Zusammenfassung
Im Rettungsdienst dominieren kardiale, neurologische und traumatologische Notfälle. Dennoch begegnen Notfallsanitäter:innen gelegentlich auch urologische und nephrologische Krankheitsbilder, die akut behandlungsbedürftig sein können. Dazu zählen Harnverhalt
Diese Erkrankungen gehen mit teils unspezifischen Symptomen einher, bergen aber das Risiko relevanter Komplikationen wie eine Sepsis und können psychische Belastungen verursachen.
Ein frühzeitiges Erkennen und gezieltes Handeln sind daher entscheidend für den weiteren Verlauf. Dieser Artikel bietet einen kompakten Überblick über die genannten Krankheitsbilder mit Fokus auf typische Symptome, präklinische Maßnahmen und potenzielle Komplikationen. Ziel ist es, Notfallsanitäter:innen für diese selten beachteten, aber potenziell bedrohlichen Situationen zu sensibilisieren.
Harnverhalt
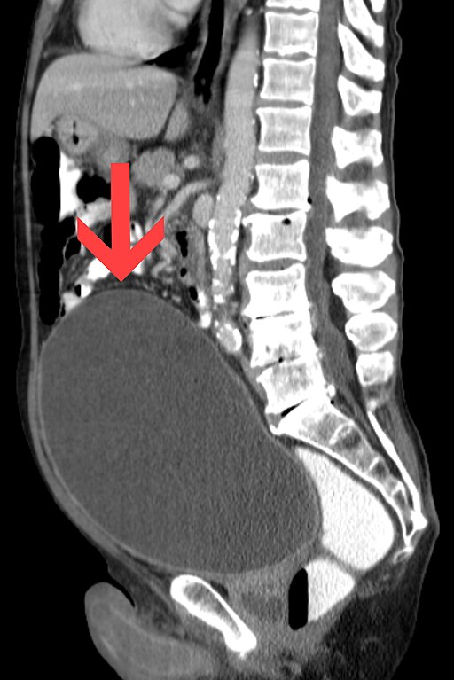
DefinitionHarnverhalt
(Ischurie ) Unfähigkeit zur spontanen Blasenentleerung (Miktion) trotz gefüllter Harnblase.

Harnverhalt.jpg von Hellerhoff, CC BY-SA 3.0, via Wikimedia Commons
Man unterscheidet einen akuten Harnverhalt
Zu den typischen Ursachen zählt die benigne Prostatahyperplasie
Symptome:
- Miktionsbeschwerden
- Unterbauchschmerzen
- Harndrang
- Ggf. unwillkürlicher Harnabgang bei Überlaufblase
Diagnostik:
- Anamnese: Symptome, Dauer- oder Akutmedikamente, vorbestehende urologische Erkrankungen (z.B. Nierensteine, Tumor, Prostata), letzte Miktion, Ereignis (z.B. Trauma, Bandscheibenvorfall
), gezogener Blasenkatheter? - Inspektion und Palpation: sicht- oder tastbare pralle Blase
, Zeichen der Überlaufinkontinenz - Kontrolle der Vitalparameter
Maßnahmen im Einsatz
- Oberkörperhochlagerung
oder sitzender Transport - Schmerzmanagement
- Transport in Krankenhaus mit urologischer Abteilung
AchtungKeine Katheterisierung präklinisch → erfolgt erst im Krankenhaus
Komplikationen / Besonderheiten
- Gefahr der Blasenüberdehnung → Blasenruptur
- Postrenale Nierenschädigung
- Vegetative Entgleisung bei Schmerzsymptomatik
Harnwegsinfekt
DefinitionHarnwegsinfekt (HWI)
Infektion
des Harnsystems - von der Urethritis bis zur Pyelonephritis
Ein Harnwegsinfekt ist eine durch Keime, meist Escherichia coli, verursachte Entzündung der ableitenden Harnwege. Die Einteilung erfolgt in der Regel nach dem Ort der Infektion
Infektionen des unteren Harntrakts umfassen die Urethritis (Entzündung der Harnröhre), die Zystitis (Entzündung der Blasenschleimhaut) sowie bei Männern auch die Prostatitis (Entzündung der Vorsteherdrüse/Prostata). Diese Formen zeigen sich überwiegend durch lokale Symptome wie Brennen beim Wasserlassen, häufigem Harndrang und suprapubischen Schmerzen.
