Zusammenfassung
Gastrointestinale Notfälle sind im Rettungsdienst häufig und reichen von selbstlimitierenden Infekten bis zu lebensbedrohlichen Blutungen oder Ischämien. Die Patient:innen präsentieren sich oft mit abdominellen Schmerzen, Übelkeit oder Erbrechen, Diarrhö
Wichtige „Red Flags“ sind hämodynamische Instabilität, Peritonismus, anhaltendes Erbrechen mit Stuhl- oder Windverhalt, Ikterus
Der Artikel führt dich von oben nach unten durch die wichtigsten Krankheitsbilder: vom Zenker-Divertikel bis zur Mesenterialischämie und dem akuten Leberversagen. Zu jedem Abschnitt werden die präklinischen Schwerpunkte hervorgehoben: Analgesie und Antiemese, Volumen- und Blutungsmanagement, Oxygenierung, Lagerung sowie frühzeitige Klinikvoranmeldung.
Ein besonderes Augenmerk gilt vulnerablen Gruppen wie immunsupprimierten, schwangeren und pädiatrischen Patient:innen, bei denen die Zeichen oft subtil sind. Das Ziel besteht darin, dass du kritische Verläufe früh erkennst, richtig priorisierst und eine leitlinienorientierte präklinische Versorgung einleitest.
Besondere Anamnese
Stuhlanamnese
Eine gute Stuhlanamnese hilft, Blutungsquellen, Infektionen, Obstruktionen und metabolische Entgleisungen früh zu erkennen. Neben Farbe und Konsistenz sind Vitalparameter, Kreislaufstabilität und Begleitsymptome entscheidend für die Dringlichkeit.
Kurzleitfaden Stuhlanamnese (Auswahl):
- Zeitpunkt und Frequenz: letzter Stuhlgang? Häufigkeit?
- Konsistenz: anhand der Bristol Stool Scale
(Typ 1-7) - Farbe / Beimengungen: schwarz (teerig), dunkelrot / hellrot, grün / gelb, schleimig, eitrig
- Menge und Geruch: voluminös, übelriechend
- Begleitbeschwerden: Bauchschmerzen, Fieber
, Schüttelfrost, Synkope , Schwindel , Übelkeit und Erbrechen - Risikofaktoren: hohes Alter, Immunsuppression, vorbekannte Leberzirrhose
, Medikamenteneinnahme - Medikamente und Ernährung: Eisen
, Aktivkohle → schwarz, Rote Beete → rötlich, Antibiotikaeinnahme kürzlich - Reise- / Umfeldanamnese: Auslandsreisen, Erkrankungen im Umfeld

Normaler Stuhlgang (Referenz):
- Frequenz: individuell, von etwa 3x pro Tag bis zu 3x pro Woche
- Konsistenz: normal geformt (Bristol Stool Scale
3-4) - Farbe: braun
- Ohne Red Flags: kein Blut, kein Teerstuhl
, keine starken Schmerzen, kein Fieber , keine Kreislaufinstabilität
Diarrhö (Durchfall ):
→ ≥ 3 ungeformte / wässrige Stühle in 24 Stunden oder spürbar erhöhte Frequenz mit Konsistenzänderung
- Mögliche Ursachen: viral oder seltener bakteriell, Toxine, Medikamente, Ischämie
- Leitsymptome: wässrig-breiiger Stuhl, Bauchkrämpfe, ggf. Fieber
, ggf. Erbrechen - Präklinische Maßnahmen: (Auswahl)
- Volumensubstitution (oral oder i.v.)
- Ggf. Antiemetikum (wenn in Kombination mit Übelkeit und/oder Erbrechen)
- Isolationsmaßnahmen, Hygienemaßnahmen erweitern, persönliche Schutzausrüstung
(PSA ) erweitern
- Komplikationen: Hypovolämie
, Elektrolytstörungen, Sepsis
Hämatochezie (hellrotes Blut im Stuhl):
→ Frisches, hellrotes Blut im Stuhl beigemengt oder auf dem Stuhl oder Toilettenpapier
- Mögliche Ursachen: Hämorrhoiden
, Analfissur, Divertikelblutung, Tumor - Begleitsymptome: Pressschmerz, Kreislaufbeschwerden bei starker Blutung
- CAVE: massive gastrointestinale Blutung
→ schneller Transport - Präklinische Maßnahmen: (Auswahl)
- Oberkörperhochlagerung
- Volumensubstitution
- Ggf. Antiemetikum (wenn in Kombination mit Übelkeit und/oder Erbrechen)
- Oberkörperhochlagerung
- Komplikationen: hämorrhagischer Schock
, hypovolämischer Schock
Meläna (Teerstuhl ):
→ Schwarzer, glänzend-schmieriger, übelriechender Stuhl durch Blutabbauprodukte
- Mögliche Ursachen: obere gastrointestinale Blutung
, z.B. durch Ösophagusvarizen oder Ulkusblutungen - Red Flags: Hämatemesis
/ kaffeesatzartiges Erbrechen, Synkope , kaltschweißig, Tachykardie , Hypotonie - Präklinische Maßnahmen: (Auswahl)
- Volumensubstitution
- Ggf. Antiemetikum
- Ggf. Sauerstoffgabe
- Komplikationen: Aspirationspneumonie
(wenn Stuhlerbrechen), hämorrhagischer Schock , hypovolämischer Schock

Anamnese des Erbrochenen
Blutiges Erbrechen :
→ Frisches, rotes Blut oder Koagel
- Mögliche Ursachen: obere gastrointestinale Blutung
durch Ösophagusvarizen , Ulkus , Tumor - Begleitsymptome: Schwindel
, Synkope , Teerstuhl , Hypotonie, Tachykardie - Präklinische Maßnahmen: (Auswahl)
- Volumensubstitution
- Ggf. Antiemetikum
- Ggf. Sauerstoffgabe
- Oberkörperhochlagerung
→ Aspirationsgefahr
- Komplikationen: Aspiration, hämorrhagischer Schock
, hypovolämischer Schock
Kaffeesatzartiges Erbrechen:
→ Schwarz-bräunliche, körnige Beimengungen im Erbrochenen, die an Kaffeesatz erinnern
- Mögliche Ursachen: obere gastrointestinale Blutung
→ Blut kommt in Kontakt mit der Magensäure , dadurch wird das Hämoglobin wird zu Hämatin umgewandelt, was die dunkle Farbe und körnige Struktur erklärt - Begleitsymptome: Schwindel
, Synkope , Teerstuhl , Hypotonie, Tachykardie - Präklinische Maßnahmen: (Auswahl)
- Volumensubstitution
- Ggf. Antiemetikum
- Ggf. Sauerstoffgabe
- Oberkörperhochlagerung
→ Aspirationsgefahr
- Komplikationen: Aspiration, hämorrhagischer Schock
, hypovolämischer Schock
Stuhlerbrechen:
→ Stuhl oder stuhlähnliche Masse wird erbrochen
- Mögliche Ursachen: Ileus mit komplettem Darmverschluss oder Paralyse ohne weiteren Stuhltransport
- Begleitsymptome: Stuhlverhalt, Abdominalschmerz, Unwohlsein
- Präklinische Maßnahme: (Auswahl)
- Bauchdeckenentspannte Lagerung
- Ggf. Analgesie
- Ggf. kreislaufstabilisierende Maßnahmen
- Komplikationen: Aspiration, Sepsis, hämorrhagischer Schock
, hypovolämischer Schock
TippAus Farbe, Konsistenz und weiteren Informationen zu Stuhl und Erbrochenem ergeben sich konkrete Hypothesen zur Blutungsquelle bzw. Krankheitsbild. Die nun folgenden Krankheits-Steckbriefe entwerfen daraus Handlungshilfen: typische Befunde, rettungsdienstliche Diagnostik, Maßnahmen und Komplikationen.
