Einleitung
Die Pleura ist eine dünne seröse Haut, die die Lungen
Zwischen beiden Blättern befindet sich der Pleuraspalt, gefüllt mit einem kapillaren
Wird dieses Gleichgewicht gestört (z. B. durch Luft oder Flüssigkeit im Pleuraspalt), kollabiert das betroffene Lungenareal teilweise oder vollständig.

OpenStax AnatPhys fig.22.2 - Major Respiratory Organs - English labels" at AnatomyTOOL.org by OpenStax, license: Creative Commons Attribution. Source: book 'Anatomy and Physiology', https://openstax.org/details/books/anatomy-and-physiology. Diese Abbildung ist ein Derivat, der oben angegebenen Quelle. Es wurden die Markierungen und Beschriftungen ergänzt.
Man unterscheidet folgende Pathologien:
- Dringt Luft in den Pleuraspalt ein, spricht man von einem Pneumothorax
- Entsteht dabei ein Ventilmechanismus, sammelt sich zunehmends Luft, sodass Lunge
und Herz auf die kontralaterale Seite verdrängt werden und einen Spannungspneumothorax verursacht - Blut
im Pleuraspalt wird als Hämatothorax bezeichnet - Bei jeder anderen Flüssigkeit spricht man von einem Pleuraerguss
Durchführung der Untersuchung
Ziel: Beurteilung der pleuralen Apposition und Detektion eines Pneumothorax
Schritt 1: Sondenwahl und Position - Zugangspunkt

- Sonde: Linearschallkopf (hohe Auflösung)
- Position: Oberer Thorax
, meist medioclavikuläre Linie, 2.–4. ICR - Ausrichtung: longitudinale Achse, Marker nach kranial
- Ansetzen: Direkt zwischen zwei Rippen
, um Abschattung zu minimieren - Leichte Oberkörperhochlagerung
- Immer auf beiden Seiten im Seitenvergleich an der gleichen Stelle
- Sonde ruhig halten und nicht bewegen
- Untersuchung während „normaler Atmung“

Figure 2 aus Vázquez Martínez, J.L., Quiñones Coneo, K.L., Villegas, T.V. et al. Applicability of a modified EFAST protocol (r-EFAST) to evaluate hemodynamically unstable patients after percutaneous cardiac intervention. Crit Ultrasound J 9, 12 (2017). https://doi.org/10.1186/s13089-017-0070-3. Teilausschnitt des Originalbilds.
Schritt 2: Anatomische Leitstrukturen - Orientierung
- Oberflächliches Weichteilgewebe und Interkostalmuskulatur
- Rippen
beidseits rechts und links als echoreiche, gebogene Konturen mit Schattenbildung - Dazwischen die Pleuralinie als glatte, echoreiche horizontale Linie (siehe roter Pfeil)

Figure 1 aus Ketelaars, R., Reijnders, G., van Geffen, GJ. et al. ABCDE of prehospital ultrasonography: a narrative review. Crit Ultrasound J 10, 17 (2018). https://doi.org/10.1186/s13089-018-0099-y. Teilausschnitt des Originalbilds. Es wurden die Beschriftungen und der rote Pfeil hinzugefügt.
Schritt 3: Analyse der Pleuralinie
Physiologische Zeichen:
- Lungensliding: feines, horizontales Gleiten der viszeralen an der parietalen Pleura
- B-Lines: vertikale, bis zur Bildtiefe reichende Artefakte (kein Hinweis auf Pneumothorax
) (roter Pfeil)

Bildquelle: Figure 2 aus Ketelaars, R., Reijnders, G., van Geffen, GJ. et al. ABCDE of prehospital ultrasonography: a narrative review. Crit Ultrasound J 10, 17 (2018). https://doi.org/10.1186/s13089-018-0099-y. Teilausschnitt des Originalbilds. Der rote Pfeil wurde hinzugefügt.
- Seashore-Sign (M-Mode
): ruhige Linien oben (unbewegliche Thoraxwand) (blauer Pfeil) und körnige Struktur (bewegende Lunge ) unten (roter Pfeil)