Betrifft die Infektion
Typische Ursachen:
- Bakterielle Infektion
(E. coli) - Harnabflussstörung
- Schwangerschaft
- Dauerkatheter
Risikofaktoren:
- Anatomie der Frau (räumliche Nähe von Darm- und Harnröhrenöffnung und kurze Harnröhre)
- Harnwegobstruktion
- Blasenfunktionsstörungen
- Immunsuppressive Therapie
- Diabetes mellitus
- Schwangerschaft
- Schmerzmittelabusus
- Dauerkatheter
Symptome:
- Dysurie
, Pollakisurie , suprapubischer Schmerz - Fieber
, Flankenschmerz bei Pyelonephritis - Ggf. Übelkeit, Schüttelfrost, Verwirrtheit bei Älteren
Diagnostik:
- Anamnese: Symptome, vorbekannte Harnwegsinfekte oder andere urologische Vorerkrankungen, Risikofaktoren
- Inspektion und Palpation: Klopfschmerz Nierenlager, suprapubischer Druckschmerz, verschlechterter Allgemeinzustand
- Kontrolle Vitalparameter, Temperaturkontrolle, auf Zeichen der Sepsis achten (qSOFA
)
Maßnahmen im Einsatz
- Auf Sepsiszeichen achten → qSOFA
→ schneller Transport und spezifische Therapie (z.B. Volumengabe) bei Verdacht auf Sepsis - Kontinuierliches Monitoring und Zustandsüberwachung der erkrankten Person
- Oberkörperhochlagerung
, ggf. angepasste Lagerung bei instabiler Kreislaufsituation - Bedarfsgerechte Volumentherapie, vor allem bei Sepis
- Transport in ein Krankenhaus mit urologischer Abteilung
AchtungIn der Regel keine präklinische Antibiotikatherapie → erfolgt im Krankenhaus nach Urinkulturren
Komplikationen / Besonderheiten
- Gefahr der Urosepsis
- Verwechslungsgefahr mit Appendizitis
oder Kolik
Hämaturie
DefinitionHämaturie (Makrohämaturie
) Dabei handelt es sich um die pathologische Ausscheidung von Blut mit dem Harn. Im Gegensatz zur Mikrohämaturie
ist die Makrohämaturie sichtbar.

The presence of blood in urine bag.jpg von Own work, CC0, via Wikimedia Commons.
Als Hämaturie bezeichnet man das Auftreten von Blut im Urin. Dabei wird zwischen Mikrohämaturie
Die Ursachen der Makrohämaturie
Symptome:
- Sichtbar blutiger, rot bis braun verfärbter Urin
- Schmerzen:
- Flankenschmerz bei Nierensteinen
- Suprapubischer Schmerz bei Blasenentleerung
- Dysurie
, Pollakisurie - Miktionsstörung
oder Harnverhalt bei Koagelbildung - Bei starkem Blutverlust: Schwindel, Kreislaufsymptome
Diagnostik:
- Anamnese: Symptome, Dauermedikation, Patientenvorgeschichte, letzte Miktion, Risikofaktoren
- Inspektion und Palpation: ggf. Inspektion Urin, Flankenschmerz oder suprapubischer Schmerz, Blase
tastbar, Verletzungen bei Trauma - Kontrolle der Vitalparameter
Maßnahmen im Einsatz
- Ggf. Infusionstherapie
- Keine Manipulation des Dauerkatheters (wenn vorhanden)
- Schonende Lagerung (ggf. Oberkörperhochlagerung
) - Transport in Krankenhaus mit urologischer oder innerer Abteilung
Komplikationen / Besonderheiten
- Koagelverlegung → akuter Harnverhalt
- Postrenale Nierenschädigung
bei Abflussstörung - Trauma mit Blasenruptur oder Nierenverletzung → vital bedrohlich
AchtungDifferentialdiagnosen bei Rotfärbung des Urins
- Makrohämaturie
- Asymptomatische Makrohämaturie
: oft bei Malignomen (z.B. Urothelkarzinom , Nierenzellkarzinom , Prostatakarzinom ) - Andere Ursachen einer Makrohämaturie
:
- Glomerulonephritis
- Urolithiasis
- Harnwegsinfektionen
- Hämoglobinurie
(Hämolyse) - Myoglobinurie
(Myolyse) - Nahrungsmittel: Rote Beete, Brombeeren oder Rhabarber
- Rifampicin
- Porphyrien
Priapismus
DefinitionPriapismus
Anhaltende, schmerzhafte Dauererektion des Penis über 2 Stunden.
Beim Priapismus handelt es sich um eine schmerzhafte Dauererektion des Penis, die länger als zwei Stunden anhält und nicht mit sexueller Erregung einhergeht. Man unterscheidet zwei Hauptformen:
- Low-Flow
-Priapismus - High-Flow
-Priapismus
Beim Low-flow-Priapismus handelt es sich um die häufigere und zugleich medizinisch bedrohlichere Form. Dabei ist der venöse Abfluss aus den Schwellkörpern stark eingeschränkt, während der arterielle Einstrom weiterhin besteht. Infolge der gestörten Zirkulation steigt der Druck in den Schwellkörpern zunehmend an. Dadurch kann es zu einer Ischämie (Zelluntergang) und letztlich zu irreversiblen Schäden des erektilen Gewebes kommen.