Zenker-Divertikel
DefinitionZenker-Divertikel
Das Zenker-Divertikel ist eine pulsionsbedingte Ausstülpung der Schleimhaut durch eine muskelschwache Zone der Pharynxwand. Es entsteht typischerweise im Killian-Dreieck (Schwachstelle zwischen Pars obliqua und Pars fundiformis des M. cricopharyngeus) im dorsalen Hypopharynx.
Obwohl es klinisch oft zu den Ösophagusdivertikeln gezählt wird, liegt der anatomische Ursprung im Hypopharynx.

Zenker2.jpg von Hellerhoff, CC BY-SA 3.0, via Wikimedia Commons
Männer sind häufiger betroffen, der Altersgipfel liegt zwischen dem 50. und 70. Lebensjahr.
Ursache ist eine unzureichende Relaxation des M. cricopharyngeus (oberer Ösophagussphinkter) beim Schluckakt. Dies führt zu einer Druckerhöhung im Hypopharynx. Die Folge ist eine pulsionsbedingte Ausstülpung der Schleimhaut nach dorsal.
Symptome:
- Die klinische Symptomatik ist vom Stadium abhängig:
- Dysphagie (Schluckbeschwerden)
- Regurgitation (pathologisches Zurückfließen) unverdauter Nahrung
- Foetor ex ore (unangenehmer, fauliger Mundgeruch)
- Fremdkörpergefühl
- Aspirationspneumonie
- Husten
MerkeEine sichere Erkennung im Notfalleinsatz ist praktisch nicht möglich.
Ist ein Divertikel bereits bekannt, sollten neu auftretende oder progrediente Beschwerden als Verschlechterung durch das Zenker-Divertikel gewertet werden.
Diagnostik:
- Anamnese nach xABCDE und SAMPLER
- Körperliche Untersuchung: ggf. tastbare Schwellung am Hals, Auskultation (Hinweis auf Aspiration)
Maßnahmen im Einsatz
- Absaugbereitschaft herstellen
- Ggf. Sauerstoffgabe
- Ggf. Analgesie
- Oberkörperhochlagerung
zur Reduktion der Aspirationsgefahr - Zielkrankenhaus: HNO, Allgemein- / Viszeralchirurgie, ggf. Intensivstation
AchtungIntubation
nur unter klaren Sichtbedingungen! → Gefahr der Divertikelruptur.
Komplikationen
- Aspirationspneumonie
- Blutung
- Ruptur des Divertikels
Ösophagusvarizen
DefinitionÖsophagusvarizen
Ösophagusvarizen
sind Krampfadern der Speiseröhre, die infolge einer portalen Hypertension (erhöhter Druck in der Pfortader ) entstehen.
Häufigste Ursache ist eine Leberzirrhose. Komplikation mit höchster Relevanz ist die lebensbedrohliche Ösophagusvarizenblutung , eine Form der oberen gastrointestinalen Blutung .

Esophageal varices - wale.jpg von Samir, Public domain, via Wikimedia Commons
InfoUrsachen
- Intrahepatische portale Hypertension
- Leberzirrhose
(häufigste Ursache, v. a. alkoholtoxisch; 20–60 % der Patient:innen entwickeln Varizen) - Prähepatische Hypertension
- Z. B. Pfortaderthrombose
- Posthepatische Hypertension
- Z. B. Rechtsherzinsuffizienz
- Strömungsbehinderung in der Vena cava superior
(führt zu Varizen im oberen Ösophagusdrittel)
- Mediastinaltumor
- Lungen- oder Schilddrüsentumor
- Herzinsuffizienz
Symptome:
- Asymptomatisch, solange keine Blutung vorliegt
- Leichte Blutung:
- Meläna
(Teerstuhl )
- Meläna
- Schwere Blutung:
- Hämatemesis
(Bluterbrechen ) - Kaffeesatzerbrechen
- Zeichen des hypovolämischen Schocks
- Hämatemesis
Diagnostik:
- Anamnese nach xABCDE und SAMPLER
- Besonders relevant: bekannte Leberzirrhose
oder Alkoholanamnese
- Besonders relevant: bekannte Leberzirrhose
- Inspektion von Erbrochenem und Stuhl (Blutbeimengungen?)
- Monitoring und Beobachtung auf Schockzeichen
MerkeMassives Bluterbrechen
+ bekannte Zirrhose = Ösophagusvarizenblutung (bis zum Beweis des Gegenteils)!
Maßnahmen im Einsatz
- Kreislaufstabilisierung
- Intravenöse Volumensubstitution
- Schutzintubation erwägen bei massiver Blutung / Aspirationsgefahr
- Bei Übelkeit: Antiemetikum → Erbrechen kann Blutung zusätzlich verstärken
- Oberkörperhochlagerung
zur Senkung der Aspirationsgefahr - Zielkrankenhaus:
- Klinik mit Gastroenterologie und Notfallendoskopie (24/7)
- Bei schwerer Blutung → mit Schockraum
/ Intensivstation
AchtungBei einer schweren Varizenblutung besteht akute Lebensgefahr! Die Blutung kann durch eine Ballonsonde tamponiert werden oder während Endoskopie verödet werden.
Komplikationen
- Hypovolämischer Schock
- Atemwegsverlegung durch Blut
- Aspirationspneumonie
- Rezidivblutungen
Gastritis
DefinitionGastritis
Die Gastritis ist eine entzündliche Veränderung der Magenschleimhaut, die akut oder chronisch verlaufen kann.