Figure 3 aus Ketelaars, R., Reijnders, G., van Geffen, GJ. et al. ABCDE of prehospital ultrasonography: a narrative review. Crit Ultrasound J 10, 17 (2018). https://doi.org/10.1186/s13089-018-0099-y. Teilausschnitt des Originalbilds. Der rote und blaue Pfeil wurden hinzugefügt.
Pathologische Zeichen (Pneumothorax -verdächtig):
- Fehlendes Lungensliding
- Fehlen von B-Lines
- Barcode-Sign (M-Mode
): nur horizontale Linien (roter Pfeil)

Figure 5 aus Ketelaars, R., Reijnders, G., van Geffen, GJ. et al. ABCDE of prehospital ultrasonography: a narrative review. Crit Ultrasound J 10, 17 (2018). https://doi.org/10.1186/s13089-018-0099-y. Teilausschnitt des Originalbilds. Der rote Pfeil wurde hinzugefügt.
- Lung-Point: Übergang zwischen Areal mit Sliding und ohne Sliding (hoch spezifisch) – siehe folgende Abschnitte
Schritt 4: Atemexkursion nutzen
Die Atembewegung verstärkt das Slidingleuchten der Pleuralinie und erleichtert die Abgrenzung gegenüber starren Strukturen (z. B. Narben
Praxisnahe Tipps:
- Untersuchung stets anteriore Thoraxhälfte beginnen – hier liegt die Lunge
bei Pneumothorax zuerst an - Bei Adipositas
oder Weichteilschwellung Sonde leicht kaudal oder lateral variieren - Lineare Sonde liefert höchste Detailauflösung; in instabilen Lagen kann alternativ die Phased-Array-Sonde
verwendet werden - Husten
, Pressen etc. kann Bewegungsartefakte verursachen - Sonde möglichst ruhig halten
- Immer im Seitenvergleich an der gleichen Stelle
Normalbefunde
Normalbefund im B-Mode
Sonographisch erscheint die Pleura als helle, echoreiche Linie zwischen den beiden Schallschatten
Der Nachweis einer intakten Pleura ergibt sich aus der Verschieblichkeit der Pleura parietalis
Direkt unter der Pleura ist typischerweise ein feines, artefaktbedingtes Streifenmuster sichtbar, die sogenannten A-Linien, die horizontal und regelmäßig verlaufen. Sie entstehen durch Mehrfachreflexionen an der luftgefüllten Lunge

Figure 1 aus Ketelaars, R., Reijnders, G., van Geffen, GJ. et al. ABCDE of prehospital ultrasonography: a narrative review. Crit Ultrasound J 10, 17 (2018). https://doi.org/10.1186/s13089-018-0099-y. Teilausschnitt des Originalbilds. Es wurden teilweise die Markierungen und Beschriftungen ergänzt.
Der B-Mode
Es gibt Konstellationen, bei denen das Lungengleiten fehlt:
- Bei einseitig intubierten Patient:innen: Vorher Tubuslage überprüfen!
- Bei zu flacher Atmung/Schonatmung oder Beatmung mit geringem Tidalvolumen
- Die Pleura kann durch entzündliche Prozesse oder operative Eingriffe verklebt sein
Normalbefund: B-Linien
B-Linien sind vertikale, echoreiche Artefakte, die von der Pleuralinie ausgehen und sich bis zum unteren Bildrand erstrecken, wobei sie die horizontalen A-Linien überlagern. Sie ähneln in ihrem Aussehen ein wenig einem „Kometenschweif“ und sind in geringer Anzahl physiologisch.
Sie bewegen sich synchron mit dem Lungengleiten und löschen beim Durchtritt die A-Linien aus. Sie entstehen durch Reflexion und Streuung des Schalls an Flüssigkeitsansammlungen in den subpleuralen Septen oder im interstitiellen Gewebe.
Einzelne B-Linien können insbesondere in den basalen Lungenabschnitten, vorkommen, da Flüssigkeit in der Lunge
Mehr als drei B-Linien pro Interkostalraum gelten in der Regel als pathologisch. Entscheidend ist neben der Anzahl auch die Verteilung: diffus

