Zusammenfassung
Zwischen den beiden Pleurablättern befindet sich normalerweise eine geringe Menge (ca. 10-20 ml) Pleuraflüssigkeit. Wenn sich mehr Flüssigkeit im Pleuraspalt ansammelt, spricht man von einem Pleuraerguss
Die pathologische Flüssigkeit im Pleuraspalt kann unterschiedliche Eigenschaften aufweisen. Meistens handelt es sich um Transsudat
Ein Pleuraerguss
Die Therapie hängt von der Ätiologie und Menge des Ergusses ab. Bei großen symptomatischen Ergüssen kann eine Pleuradrainage notwendig sein.
Weitere Informationen zum Krankheitsbild siehe Pleuraerguss
Ursachen
Ein Pleuraerguss
- Herzinsuffizienz
- Volumenüberladung
- Infektion
- Malignom
- Unfall (traumatisch) / Blutung
- Begleiterguss bei abdominellen Ursachen (z.B. Leberzirrhose
)
TippWie bereits erwähnt, kann die Art des Ergusses auf dem Röntgenbild nicht bestimmt werden. Die Begleitbefunde lassen jedoch Rückschlüsse auf die vermutete Flüssigkeit zu. So sprechen z.B. Abkapselungen für ein Empyem und eine Pneumonie