InfoUrsachen
- Infektiös: v. a. Helicobacter pylori (H.p.)
- Medikamente: Acetylsalicylsäure
(ASS ), nichtsteroidale Antirheumatika (NSAR ) - Toxisch: Alkohol, Nikotin
- Stressbedingt: schwere Erkrankungen, Operationen, Verbrennungen
(„Stressulzera“) - Autoimmunologisch: Autoimmungastritis
- Seltener: Lebensmittelvergiftungen als Auslöser akuter Formen
Symptome:
- Akute Gastritis
: - Übelkeit, ggf. Erbrechen
- Oberbauchschmerz im Epigastrium (v. a. nach Nahrungsaufnahme)
- Völlegefühl, Appetitlosigkeit
- Chronische Gastritis
: - Häufig asymptomatisch
- Unspezifische Beschwerden
- Gelegentlich Halitosis (unangenehmer Mundgeruch)
Diagnostik:
- Anamnese nach xABCDE und SAMPLER
- Risikofaktoren abfragen: Alkohol, Nikotin, Stress, NSAR
-Einnahme, bekannte Helicobacter pylori-Infektion
- Risikofaktoren abfragen: Alkohol, Nikotin, Stress, NSAR
- Körperliche Untersuchung: Druckschmerz im Epigastrium möglich
Maßnahmen im Einsatz
- Ggf. Analgesie (z.B. mit Metamizol
) - Ggf. Antiemetikum
- Keine Nahrungsaufnahme → ggf. Gastroskopie
im Krankenhaus - Lagerung je nach Bedarf → meist Oberkörperhochlagerung geeignet
- Zielkrankenhaus: internistische Abteilung, Gastroenterologie
InfoNicht jeder Verdacht auf Gastritis erfordert einen Rettungswageneinsatz.
Bei leichten Verläufen oder chronischen Beschwerden reicht oft die Vorstellung beim Hausarzt oder außerhalb der Regelzeiten in einer Bereitschaftspraxis.
Komplikationen
- Ulkusbildung (Magen
- oder Duodenalulkus ) - Gastrointestinale Blutung
- Chronische Anämie bei Blutverlust
Ulkuserkrankung
DefinitionUlkuserkrankung
Ein Ulkus
ist ein tiefer, umschriebener Defekt von Schleimhaut oder Haut, der bis in tiefere Gewebeschichten reicht.
Häufige Formen:
- Ulcus
cruris (Haut) - Ulcus
corneae (Hornhaut) - Gastroduodenales Ulkus
(Magen und Duodenum ) Im Folgenden geht es um den gastroduodenalen Ulkus
, also einen Schleimhautdefekt im Bereich des Magens oder Duodenums.
InfoUrsachen
- Helicobacter pylori (häufigste Ursache)
- Medikamentös: NSAR
, ASS , Glukokortikoide (bei Langzeiteinnahme) - Stressulkus bei schweren Erkrankungen, Polytrauma, Intensivstation
- Nikotin- und Alkoholkonsum als Risikofaktoren
Symptome:
- Häufig asymptomatisch (v. a. ältere Patient:innen mit regelmäßiger NSAR
-Einnahme) - Epigastrische Schmerzen
- Magenulkus
: Schmerzen oft nach Nahrungsaufnahme - Duodenalulkus
: Schmerzen häufig nüchtern / nachts, Besserung nach Essen
- Magenulkus
- Völlegefühl, frühes Sättigungsgefühl
- Übelkeit, Erbrechen
- Bei gastrointestinaler Blutung
: - Meläna
(Teerstuhl ) - Hämatemesis
(Bluterbrechen )
- Meläna
Diagnostik:
- Anamnese nach xABCDE und SAMPLER
- Risikofaktoren abfragen: NSAR
-Einnahme, Alkohol, Nikotin, Stress, bekannte Helicobacter pylori-Infektion
- Risikofaktoren abfragen: NSAR
- Körperliche Untersuchung: Druckschmerz im Epigastrium möglich
Maßnahmen im Einsatz
- Ggf. Analgesie (z.B. mit Metamizol
) - Ggf. Antiemetikum
- Keine Nahrungsaufnahme → ggf. Gastroskopie
im Krankenhaus - Lagerung je nach Bedarf → meist Oberkörperhochlagerung geeignet
- Zielkrankenhaus: internistische Abteilung, Gastroenterologie
- Bei Blutung: zusätzlich Endoskopie und Intensivstation
- Bei Perforation: zusätzlich Viszeralchirurgie, Endoskopie und Intensivstation
Komplikationen
- Gastrointestinale Blutung
(lebensbedrohlich) - Perforation → akutes Abdomen
, Peritonitis - Fistelbildung
- Magenausgangsstenose
- Maligne Entartung → Übergang in Magenkarzinom
möglich
Akutes Leberversagen
DefinitionAkutes Leberversagen
Akutes Leberversagen (ALV) ist eine plötzliche, schwere Funktionsstörung der Leber
bei Personen ohne vorbestehende chronische Lebererkrankung. Es ist gekennzeichnet durch den schnellen Verlust der Leberfunktion, der typischerweise durch eine Koagulopathie (Gerinnungsstörung) und eine hepatische Enzephalopathie (Bewusstseinsstörung) sichtbar wird.
| Form des akuten Leberversagens | Zeitspanne | Hirnödem | Prognose |
|---|---|---|---|
| Hyperakut | 0–7 Tage | Häufig | Mäßig |
| Akut | 8–28 Tage | Häufig | Schlecht |
| Subakut | 29–72 Tage | Selten | Schlecht |

Jaundice eye.jpg von Autor/-in unbekanntUnknown author, Public domain, via Wikimedia Commons
InfoUrsachen
- Intoxikationen
- Paracetamol
(häufigste Ursache in Industrieländern) - Pilzgifte (v. a. Knollenblätterpilz)
- Bakterientoxine
- Virushepatitiden
(v. a. Hepatitis A, B, E) - Weitere Ursachen: Autoimmunhepatitis
, Stoffwechselstörungen, Medikamente
Symptome:
- Ikterus (Gelbfärbung von Haut und Skleren, typisches Frühsymptom)
- Hepatische Enzephalopathie
(bis hin zum Koma durch Hirnödem ) - Gerinnungsstörung mit Blutungsneigung (verminderte Synthese Gerinnungsfaktoren)
- Fortschreitender Verlauf: Multiorganversagen (z. B. Nierenversagen, Kreislaufversagen, Sepsis)
Diagnostik:
- Anamnese nach xABCDE und SAMPLER
- Risikofaktoren abfragen: Hinweise auf Paracetamolintoxikation, Pilzverzehr, Medikamenteneinnahme
- Monitoring: Vigilanz, Gerinnung (klinische Zeichen), Kreislauf, Nierenfunktion → auf Zeichen eines Multiorganversagens achten
Maßnahmen im Einsatz
- Volumensubstitution → zurückhaltend aufgrund Gefahr des Hirnödems
- Lagerung nach Bedarf
- Zielkrankenhaus: Gastroenterologie mit Leber
- / Transplantationszentrum, Intensivstation → ggf. Lebertransplantation erforderlich
AchtungSedativa (v.a. Benzodiazepine
) können Symptome einer Enzephalopathie verschlechtern und den neurotoxischen Effekt verstärken.