Figure 2 aus Ketelaars, R., Reijnders, G., van Geffen, GJ. et al. ABCDE of prehospital ultrasonography: a narrative review. Crit Ultrasound J 10, 17 (2018). https://doi.org/10.1186/s13089-018-0099-y. Teilausschnitt des Originalbilds. Es wurden die Markierungen und Beschriftungen ergänzt.
Es lohnt sich, neben der Pleura regelmäßig auch die B-Linien zu beurteilen. Gerade bei vorerkrankten Patient:innen kann man so ohne großen Mehraufwand Hinweise auf z.B. ein Lungenödem
TippHäufig ist eine internistische Grunderkrankung die Ursache oder zumindest mitverantwortlich für das zum Trauma führende Ereignis!
Normalbefund im M-Mode :
Wenn eine Darstellung des Pleuragleitens erschwert oder unsicher ist, ist der M-Mode
Im oberen Bereich des M-Mode

Figure 5 aus Ketelaars, R., Reijnders, G., van Geffen, GJ. et al. ABCDE of prehospital ultrasonography: a narrative review. Crit Ultrasound J 10, 17 (2018). https://doi.org/10.1186/s13089-018-0099-y. Teilausschnitt des Originalbilds. Es wurden die Markierungen und Beschriftungen ergänzt.
Auch beim M-Mode
Der M-Mode
Das Strandmuster kann überstrahlt oder zu schwach dargestellt werden. Hier hilft eine Überprüfung der Einstellungen. Ein voreingestellter eFAST
Pneumothorax
Ein Pneumothorax
Die Ausprägung ist vielfältig und reicht von einem schmalen Luftsaum bis hin zur komplett kollaptischen Lunge
Eine Sonderform ist der Spontanpneumothorax

Pneumothorax, Laboratoires Servier, CC BY-SA 3.0 https://creativecommons.org/licenses/by-sa/3.0, via Wikimedia Commons. Es wurden die Markierungen und Beschriftungen ergänzt.
Die kritischste Form ist der Spannungspneumothorax
Sonographisch ist der Spannungspneumothorax
Sonographische Zeichen eines Pneumothorax
Die sonographischen Zeichen eines Pneumothorax
Im B-Mode
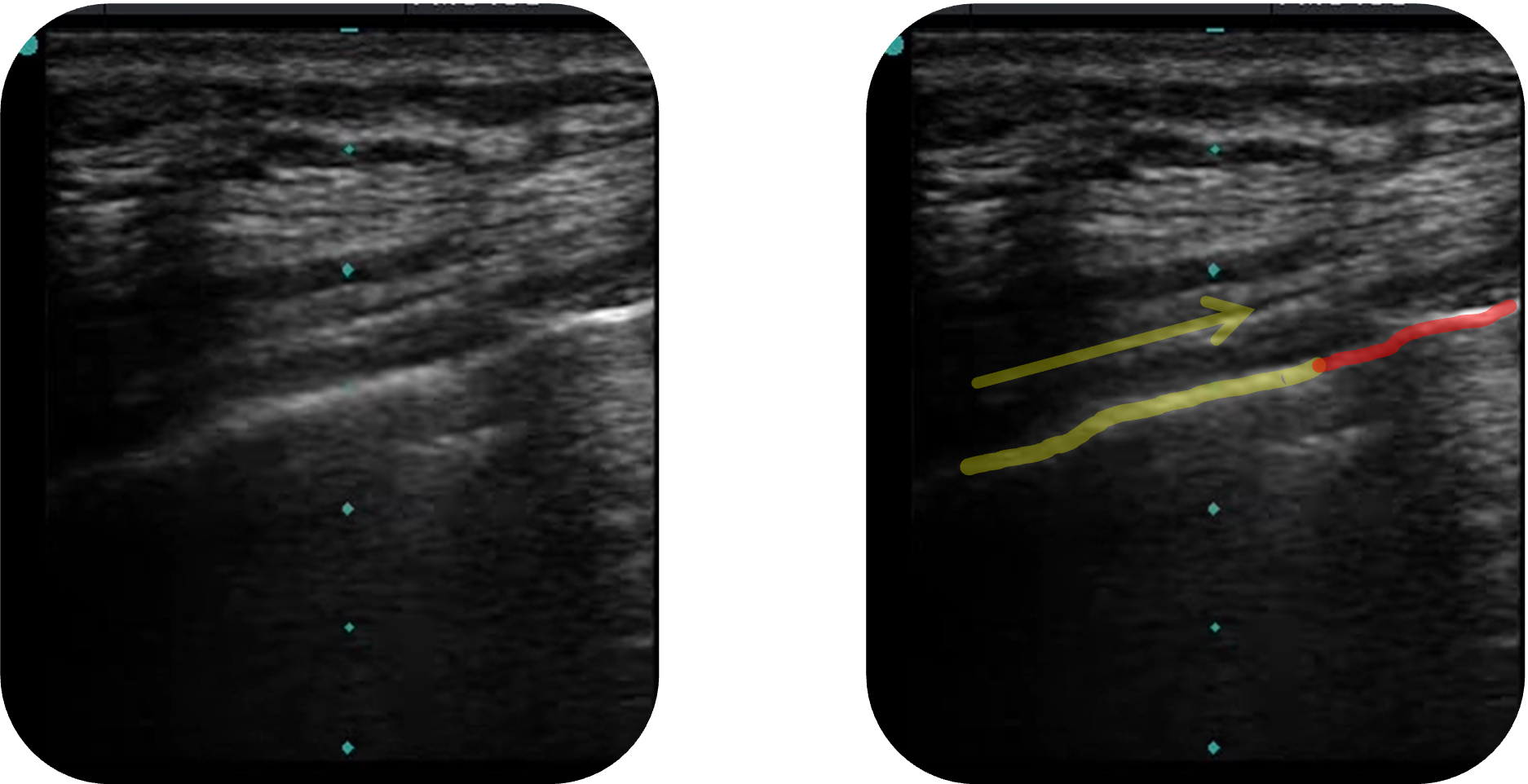
Lung-Point-Zeichen:
Das Lung-Point-Zeichen beschreibt den Übergangsbereich zwischen belüftetem und kollabiertem Lungengewebe.
Es entsteht, wenn sich der Luftsaum des Pneumothorax
Die Lage des Lung Points korreliert mit der Größe des Pneumothorax
Obwohl das Lung-Point-Zeichen in der Praxis nicht immer leicht zu finden ist, gilt es bei Nachweis als pathognomonisch für einen Pneumothorax