für einen entzündlichen Begleiterguss. Bei Rippenfrakturen ist ein Hämatothorax wahrscheinlich, bei Lungenrundherden liegt eher ein maligner Erguss vor.
Bildgebung
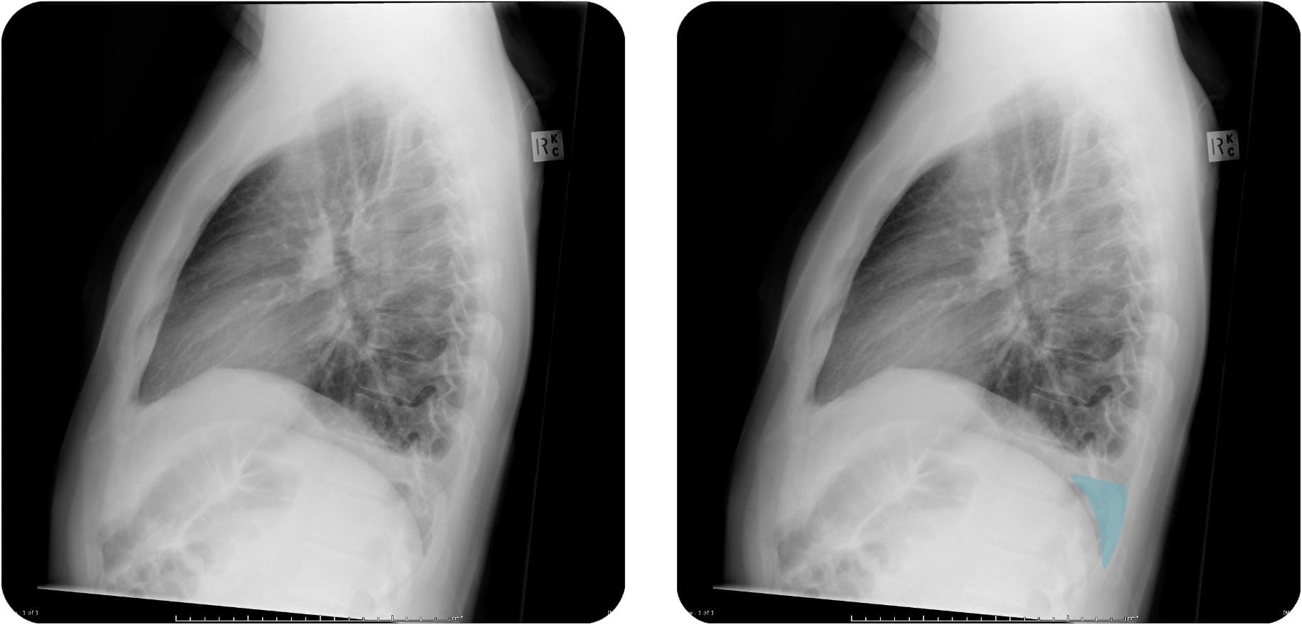
Zur Beurteilung eines Pleuraergusses wird eine Aufnahme im Stehen in 2 Ebenen angefertigt. Der Erguss sammelt sich in Richtung der Schwerkraft am tiefsten Punkt des Thorax
Da der hintere Teil des Recessus costodiaphragmaticus tiefer liegt als der vordere, lassen sich kleine Ergüsse am besten in der Seitaufnahme
Eine besondere Herausforderung ist der Vergleich der Ergussmengen von Steh- und Liegendaufnahmen