Komplikationen
- Hirnödem
- Gerinnungsstörungen / Blutungsneigung
- Sepsis
- Nierenversagen (hepatorenales Syndrom)
- Multiorganversagen
Gallenkolik
DefinitionGallenkolik
Die Gallenkolik ist ein anfallsartig auftretender, starker Schmerz im rechten Oberbauch, ausgelöst durch eine Cholelithiasis
(Gallensteinleiden ).
Die Schmerzen entstehen, wenn ein Gallenstein die Gallenblaseoder die Gallenwege blockiert und dadurch zu einer Druckerhöhung und krampfartigen Kontraktion führt.
Gallensteine-nach-Entfernung-der-Gallenblase-b.JPG von HOWI - Horsch, Willy, CC BY 3.0, via Wikimedia Commons
InfoRisikofaktoren des Gallensteinleidens
- Ernährung (v.a. bei ballaststoffarmer Diät, parenteraler Ernährung oder Fasten)
- 6-F-Regel:
- Female (weiblich)
- Fair (hellhäutige)
- Fat (adipös)
- Forty (vierzig)
- Fertile (fruchtbar)
- Family (genetisch bedingt)
Insbesondere die 6 F lassen sich sehr gut in Prüfungsformaten abfragen und können euch in Fallbeispielen entscheidende Hinweise geben.
Symptome:
- Starke kolikartige Schmerzen
im rechten Oberbauch - Schmerzausstrahlung in rechte Schulter oder Rücken möglich
- Auftreten v. a. nach fettreichen Mahlzeiten
- Übelkeit und/oder Erbrechen
Diagnostik:
- Anamnese nach xABCDE und SAMPLER
- Risikofaktoren abfragen: 6-F-Regel
- Körperliche Untersuchung → Palpation des rechtsseitigen Oberbauchs
- Murphy-Zeichen
: Beim Eindrücken des rechten Oberbauchs führt eine tiefe Einatmung zu einem plötzlichen Schmerz, sodass die Inspiration abgebrochen wird → Hinweis auf entzündete Gallenblase
- Murphy-Zeichen
- Präklinischer Ultraschall (falls verfügbar): Steinnachweis
Maßnahmen im Einsatz
- Analgesie (z. B. Metamizol
) - Spasmolytikum (z. B. Butylscopolaminiumbromid)
- Ggf. Antiemetikum bei Übelkeit
- Volumentherapie bei Kreislaufinstabilität
- Lagerung nach Bedarf, häufig bauchdeckenentspannt angenehm
- Zielkrankenhaus: internistische Abteilung, Gastroenterologie, Allgemein- / Viszeralchirurgie / Endoskopie, ggf. Intensivstation
Komplikationen
- Akute Cholezystitis
(Entzündung der Gallenblase ) - Pankreatitis (durch Verschluss des Ductus pancreaticus)
- Gallenblasenperforation mit Peritonitis
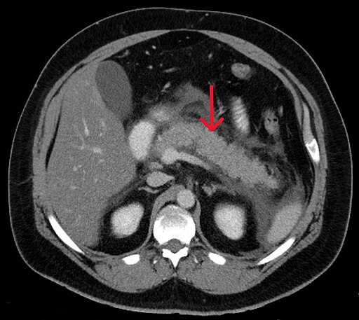
Akute Pankreatitis
DefinitionAkute Pankreatitis
Akute Pankreatitis
ist eine plötzlich auftretende Entzündung der Bauchspeicheldrüse, die sich meist durch starke, gürtelförmige Oberbauchschmerzen äußert, die in den Rücken ausstrahlen.

Pankreatitis exsudativ CT axial.jpg von Hellerhoff, CC BY-SA 3.0, via Wikimedia Commons
InfoUrsachen
- Gallensteinleiden
(Cholelithiasis ) - Alkoholkonsum / Alkoholmissbrauch
- Pankreastumoren
- Abdominelles Trauma
- Infektionen (z. B. Mumps, HIV)
- Medikamente (z. B. Paracetamol
, Furosemid )
Symptome:
- Plötzlicher Oberbauchschmerz, gürtelförmig in den Rücken ausstrahlend
- Übelkeit und Erbrechen
- „Gummibauch
“: pralles, elastisches Abdomen - Meteorismus (abdominelle Gasansammlung)
- Fieber
- Ggf. Hypotonie
- Ggf. Aszites
(Flüssigkeitsansammlung im Bauchraum)
Diagnostik:
- Anamnese nach xABCDE und SAMPLER
- Risikofaktoren abfragen: Alkohol, Gallensteinleiden
, Medikamente
- Risikofaktoren abfragen: Alkohol, Gallensteinleiden
- Monitoring: Vitalparameter, Sepsiszeichen
- Körperliche Untersuchung: Druckschmerz im Epigastrium, „Gummibauch
“, evtl. Aszites
MerkeEpigastrischer Schmerz + Erbrechen + ↑ RR / ↑ HF → Pankreatitis differenzialdiagnostisch immer mitdenken.
Maßnahmen im Einsatz
- Analgesie (z. B. Metamizol
oder Opioide ) - Antiemetikum bei Übelkeit
- Volumentherapie
- Lagerung nach Bedarf, meist bauchdeckenentspannt angenehm
- Zielkrankenhaus: internistische Abteilung, Gastroenterologie, ggf. Intensivstation (besonders bei V.a. Sepsis)
Komplikationen
- Stressulzera mit gastrointestinalen Blutungen
- Verbrauchskoagulopathie (DIC)
- Abdominales Kompartmentsyndrom
- Pankreasnekrose
- Pankreaszyste / Pseudozyste
- Sepsis
- Paralytischer Ileus
Gastroenteritis
DefinitionGastroenteritis
Die Gastroenteritis ist eine entzündliche Erkrankung der Schleimhaut des Magen
-Darm-Traktes, meist ausgelöst durch Viren oder Bakterien. Der Verlauf ist in der Regel selbstlimitierend, jedoch infektiös mit möglicher Übertragung von Mensch zu Mensch.