Demgegenüber steht der High-flow-Priapismus, bei dem es durch einen erhöhten arteriellen Einstrom bei erhaltenem venösen Abfluss zu einer schmerzlosen, nicht-ischämischen Dauererektion kommt. Diese Form tritt meist infolge eines Traumas im Bereich der Arterien (z. B. durch Reiten oder einen Sturz) auf.
Die Ursachen des Priapismus sind vielfältig. In etwa 30 % der Fälle bleibt die Ursache unklar. Bei rund 20 % der Betroffenen steht der Priapismus im Zusammenhang mit der Einnahme von Medikamenten oder Drogen, insbesondere von Phosphodiesterase-Hemmern (z. B. Sildenafil), Kokain
Symptome:
- Schmerzhafte, harte Erektion
- Keine Besserung durch Ejakulation
- Teilweise Harnverhalt
Diagnostik:
- Anamnese: Symptome, Dauermedikation, Drogenkonsum, Vorerkrankungen (z.B. Leukämie), Ereignis (z.B. Trauma, Penisringe)
- Inspektion: sichtbare Erektion → keine Palpation und Manipulation!
- Vitalwerte kontrollieren
Maßnahmen im Einsatz
- Schonende Lagerung, Oberkörperhochlagerung
- Schnellstmöglicher Transport in Krankenhaus mit Urologie
- Ggf. Analgesie
AchtungKeine Manipulation vor Ort!
Komplikationen / Besonderheiten
- Irreversible Schädigung der Schwellkörper nach über 6 Stunden
- Psychische Belastung
- Unangenehm für Betroffene, Schamgefühl → evtl. erst spätes Hinzuziehen des Rettungsdienstes
Paraphimose
DefinitionParaphimose
Durch eine angeborene oder erworbene Vorhautverengung (Phimose), welche hinter die Eichel zurückgezogen ist, kann es zu einer Einklemmung kommen. Diese kann Nekrosen
der Eichel verursachen.

Paraphimosis.jpg von Drvgaikwad, CC BY 3.0, via Wikimedia Commons.
Bei einer Paraphimose, einem urologischen Notfall, bleibt die enge Vorhaut (Phimose) hinter der Eichel (Glans penis) zurückgezogen und kann nicht mehr in ihre ursprüngliche Position über die Eichel zurückgeschoben werden. Dadurch entsteht ein strammer Schnürring, der den venösen Abfluss behindert, während der arterielle Zufluss weiterhin besteht. Es kommt zur schnellen Schwellung der Eichel und der zurückgezogenen Vorhaut, wodurch sich die Situation weiter verschärft. Die Folge ist eine venöse und lymphatische Stauung, die unbehandelt zur ischämischen Nekrose
Typische Auslöser sind iatrogene Manipulationen, beispielsweise beim Legen eines Blasenkatheters oder bei hygienischen Maßnahmen, bei denen die Vorhaut bei bestehender Phimose zurückgezogen und anschließend nicht wieder korrekt vorgeschoben wird. Aber auch manipulative Ursachen durch den Patienten selbst, etwa beim Geschlechtsverkehr
Symptomatik:
- Starke Schmerzen im Bereich der Eichel → bei sichtbarem, strangförmigen Schnürring
- Ödematöse, pralle Schwellung
- Rötung bis hin zur Blaufärbung
- Ggf. Harnverhalt
(durch Kompression der Harnröhre) - Psychische Symptomatik: Angst, Scham
Diagnostik:
- Anamnese: Symptome, Patientenvorgeschichte (bekannte Phimose), Ereignis
- Inspektion: Rötung oder Blaufärbung der Eichel, sichtbarer Schnürring, ödematöse Schwellung
- Kontrolle der Vitalwerte
Maßnahmen im Einsatz
- Keine Manipulation präklinisch
- Ggf. Schmerztherapie
- Schonender Transport
- Ggf. Kühlung des Genitalbereichs
- Transport in Krankenhaus mit urologischer Abteilung
AchtungKeine Manipulation und keine Katheterisierung im Rettungsdienst! → Verletzungsgefahr
Komplikationen / Besonderheiten
- Ischämische Nekrosen
, bei Dauer über 6 Stunden - Sekundäre Infektionen oder Harnröhrenverletzungen
- Klinische Therapie: manuelle Reposition, Entlastungsschnitt oder Zirkumzision (Beschneidung)
MerkeEs ist auf empathische Kommunikation mit viel Feingefühl zu achten, besonders im Hinblick auf das Schamgefühl, sowie auf die Intimsphäre.
