Lockeres kollagenes Bindegewebe
- Lage und Funktion
- Weit verbreitet (häufigste Bindegewebsart im Körper): Subkutis, Lamina propria von Schleimhäuten, perivaskulär, Stroma von epithelialen Organen
- Dient als Wasserspeicher, ermöglicht die Verschieblichkeit von Geweben
- Enthält freie Zellen (z. B. Immunzellen) → Immunabwehr
- Aufbau und Zusammensetzung
- Grundsubstanz überwiegt gegenüber Fasern
- Hauptbestandteile der Grundsubstanz sind Hyaluronan (Glykosaminoglykan) und Decorin (Proteoglykan)
- Locker verteilte Fibrozyten
- Faseranteil
- Weniger Kollagenfasern als im straffen Bindegewebe
- Kollagenfasern verlaufen wellig und in verschiedene Richtungen
- Bestehen hauptsächlich aus Typ-I- und Typ-III-Kollagen
- Zwischen den Kollagenfasern befinden sich elastische und retikuläre Faser
Fettgewebe – Lockeres Bindegewebe mit wenig extrazellulärer Matrix:

OpenStax College, CC BY 3.0 <https://creativecommons.org/licenses/by/3.0>, via Wikimedia Commons
Lockeres Bindegewebe (mit kollagenen und elastischen Fasern sowie Zellkernen von Fibrozyten):

Straffes Bindegewebe
- Übersicht
- Enthält deutlich mehr Kollagenfasern als lockeres Bindegewebe
- Grundsubstanz ist nur in geringer Menge vorhanden
- Zellen (v. a. Fibrozyten) sind spärlich vertreten
- Hohe Zugfestigkeit durch dichte Faseranordnung
- Man unterscheidet nach Anordnung der Kollagenfaserbündel
- Straffes geflechtartiges Bindegewebe
- Straffes parallelfaseriges Bindegewebe
- Elastische Bändern
- Straffes geflechtartiges Bindegewebe
- Kollagenfaserbündel (v. a. Typ I) verlaufen in unterschiedlichen Richtungen und kreuzen sich
- Bietet Stabilität und Zugfestigkeit aus mehreren Richtungen
- Kommt vor in Organkapseln (z. B. Niere, Milz, Leber
), der Lederhaut (Dermis und Sklera) und der Dura mater (harte Hirnhaut)
- Straffes parallelfasriges Bindegewebe
- Kollagenfasern sind parallel ausgerichtet in Zugrichtung und verlaufen in dichten Bündel
- Bündel sind von lockerem Bindegewebe (Peritendineum internum) umgeben
- Besonders zugfest in eine Richtung
- Bildet Sehnen und Bänder
- Enthält spezialisierte Fibrozyten (auch Tendinozyten bzw. Flügelzellen genannt)
- Sie besitzen flächige, flügelartige Ausläufer → Kollagenfasern verlaufen entlang dieser Zellfortsätze
- Elastische Bänder
- Dicht gelagerte elastische Fasern mit spitzwinkliger Verzweigung
- Dazwischen kollagene und retikuläre Fasern sowie Fibrozyten
- Vorkommen
- Ligg. flava
- Lig. vocale (Kehlkopf)
- Lig. nuchae
Straffes parallelfasriges Bindegewebe:


