung der Milz als schallleitende Struktur

Figure 2 aus Vázquez Martínez, J.L., Quiñones Coneo, K.L., Villegas, T.V. et al. Applicability of a modified EFAST protocol (r-EFAST) to evaluate hemodynamically unstable patients after percutaneous cardiac intervention. Crit Ultrasound J 9, 12 (2017). https://doi.org/10.1186/s13089-017-0070-3. Teilausschnitt des Originalbilds.
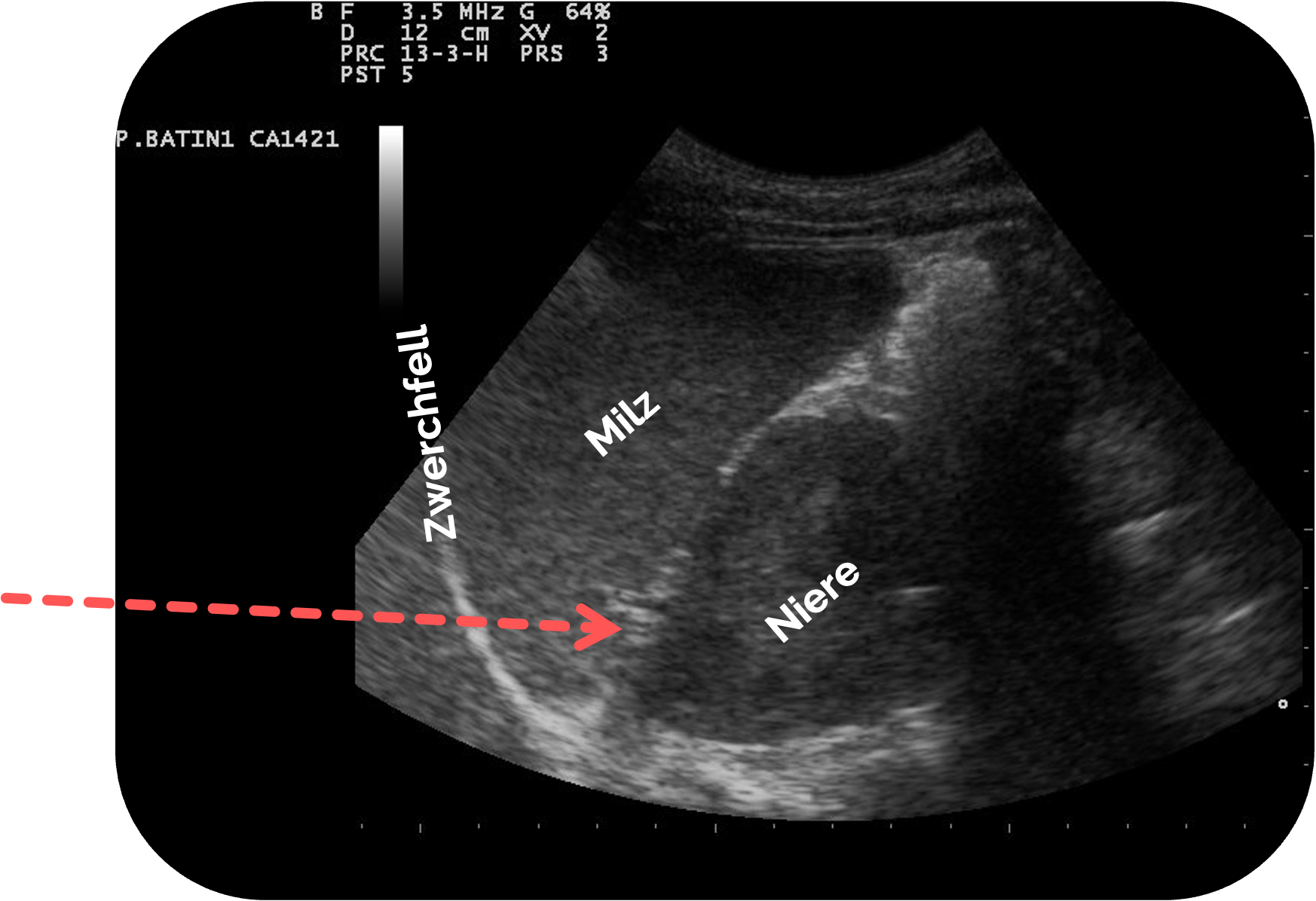
Schritt 2: Orientierung - Anatomische Grundstrukturen
- Milz im oberen Bildanteil, homogen und echoreicher als Niere
- Linke Niere etwas kaudaler und dorsal
- Zwischen Milz und Niere liegt der Koller-Pouch (splenorenaler Rezessus) (siehe Pfeil)
- Zwerchfell
als echoreiche Linie oberhalb der Milz - Luftartefakte der linken Lunge
möglich

Ultrasound image of spleen 110318090022 0905570.jpg, Nevit Dilmen, CC BY-SA 3.0, https://creativecommons.org/licenses/by-sa/3.0, via Wikimedia Commons. Es wurden die Markierung und die Beschriftungen ergänzt.
Schritt 3: Suche nach freier Flüssigkeit
Typischer Befund:
Eine anechore, statische Flüssigkeitssichel zwischen Milz und Niere. (Siehe Pfeil)
Bevorzugte Lokalisationen:
- Kranialer Anteil des splenorenalen Rezessus
- Entlang der Milzkapsel
- Bei größeren Mengen auch im linken parakolischen Raum