InfoUrsachen
- Viren:
- Norovirus
- Rotavirus
- Adenoviren
- Bakterien:
- Salmonellen
- Campylobacter
- Escherichia coli (EHEC)
- Clostridien
- Parasitäre Würmer (selten)
Symptome:
- Kurze Inkubationszeit, plötzlicher Erkrankungsbeginn
- Häufig mehrere Erkrankte im Umfeld (Infektionscluster)
- Diarrhö
(Durchfall ) - Übelkeit und Erbrechen
- Abdominalschmerzen
- Fieber
möglich - Gefahr der Exsikkose
(Austrocknung ), v. a. bei älteren oder geschwächten Personen - Meist selbstlimitierend nach 2–5 Tagen
Diagnostik:
- Anamnese nach xABCDE und SAMPLER
- Risikofaktoren abfragen: Reiseanamnese, Kontakt zu Erkrankten, Lebensmittelrisiken
- Monitoring: Zeichen der Exsikkose
(z. B. Tachykardie , Hypotonie, trockene Schleimhäute) - Körperliche Untersuchung: abdominelle Druckschmerzen
Maßnahmen im Einsatz
- Volumensubstitution (z. B. i.v. Flüssigkeitstherapie)
- Antiemetikum bei starkem Erbrechen
- Erweiterte PSA
(Handschuhe, Schutzkittel, ggf. Mund-Nasen-Schutz) zur Infektionsprophylaxe - Lagerung nach Bedarf: meist Oberkörperhochlagerung oder bauchdeckenentspannt
- Zielkrankenhaus: internistische Abteilung, Gastroenterologie, bei schweren Verläufen Intensivstation
TippBei älteren oder gebrechlichen Patient:innen: niedrige Schwelle für Transport, da sie sehr schnell dehydrieren können
InfoNicht jeder Fall erfordert einen Transport mit dem Rettungswagen – leichte Verläufe können ambulant (Hausarzt, Bereitschaftspraxis) behandelt werden
Komplikationen
- Exsikkose
- Elektrolytstörungen
- Sepsis (bei schwerem Verlauf oder bakterieller Ursache)
- Anämie bei blutiger Diarrhö
Mesenterialischämie
DefinitionMesenterialischämie
Ein Mesenterialarterienverschluss führt zu einer akuten, lebensbedrohlichen mesenterialen Ischämie.
Die Ursachen sind entweder eine arterielle Embolie oder eine arterielle Thrombose. Beide führen im versorgenden Darmabschnitt zu Nekrosen.
Symptome:
Der Verlauf lässt sich in drei Stadien gliedern:
- Initialstadium
- Plötzlich einsetzende, starke krampfartige Bauchschmerzen (meist periumbilikal)
- Fehlende Abwehrspannung und fehlender Druckschmerz
- Intervallstadium (bis ca. 12 Stunden)
- Scheinbare Besserung der Beschwerden
- Trügerisch, da die Ischämie weiter fortschreitet
- Endstadium
- Durchwanderungsperitonitis (von einem Hohlorgan ausgehende Entzündung des Peritoneum)
- Paralytischer Ileus
- Blutige Diarrhö, Entwicklung eines hämorrhagischen Schocks
Diagnostik:
- Anamnese nach xABCDE und SAMPLER
- Monitoring: Vitalparameter, Zeichen der Sepsis
- Körperliche Untersuchung: krampfartige Schmerzen, später Abwehrspannung
AchtungEine Besserung der Schmerzen bedeutet keine Entwarnung – im Gegenteil: Sie ist oft ein Hinweis auf den Übergang in ein fortgeschrittenes Stadium mit drohender Nekrose.
Maßnahmen im Einsatz
- Analgesie
- Antiemetikum bei Bedarf
- Vorsichtige Volumentherapie (Schockbehandlung, aber Gefahr der Überwässerung)
- Sauerstoffgabe
- Lagerung nach Bedarf, häufig bauchdeckenentspannt angenehm
- Zielkrankenhaus: Allgemein-/Viszeralchirurgie, Intensivstation (Indikation für notfallmäßige Operation)
Komplikationen
- Darmnekrosen → irreversibler Gewebeuntergang des betroffenen Darmabschnitts
- Perforation der Darmwand mit nachfolgender Peritonitis
- Durchwanderungsperitonitis durch bakterielle Translokation durch die Darmwand
- Paralytischer Ileus (gestörte Darmmotilität durch ischämische Schädigung der Darmwand)
- Blutungen durch Schleimhautschädigung → blutige Diarrhö, hämorrhagischer Schock
- Sepsis durch bakterielle Infektion und Endotoxinfreisetzung
- Multiorganversagen als Endstadium (Niere, Kreislauf, Lunge, Leber)
Ileus
DefinitionIleus
Der Ileus ist ein Darmverschluss infolge einer gestörten Passage im Dünn- oder Dickdarm.
Man unterscheidet:
- Mechanischer Ileus: Verlegung oder Einengung des Darmlumens
- Paralytischer Ileus: Lähmung der Darmmotilität ohne mechanisches Hindernis
Ein Ileus ist eine lebensbedrohliche Erkrankung, die umgehend behandelt werden muss.

Ileus2.png von THWZ, CC BY-SA 3.0, via Wikimedia Commons
Ursachen:
Mechanischer Ileus
- Gallensteinileus (selten)
- Kotstau / Obstipation
- Bezoar (z. B. Haarballen)
- Fremdkörper / Würmer
- Mekoniumileus bei Neugeborenen
- Tumoren
- Ausgeprägte Entzündungen
- Verwachsungen (Adhäsionen) nach Operationen
- Strangulationsileus: Hernie, Invagination
Paralytischer Ileus
- Entzündungen (z. B. Pankreatitis, Peritonitis)
- Mesenterialischämie
- Reflexparalyse (z. B. bei Gallenkolik oder Nierenkolik)
- Medikamente: Opiate, Antidepressiva, Laxanzienabusus
- Metabolisch: Ketoazidose, Elektrolytstörungen
- Spastisch: erhöhter Darmtonus
Symptome:
- Übelkeit und/oder Erbrechen → im Verlauf Koterbrechen (Miserere)
- Stuhl- und Windverhalt
- Völlegefühl und ggf. Zunahme des Bauchumfangs
- Abdominalschmerzen
- Abwehrspannung
- Ggf. Fieber
Diagnostik:
- Anamnese nach xABCDE und SAMPLER
- Risikofaktoren abfragen: Operationsanamnese, Risikofaktoren, Medikamente
- Monitoring: Kreislauf, Sepsiszeichen
- Körperliche Untersuchung:
- Inspektion: pralles Abdomen
- Palpation: Abwehrspannung, Druckschmerz
- Perkussion: tympanitisch (hohl klingend)
- Auskultation:
- Mechanischer Ileus: hochgestellte, „klingende“ Darmgeräusche
- Paralytischer Ileus: fehlende Darmgeräusche („Totenstille“)
Maßnahmen im Einsatz
- Analgesie
- Antiemetikum bei Bedarf
- Volumentherapie
- Ggf. Sauerstoffgabe
- Absaugbereitschaft → Aspiration vermeiden!