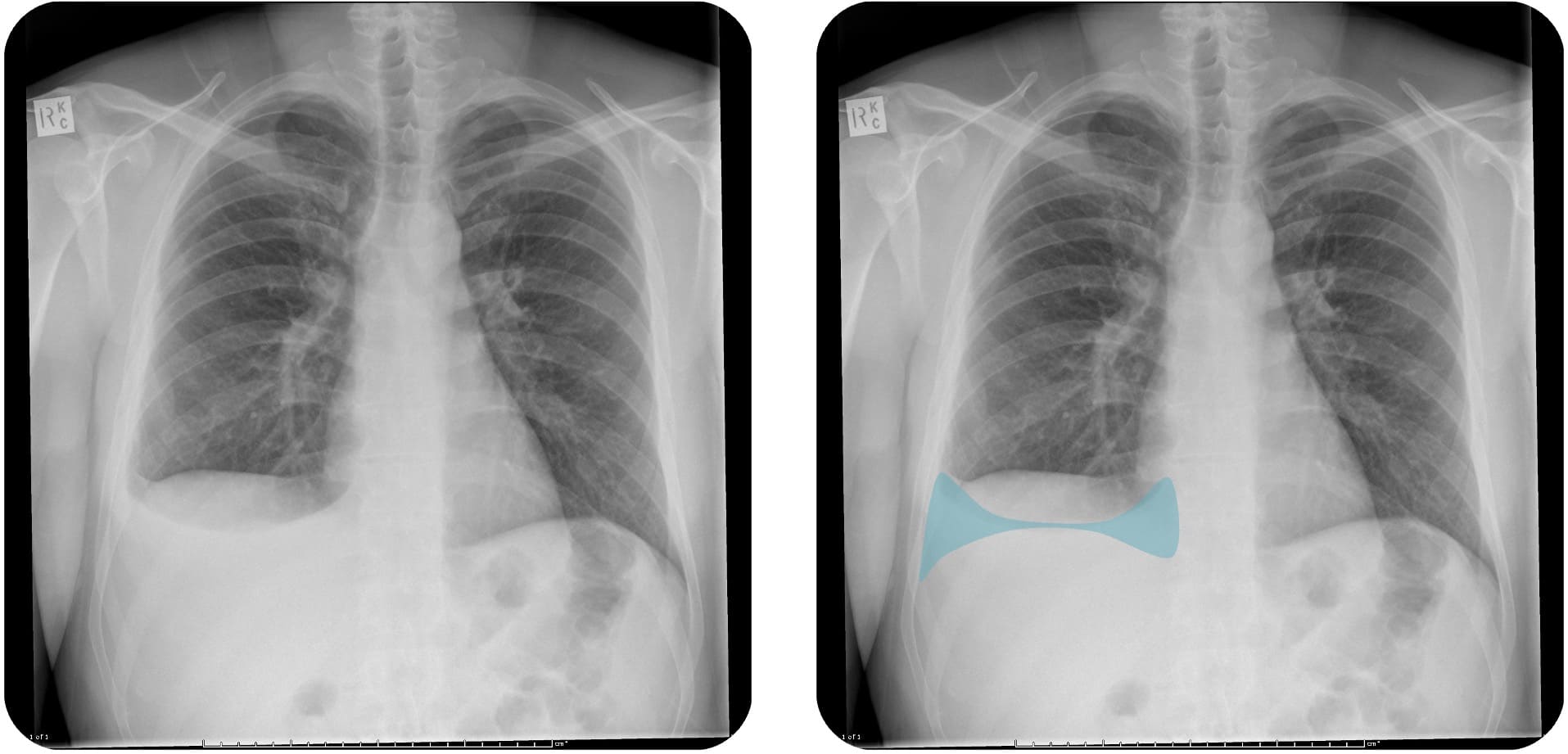
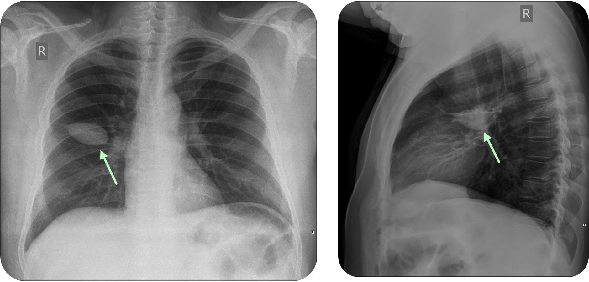
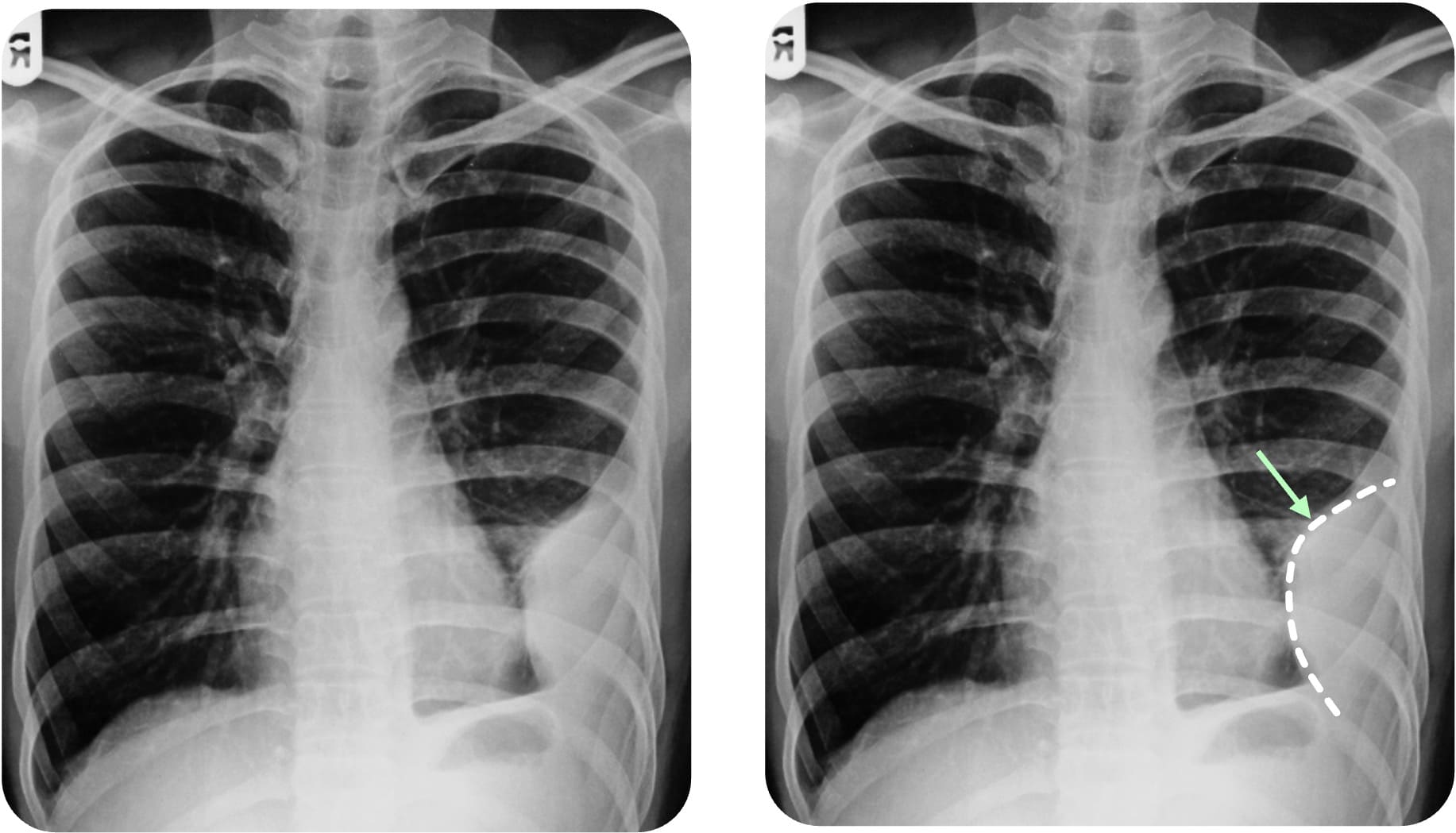
Radiologische Zeichen in der Stehendaufnahme
Im Röntgen-Thorax
Meniskuszeichen
Der Pleuraerguss

Case courtesy of Frank Gaillard, Radiopaedia.org, rID: 25595

Case courtesy of Frank Gaillard, Radiopaedia.org, rID: 25595

Case courtesy of Craig Hacking, Radiopaedia.org, rID: 80388
Bei großen Ergüssen kann Druck auf das angrenzende Lungengewebe ausgeübt werden, das