OpenStax College, CC BY 3.0 <https://creativecommons.org/licenses/by/3.0>, via Wikimedia Commons
Bitte einloggen
Damit wir Dir weiterhin Inhalte in hoher Qualität bieten können, ist dieser Teil des Artikels nur für registrierte Nutzer:innen zugänglich. Logge dich ein oder teste Mediknow jetzt kostenlos.
Retikuläres Bindegewebe
- Vorkommen
- Klassisch in primären und sekundären lymphatischen Organen (Knochenmark, Lymphknoten, Milz, Peyer-Plaques)
- Funktion
- Bildet dort das dreidimensionale Stützgerüst
- Dient als Netzwerk für Immunzellen zur Kommunikation und Organisation
- Aufbau
- Fasern bestehen aus Kollagen Typ III
- Enthält spezielle Fibroblasten, sogenannte fibroblastische Retikulumzellen
- Retikulumzellen umhüllen die retikulären Fasern vollständig mit Zellfortsätzen
- Retikuläre Fasern haben haben im retikulären Bindegewebe keinen direkten Kontakt zum Interzellularraum → Unterschied zu Geweben, in denen retikuläre Fasern frei liegen (z. B. Leber
, Basallamina, Gefäßwände)
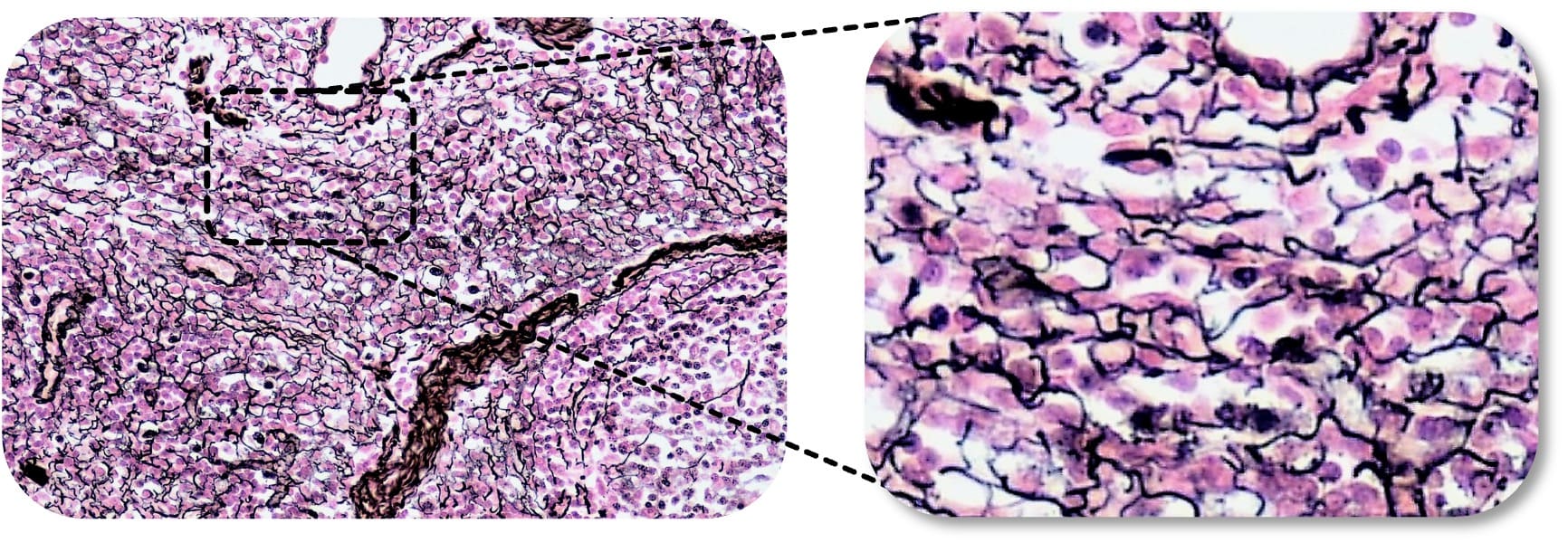
Retikuläres Bindegewebe (Silberimprägnation)

Retikuläres Bindegewebe:

OpenStax College, CC BY 3.0 <https://creativecommons.org/licenses/by/3.0>, via Wikimedia Commons
Merke„Retikulär“ leitet sich ab von lat. reticulum = „kleines Netz
“ → beschreibt die netzartige Anordnung der Fasern im retikulären Bindegewebe.
Bitte einloggen
Damit wir Dir weiterhin Inhalte in hoher Qualität bieten können, ist dieser Teil des Artikels nur für registrierte Nutzer:innen zugänglich. Logge dich ein oder teste Mediknow jetzt kostenlos.