Figure 8 aus Ketelaars, R., Reijnders, G., van Geffen, GJ. et al. ABCDE of prehospital ultrasonography: a narrative review. Crit Ultrasound J 10, 17 (2018). https://doi.org/10.1186/s13089-018-0099-y. Es wurde der rote Pfeil ergänzt.
Schritt 4: Dynamische Unterscheidung - Nutzung der Nierenatmung
Die Niere zeigt eine kraniokaudale Atembewegung, freie Flüssigkeit hingegen bleibt unbeweglich. Dies erleichtert die Abgrenzung kleiner Flüssigkeitssicheln im Koller-Pouch.
Praxisnahe Tipps
- Milzfenster variieren: 1–2 Rippenräume kranial oder kaudal verschieben
- Bei eingeschränkter Darstellung die Sonde leicht kippen, nicht großflächig
verschieben - Linker Oberbauch ist häufig anspruchsvoller wegen kleinerem Milz-Schallfenster, größerem Einfluss von möglicher Adipositas
und möglichem Zwerchfellhochstand auf die Schallqualität sowie Magen - und Kolonluft – geduldig kleine Winkelkorrekturen nutzen - Zur besseren Beurteilung kann die Untersuchung sowohl in Längs- als auch in Querschnittsebene erfolgen, da freie Flüssigkeit durch ihre Schwerkraftabhängigkeit in unterschiedlichen Ebenen sichtbar werden kann
Normalbefund
Im Normalbefund zeigt sich der Koller-Pouch als enger Kontaktbereich zwischen Milz und linker Niere, ohne erkennbare Flüssigkeitssichel zwischen beiden Organen.
Die Milz erscheint homogen echoreich, das Nierenparenchym echoarm mit zentralem Echokomplex. Die Grenzflächen sind glatt und klar voneinander abgrenzbar. Zwischen Milz und Niere darf sich keine echofreie Zone befinden. Selbst ein schmaler Flüssigkeitssaum ist bereits pathologisch.
Bei tiefem Atemzug kann die Milz leicht über den oberen Nierenpol gleiten, was ein Zeichen normaler Organbeweglichkeit ist. Auch unter Veränderung der Schallebene (Längs- oder Schrägschnitt) bleibt der Raum frei von Flüssigkeit und die Konturen der Milz bleiben gleichmäßig definiert.

Ultrasound image of spleen 110318090022 0905570.jpg, Nevit Dilmen, CC BY-SA 3.0, https://creativecommons.org/licenses/by-sa/3.0, via Wikimedia Commons. Es wurden die Markierungen und Beschriftungen ergänzt.
Anatomische Varianten sind häufig: Die Milz kann unterschiedlich groß oder leicht rotiert liegen und der obere Pol der linken Niere ist teils durch die Colonflexur oder den Magen
Auch die Zwerchfelllage variiert je nach Atemphase und Körperposition. In manchen Fällen lässt sich der Recessus splenorenalis nur durch leicht schräges Kippen der Sonde oder Änderung des Patient:innenwinkels vollständig darstellen.
AchtungCa. 0,1% aller Patient:innen sind splenektomiert.
Freie Flüssigkeit im Koller-Pouch
Freie Flüssigkeit zeigt sich sonographisch als echofreier oder echoarmer Spalt zwischen Milz und linker Niere, häufig in Form einer sichelförmigen Zone, die der Schwerkraft folgend an der tiefsten Stelle des Recessus splenorenalis liegt.
Bereits kleine Flüssigkeitsmengen werden in diesem Bereich früh sichtbar, da der Koller-Pouch anatomisch eng begrenzt ist, insbesondere bei Milzrupturen, kann sich hier Flüssigkeit sammeln. Mit zunehmender Flüssigkeitsmenge kann sich der Spalt vergrößern und nach kranial oder kaudal ausdehnen.
Eine sorgfältige Beurteilung in mehreren Ebenen ist entscheidend, um Artefakte von echter Flüssigkeit zu unterscheiden und die Ausdehnung der Ansammlung zuverlässig einzuschätzen.
Freie Flüssigkeit sammelt sich insbesondere im subphrenischen Raum und entlang der lateralen Milzoberfläche. Diese Bereiche, häufig nicht nur im eigentlichen Koller-Pouch, sondern auch um die Milz herum, sollten daher stets mituntersucht werden, da Flüssigkeit dort durch die anatomische Verbindung der Rezessusräume leicht übertreten kann.

Figure 8 aus Ketelaars, R., Reijnders, G., van Geffen, GJ. et al. ABCDE of prehospital ultrasonography: a narrative review. Crit Ultrasound J 10, 17 (2018). https://doi.org/10.1186/s13089-018-0099-y. Es wurden die Markierungen und Beschriftungen ergänzt.
Während freie Flüssigkeit typischerweise den Raum zwischen Milz und Niere füllt, bleibt beim subkapsulären Hämatom die Milzkontur nach außen glatt, aber nach innen deformiert.
Ein intraparenchymatöses Hämatom zeigt dagegen eine umschriebene echogene Strukturveränderung ohne klare Flüssigkeitssichel. Entscheidend ist der Verlauf der Milzkapsel: Ist sie durchbrochen oder vorgewölbt, besteht Verdacht auf eine Ruptur.
AchtungBeim V.a. auf ein Hämatom der Milz besteht im Verlauf die Gefahr einer zweizeitigen Milzruptur!