- Ggf. Magensonde zur Entlastung legen
- Lagerung nach Bedarf, meist bauchdeckenentspannt
- Zielkrankenhaus: Allgemein- oder Viszeralchirurgie, Intensivstation, Gastroenterologie
Komplikationen
- Sepsis
- Durchblutungsstörungen der Darmwand
- Darmwandödeme
- Nekrosen
- Perforation
- Peritonitis
- Hypovolämischer oder septischer Schock
Invagination
DefinitionInvagination
Die Invagination ist eine Einstülpung eines Darmabschnitts in ein nachfolgendes Darmsegment. Sie ist die häufigste Ursache des akuten Abdomens im Kleinkindalter, kann jedoch auch bei Erwachsenen auftreten.

Intussusception.svg von Olek Remesz (wiki-pl: Orem, commons: Orem), CC BY-SA 3.0, via Wikimedia Commons
Einteilung nach Lokalisation:
- Ileokolisch: Einstülpung des terminalen Ileums in Zäkum oder Colon ascendens (häufigste Form bei Kindern)
- Dünndarm-Invaginationen: Ileoileal oder jejunojejunale (seltener)
- Kolokolisch: Colon in Colon (v. a. bei Erwachsenen, oft tumorassoziiert)
Info
- Säuglinge und Kleinkinder (< 3 Jahre): meist idiopathisch durch erhöhte Darmmotilität
- Ältere Kinder und Erwachsene: organische Ursachen wie Tumoren, Polypen oder Divertikel
Symptome:
- Krampfartige Bauchschmerzen
- Bei Säuglingen/Kleinkindern: Schreiattacken mit Anziehen der Beine
- Erbrechen
- Ileus-Symptomatik (Stuhl- und Windverhalt)
- Blut- und Schleimabgang („Himbeergelee-artige" Blutbeimengung im Stuhl)
Diagnostik:
- Anamnese nach xABCDE und SAMPLER
- Fremdanamnese (Eltern) und Stuhlanamnese (Blut- und Schleimbeimengungen)
- Körperliche Untersuchung → Palpation abdomineller Schmerz
Maßnahmen im Einsatz
- Analgesie
- Ggf. Antiemetika
- Lagerung nach Bedarf, meist Oberkörperhochlagerung oder bauchdeckenentspannt angenehm
- Zielkrankenhaus: Kinderklinik mit Chirurgie, Intensivstation
Komplikationen
- Ischämie und Nekrose des eingestülpten Darmsegments
- Perforation
- Schock (septisch oder hypovolämisch)
Chronisch-entzündliche Darmerkrankung (CED)
DefinitionChronisch-entzündlichen Darmerkrankungen
Unter chronisch-entzündlichen Darmerkrankungen (CED) werden vor allem zwei Krankheitsbilder zusammengefasst:
- Morbus Crohn
- Colitis ulcerosa
Beide Erkrankungen verlaufen chronisch-schubweise und gehen mit einer inadäquaten Immunreaktion im Darm einher.

Iliitis-Endoskopie.jpg von Joachim Guntau.J. Guntau at de.wikipedia, CC BY-SA 2.0 DE, via Wikimedia Commons
InfoMorbus Crohn
Es handelt sich um eine chronisch-entzündliche Darmerkrankung, die alle Abschnitte des Gastrointestinaltrakts befällt und schubweise verläuft. Die Ursache ist multifaktoriell. Eine gefürchtete Komplikation ist insbesondere die Fistelbildung.
Ursachen
- Altersgipfel: 15 - 35 Jahre und 60 - 80 Jahre
- Beginnt im terminalen Ileum (letzter Dünndarmabschnitt) und kann sich auf den ganzen Verdauungstrakt ausbreiten sowie extraintestinale Manifestation (wie Augenentzündungen) beinhalten
- Genetische Disposition, Nachweis einer Gen-Mutation (NOD2-Gen)
- Umweltfaktoren (wie Nikotinkonsum)
- Inadäquate Immunantwort
- Defensinmangel (Mangel körpereigener Abwehrstoffe

Ulcerative colitis AO AL.jpg von Federica Viazzi (AO AL), CC BY-SA 4.0, via Wikimedia Commons
InfoColitis ulcerosa
Die Colitis ulcerosa ist ebenfalls eine CED und geht mit einer schubweise verlaufenden Entzündung der Kolonschleimhaut einher. Sie beginnt im Rektum und breitet sich von dort aus.
Ursachen
- Altersgipfel: 16 bis 25 Jahre
- Beginnt im Rektum und breitet sich über den Dickdarm aus
- Einflussfaktoren:
- Sozialer Status
- Umweltfaktoren
- Lebensweise → Stress, Ernährung, Rauchen (protektiv)
- Genetische Disposition, Nachweis einer Gen-Mutation (NOD2-Gen)
- Inadäquate Immunantwort
- Appendizitis im Kindesalter mit Appendektomie
- Medikamentöse Risikofaktoren: NSAR, orale Kontrazeptiva, Hormonpräparate
Symptome:
- Morbus Crohn:
- Rechtsseitiger Unterbauchschmerz
- Diarrhö (Durchfall, selten blutig)
- Ggf. Fieber
- Gewichtsverlust
- Abszesse und Fisteln (nicht-natürliche Verbindungen zwischen Hohlorganen)
- Subileus (inkompletter Ileus)
- Ggf. Gelenkschmerzen
- Ggf. Augenentzündung
- Colitis ulcerosa:
- Krampfartiger Bauchschmerz
- Schleimig-blutiger Durchfall, nicht unterdrückbarer und plötzlicher Stuhlgang
- Ggf. Fieber
- Ggf. Leistungsschwäche
- Exsikkose
- Gewichtsverlust
- Ggf. Anämie
- Ggf. Tachykardie und Hypotonie
Diagnostik:
- Anamnese nach xABCDE und SAMPLER,
- Risikofaktoren abfragen: Medikamenteneinnahme, wie Immunsuppressiva, NSAR
- Körperliche Untersuchung:
- Colitis ulcerosa → krampfartiger abdomineller Schmerz
- Morbus Crohn → rechtsseitiger Unterbauchschmerz
- Stuhlanamnese: Diarrhö, Blut- und Schleimbeimengungen
- Monitoring: auf Sepsiszeichen achten
Maßnahmen im Einsatz
- Analgesie (z. B. Metamizol)
- Antiemetikum bei Bedarf
- Volumentherapie bei Exsikkose
- Lagerung nach Bedarf, meist bauchdeckenentspannt angenehm
- Zielkrankenhaus: internistische Abteilung, Gastroenterologie, ggf. Intensivstation und Viszeralchirurgie (besonders bei V.a. Sepsis)
AchtungAufgrund der häufig bestehenden immunsuppressiven Therapie sollte bei Entzündungszeichen und insbesondere bei Sepsis-Zeichen eine Vorstellung im Krankenhaus forciert werden.