dadurch schlechter belüftet wird. Man spricht von angrenzenden Kompressionsatelektasen. In schweren Fällen kann es auch zu einem Mediastinalshift
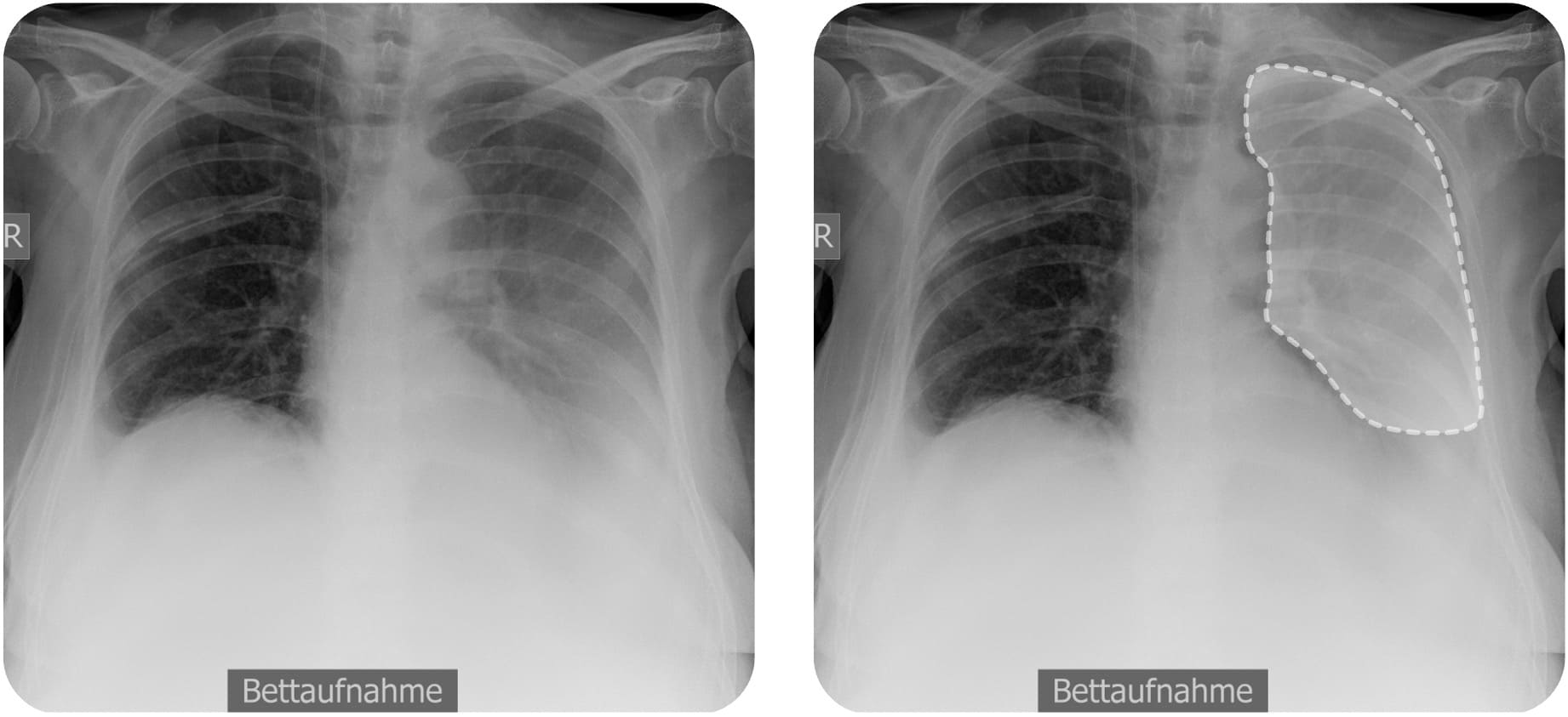
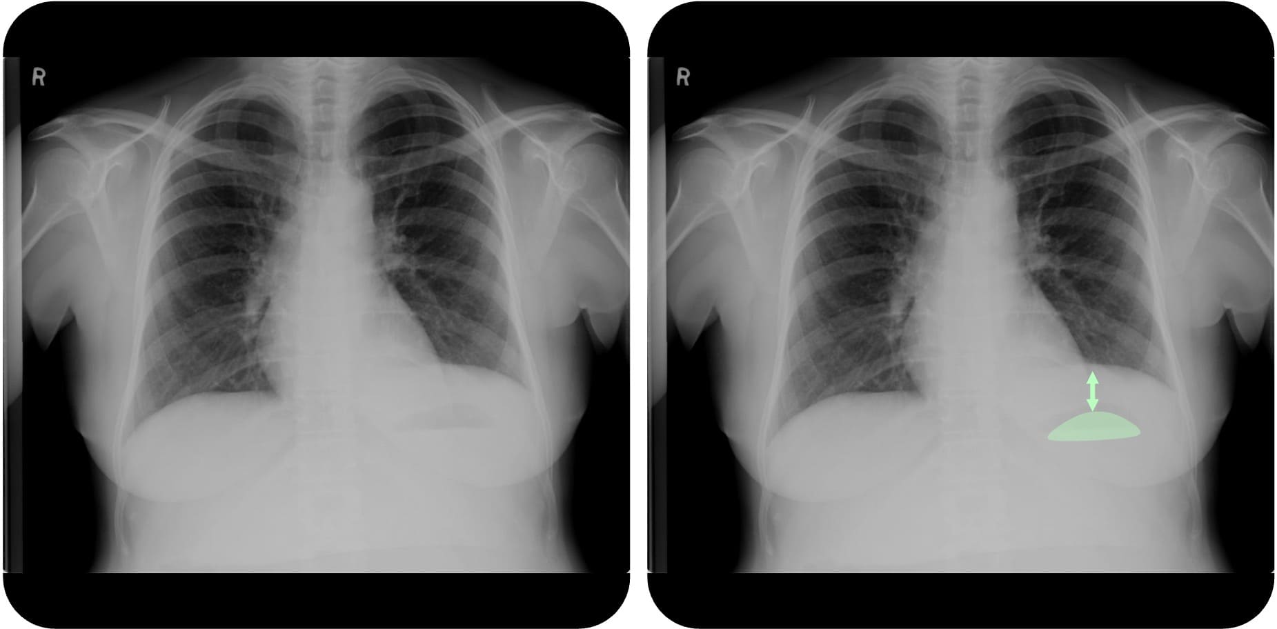
Radiologische Zeichen in der Liegendaufnahme
Im Liegen ist ein Pleuraerguss

Hellerhoff, CC BY-SA 3.0, https://creativecommons.org/licenses/by-sa/3.0, via Wikimedia Commons. Die Abbildung ist ein Derivat der oben genannten Abbildung. Das Bild wurde zugeschnitten. Es wurde das Overlays ergänzt.