Portable-bedside-ultrasound-the-visual-stethoscope-of-the-21st-century-1757-7241-20-18-S4.ogv, Gillman L, Kirkpatrick A, CC BY 2.0, https://creativecommons.org/licenses/by/2.0, via Wikimedia Commons, Teilausschnitt aus dem Originalvideo. Es wurden die Markierungen ergänzt.
Der gelb markierte Teil der Pleura bewegt sich in Pfeilrichtung vorwärts, der rote Bereich bleibt aufgrund des Pneumothorax
Pneumothorax im M-Mode :
Im M-Mode
Statt des Seashore-Zeichens zeigt sich ein homogenes, horizontal gestreiftes Muster über das gesamte Bild – das sogenannte Barcode- oder Stratosphären-Zeichen.
Dieses Muster weist auf einen fehlenden pleuralen Kontakt hin und ist damit hochverdächtig auf einen Pneumothorax

Figure 5 (links) und Figure 3 (rechts) aus Ketelaars, Rein., Reijnders, G., van Geffen, GJ. et al. ABCDE of prehospital ultrasonography: a narrative review. Crit Ultrasound J 10, 17 (2018). https://doi.org/10.1186/s13089-018-0099-y. Teilausschnitt des Originalbilds. Es wurden die Beschriftungen ergänzt.
Rechts: Normalbefund der Pleura im M-Mode
Auch das Lung-Point-Zeichen kann im M-Mode

© Medi Know - www.mediknow.io - Verwendung für nicht-kommerzielle Lehrzwecke mit Quellenangabe gestattet. Dieses sonographische Bild wurde mit der KI-Software DALL·E (OpenAI) erstellt. Es wurde automatisch generiert und dient ausschließlich illustrativen Zwecken.