Komplikationen
- Perforation
- Blutung
- Fistelbildung und Abszesse (v. a. Morbus Crohn)
- Sepsis
- Toxisches Megakolon (lebensbedrohlich: massive Kolonerweiterung mit blutigen Durchfällen, Meteorismus, Sepsiszeichen)
Divertikulitis
DefinitionDivertikulitis
Divertikel sind Ausstülpungen der Wandanteile. Diese entstehen in der Regel im Dickdarm, v.a. im Sigma. Bei einer Divertikulitis entzünden sich eine oder mehrere dieser Ausstülpungen.

Colon diverticulum.jpg von melvil, CC BY-SA 4.0, via Wikimedia Commons
InfoRisikofaktoren
- Immunsuppression
- NSAR Einnahme
- Obstipation
- Ballaststoffarme Ernährung
- V.a. ältere Menschen betroffen
Symptome:
- Abdominalschmerzen, typischerweise im linken Unterbauch
- Obstipation oder Diarrhö
- Fieber
- Übelkeit und/oder Erbrechen
- Bei Perforation: Abwehrspannung, akutes Abdomen
Diagnostik:
- Anamnese nach xABCDE und SAMPLER,
- Risikofaktoren abfragen: Medikamenteneinnahme, wie Immunsuppresiva, NSAR
- Körperliche Untersuchung: Druckschmerz im linken Unterbauch, ggf. Abwehrspannung
- Stuhlanamnese: Obstipation, Durchfälle, Blutbeimengungen möglich
- Monitoring: auf Sepsiszeichen achten
Maßnahmen im Einsatz
- Analgesie (z. B. Metamizol)
- Antiemetikum bei Bedarf
- Volumentherapie bei Kreislaufinstabilität
- Lagerung nach Bedarf, häufig bauchdeckenentspannt angenehm
- Zielkrankenhaus: internistische Abteilung, Gastroenterologie, ggf. Intensivstation (besonders bei V.a. Sepsis)
Komplikationen
- Perforation → Peritonitis
- Blutung
- Fistelbildung (z. B. entero-vesikal, entero-kutan)
- Ileus (durch entzündliche Stenose)
- Abszess
- Sepsis
Hämorrhoiden
DefinitionHämorrhoiden
Hämorrhoiden sind eine Vergrößerung des arteriovenösen Geflechts im Rektum (Corpus cavernosum recti) mit Ausbildung eines Hämorrhoidalpolsters.
Klinisch fallen sie häufig durch hellrote Blutungen, Juckreiz und Brennen auf.

Digestive system - Hemorrhoids -- Smart-Servier.png von Laboratoires Servier, CC BY-SA 3.0, via Wikimedia Commons
InfoUrsachen
- Chronische Obstipation oder Diarrhö
- Starkes Pressen beim Stuhlgang
- Adipositas, Schwangerschaft (erhöhter intraabdomineller Druck)
- Sitzende Tätigkeit / Bewegungsmangel
- Alkoholkonsum → erhöhter Sphinktertonus
Symptome:
- Hellrote Blutungen (aufgelagert auf Stuhl oder Toilettenpapier)
- Nässen
- Juckreiz und Brennen
- Stuhlschmieren
- Schmerzen (v. a. bei Thrombose oder Prolaps)
Diagnostik:
- Anamnese nach xABCDE und SAMPLER
- Risikofaktoren abfragen: Stuhlanamnese (Obstipation, starkes Pressen, et..)
Maßnahmen im Einsatz
- Ggf. Lokale Kühlung
- Ggf. sterile Auflage
- Ruhige und empathische Kommunikation zur Beruhigung
- Zielkrankenhaus: Allgemein-/Viszeralchirurgie, Proktologe
InfoEin Transport mit dem Rettungswagen ist nicht immer notwendig.
Leichte oder chronische Verläufe können häufig ambulant beim Hausarzt oder in einer Bereitschaftspraxis abgeklärt werden.
Komplikationen
- Chronische Blutungsanämie
- Thrombose des Hämorrhoidalknotens
- Kontinenzstörungen
- Ekzeme und Ulzera im Analbereich
Leistenhernie
DefinitionLeistenhernie
Die Leistenhernie ist eine sackartige Ausstülpung des Bauchfells (Peritoneum parietale) oberhalb des Leistenbandes. Sie kann angeboren oder erworben sein. Schwachstellen oder Lücken in der Leistenregion dienen als Bruchpforte, durch die sich Baucheingeweide in einen Bruchsack verlagern.
- Männer sind deutlich häufiger betroffen
- Häufigkeitsgipfel: 50.–70. Lebensjahr
- Bei Frühgeborenen mit niedrigem Geburtsgewicht besteht erhöhtes Risiko

Inguinal hernia front view.jpg von IkeTheSloth, CC0, via Wikimedia Commons
InfoUrsachen
- Angeboren
- Erworben:
- Wandschwäche im Leistenbereich
- Erhöhter intraabdomineller Druck (z.B. durch Adipositas, Obstipation, Schwangerschaft)
- Bauchwandverletzungen
AchtungRisikofaktoren
- Bei Kindern:
- Frühgeburt, geringes Geburtsgewicht
- Urogenitale Fehlbildung
- Intraabdominelle Druckerhöhung
- Bei Erwachsenen:
- Männliches Geschlecht, fortgeschrittenes Alter
- Obstipation
- COPD, Husten
- Rauchen
- Gene (Familienanamnese)
- Adipositas
- Bauchwandverletzung
- Kraftsport mit starker Bauchpresse
Symptome:
- Schmerzlose oder schmerzhafte Schwellung an der Leiste oder Hoden
- Übelkeit und/oder Erbrechen
- Missempfindungen in der Leistenregion, ggf. ausstrahlende Schmerzen
- Beschwerden beim Harnlassen oder beim Geschlechtsverkehr
- Bei Inkarzeration:
- Akut einsetzende starke Schmerzen
- Harte, irreponible Schwellung in der Leiste
- Übelkeit und/oder Erbrechen
AchtungPlötzlich starke Schmerzen + verhärtete, irreponible Hernie = zeitkritisch.