Sonderformen
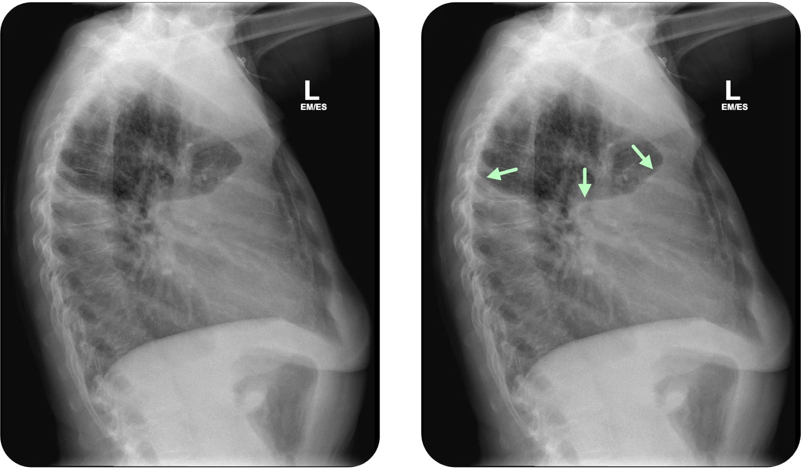
Interlobärerguss
Sonderformen sind der Interlobärerguss, der subpulmonale Erguss und der abgekapselte Erguss. Beim Interlobärerguss befindet sich die Flüssigkeit im Lappenspalt (Fissura obliqua oder horizontalis). Sie ist meist oval begrenzt („Zitronenform“) und insbesondere in der seitlichen Aufnahme gut beurteilbar. Er kann einen Rundherd

Case courtesy of Davison Dzamatira, Radiopaedia.org, rID: 99009
Subpulmonaler Erguss
Beim subpulmonalen Erguss sammelt sich die Flüssigkeit unterhalb des Lungenflügels zwischen Zwerchfell

Case courtesy of Nafisa Shakir Batta, Radiopaedia.org, rID: 24982
Abgekapselter Erguss
Bei Verklebungen der Pleurablätter kann ein Erguss nicht mehr frei abfließen und wird abgekapselt. Dies kann z.B. bei Entzündungen wie einer Pleuritis der Fall sein. In diesem Fall findet sich eine halbkugelförmige Verschattung

Case courtesy of Prashant Mudgal, Radiopaedia.org, rID: 30762
TippEs ist diagnostisch relevant, ob der Erguss nur auf einer oder auf beiden Lungenseiten auftritt. Einseitige Ergüsse sind häufig bei entzündlichen oder bösartigen Erkrankungen zu finden. Beidseitige Ergüsse treten meist bei systemischen Erkrankungen wie Herzinsuffizienz
oder Leberzirrhose auf.
Merke
- Stehendaufnahme: scharf abgrenzbar, Meniskus-Zeichen
- Liegendaufnahme
: homogene Transparenzminderung - Interlobarerguss: Pseudotumor
- Subpulmonaler Erguss: Pseudo-Zwerchfellhochstand
- Abgekapselter Erguss: Pseudo-Raumforderung
pleural
Quellen
- S3-Leitlinie Nationale VersorgungsLeitlinie Chronische Herzinsuffizienz, Bundesärztekammer, Kassenärztliche Bundesvereinigung, Arbeitsgemeinschaft der Wissenschaftlichen Medizinischen Fachgesellschaften