Diagnostik:
- Anamnese nach xABCDE und SAMPLER
- Risikofaktoren abfragen
- Körperliche Untersuchung:
- Palpation Abdomen, Leiste, Hoden
- Auskultation: Darmgeräusche über der Schwellung?
- Monitoring, insbesondere auf Zeichen einer Sepsis
Maßnahmen im Einsatz
- Analgesie (z. B. Metamizol)
- Antiemetika bei Bedarf
- Volumentherapie bei Schockzeichen
- Lagerung nach Bedarf, meist bauchdeckenentspannt angenehm
- Zielkrankenhaus: Allgemein- / Viszeralchirurgie
- Kinder: Kinderchirurgie
- Erwachsene: Allgemein-/Viszeralchirurgie
AchtungEine Reposition der Hernie ist präklinisch kontraindiziert!
Es muss zunächst eine sonografische Abklärung erfolgen, um keine Darmstrangulation oder Nekrose zu übersehen.
Komplikationen
- Inkarzeration (Einklemmung) mit Strangulation
- Ödeme und Nekrosen im betroffenen Darmabschnitt
- Ileus
- Perforation
- Peritonitis und Sepsis
Peritonitis
DefinitionPeritonitis
Die Peritonitis ist eine akute, teils lebensbedrohliche Entzündung des Bauchfells (Peritoneum).
Sie kann bakteriell, mykotisch oder chemisch-toxisch bedingt sein.Man unterscheidet:
- Primäre Peritonitis (selten, meist spontan bakteriell, z. B. bei Aszites bei Leberzirrhose)
- Sekundäre Peritonitis (häufig, ca. 95 %): entsteht durch Hohlorganperforation, Trauma oder postoperative Komplikationen
InfoUrsachen
- Perforation von Hohlorganen: Ein Riss in der Wand von Magen, Darm, Dünndarm oder Dickdarm kann dazu führen, dass Bakterien in die Bauchhöhle gelangen
- Entzündliche Darmerkrankungen: Krankheiten wie Morbus Crohn oder Divertikulitis können eine Peritonitis auslösen
- Chirurgische Eingriffe: Operationen im Bauchraum, etwa am Blinddarm, können das Risiko einer Peritonitis erhöhen
- Verletzungen: Verletzungen durch Stich- oder Schusswunden oder durch Unfälle können zu einer Peritonitis führen
Symptome:
- Abwehrspannung, von einzelnen Quadranten bis hin zu allen 4 Quadranten
- Abdomineller Schmerz
- Fieber
- Ggf. flache Schonatmung
- Ödembildung und Flüssigkeitsverlust
- Sepsisgefahr!
Diagnostik:
- Anamnese nach xABCDE und SAMPLER
- Risikofaktoren abfragen
- Körperliche Untersuchung → Abdomineller Druckschmerz, Abwehrspannung (1 - 4 Quadranten)
- Monitoring: Vigilanz, Vitalparameter, Sepsiszeichen
Maßnahmen im Einsatz
- Analgesie (z. B. Metamizol)
- Antiemetika bei Bedarf
- Volumentherapie (Schockprophylaxe)
- Lagerung nach Bedarf, meist bauchdeckenentspannt angenehm
- Zielkrankenhaus: internistische Abteilung, Gastroenterologie, Intensivstation (besonders bei V.a. Sepsis), Allgemein-/Viszeralchirurgie
AchtungBei einer verzögerten Therapie mit Antibiotika oder einer chirurgischen Intervention kann es zu einer lebensbedrohlichen Sepsis kommen. Daher ist ein zügiger Transport in das passende Zielkrankenhaus erforderlich.
Komplikationen
- Sepsis
- Multiorganversagen
Quellen
- Luxem, J., Runggaldier, K., Karutz, H., Flake, F., Notfallsanitäter Heute, Elsevier, 2016, ISBN: 978-3437461958
- Koch, S., Kuhnke, R., retten - Notfallsanitäter, Thieme, 2023, ISBN: 978-3132421219
- S2k-Leitlinie Helicobacter pylori und gastroduodenale Ulkuskrankheit, Deutsche Gesellschaft für Gastroenterologie, Verdauungs- und Stoffwechselkrankheiten e.V. (DGVS)
- S2k-Leitlinie: Gastroösophageale Refluxkrankheit und eosinophile Ösophagitis, Deutsche Gesellschaft für Gastroenterologie, Verdauungs- und Stoffwechselkrankheiten e.V. (DGVS)
- S2k-Leitlinie: Gastrointestinale Blutung, Deutsche Gesellschaft für Gastroenterologie, Verdauungs- und Stoffwechselkrankheiten e.V. (DGVS)
- S3-Leitlinie Prophylaxe, Diagnostik und Therapie der Hepatitis-B-Virusinfektion, Deutschen Gesellschaft für Gastroenterologie, Verdauungs- und Stoffwechselkrankheiten (DGVS)
- S3-Leitlinie Divertikelkrankheit / Divertikulitis, Deutsche Gesellschaft für Gastroenterologie, Verdauungs- und Stoffwechselkrankheiten e.V. (DGVS), Deutsche Gesellschaft für Allgemein- und Viszeralchirurgie e.V. (DGAV)
- S3-Leitlinie Diagnostik und Therapie des Morbus Crohn, Deutsche Gesellschaft für Allgemein- und Viszeralchirurgie e.V. (DGAV), Gesellschaft für Pädiatrische Gastroenterologie und Ernährung e.V. (GPGE), Deutsche Röntgengesellschaft, Gesellschaft für Medizinische Radiologie e.V. (DRG)
- S3-Leitlinie Colitis ulcerosa, Deutsche Gesellschaft für Gastroenterologie, Verdauungs- und Stoffwechselkrankheiten e.V. (DGVS)
- S3-Leitlinie Pankreatitis, Deutsche Gesellschaft für Gastroenterologie, Verdauungs- und Stoffwechselkrankheiten e.V. (DGVS)