Penisfraktur
DefinitionPenisfraktur / -ruptur
Traumatische Ruptur des Schwellkörpers (Corpora cavernosa) (einer oder beide) bei erigiertem Penis, folglich kommt es zu starken Einblutungen in das Schwellkörpergewebe.

Penisfraktur 01.jpg von Sevgi Ozcan and Ersin Akpinar, CC BY-SA 3.0, via Wikimedia Commons.
Die Penisfraktur ist ein seltenes, aber akut behandlungsbedürftiges urologisches Trauma. Dabei reißt die bindegewebige Hülle des Corpora cavernosa, in der Regel während einer Erektion. Am häufigsten entsteht sie durch ein plötzliches, ruckartiges Abknicken des erigierten Penis beim Geschlechtsverkehr, beispielsweise durch unkontrollierte Bewegungen oder Positionswechsel. Seltener tritt die Verletzung auch bei Masturbation oder durch ein direktes Trauma (z.B. Stoß gegen Bettkante oder Sportunfall) auf.
Symptome:
- Lautes Knackgeräusch
- Starke Schmerzen
- Sofortige Detumeszenz (Erschlaffen des erigierten Penis)
- Rasche Hämatombildung
- Folgekomplikationen: Penisverkrümmung und Erektionsstörungen
- Ggf. zusätzliche Verletzung der Harnröhre
Diagnostik:
- Anamnese: Ereignis und Symptome, Dauermedikation (z.B. Gerinnungshemmer
) - Inspektion: deutliches Hämatom, ggf. schiefe oder abgeknickte Penisform
- Kontrolle der Vitalparameter
Maßnahmen im Einsatz
- Schonende und schmerzarme Lagerung → bspw. baudeckenentspannende Lagerung oder Oberkörperhochlagerung
- keine Manipulation → Verdachtsdiagnose durch Blickdiagnose und Anamnese sicher
- Ggf. Analgesie bei starken Schmerzen
- Schneller Transport in Krankenhaus mit urologischer Abteilung, mit OP-Bereitschaft
AchtungEine Penisfraktur stellte einen Grund für eine sofortige urologische Operation dar, da es sonst zu irreversiblen Erektionsstörungen kommen kann.
Komplikationen / Besonderheiten
- Erektionsstörungen
- Begleitverletzungen der Harnröhre
Fournier-Gangrän
DefinitionFournier-Gangrän
Es handelt sich um eine Mischinfektion, die zu einer nekrotisierenden Fasziitis im Bereich von Perineum, Damm, Skrotum
oder Vulva führt. Diese breitet sich rasch entlang der Faszien aus.

Furnijerova gangrena.jpg von Intermedichbo at Serbian Wikipedia, Public domain, via Wikimedia Commons.
Das Fournier-Gangrän ist eine seltene, aber lebensbedrohliche nekrotisierende Fasziitis
Häufige Ursachen sind kleine Hautverletzungen, perianale Infektionen, Harnwegsinfektionen, Abszesse oder Katheterkomplikationen. Risikofaktoren sind insbesondere Diabetes mellitus
Symptome:
- Starke Schmerzen im Damm-, Anal- oder Genitalbereich
- Schwellung, Rötung, Überwärmung, evtl. livide Verfärbung
- Rasch fortschreitende Hautnekrosen, Blasenbildung
- Übelriechender Wundgeruch
- Fieber
, Schüttelfrost, Tachykardie - Im Verlauf: Zeichen der Sepsis
Diagnostik:
- Anamnese: Symptome, bekannte Infektionen, Dauermedikation (Immunsuppressiver), Patientenvorgeschichte (Diabetes mellitus
, Adipositas , Alkoholkonsum), Risikofaktoren (ältere Männer) - Inspektion: ausgeprägte Rötung, Schwellung, Hautnekrosen, Eiteransammlungen, Wunden, fauliger Geruch aus der betroffenen Region
- Kontrolle der Vitalwerte, auf Sepsiszeichen achten (qSOFA
)
Maßnahmen im Einsatz
- Bedarfsgerechte Volumentherapie
- Bei bestehender Sepsis: Therapie nach lokalen Vorgaben
- Monitoring der Vitalparameter und dem Zustand der erkrankten Person
- Keine Manipulation und auf entsprechende Hygiene achten
- Schonende Lagerung, angepasst an Patient:innenzustand / -bedürfnisse
- Transport in ein Krankenhaus mit chirurgischer Abteilung und Intensivstation
MerkePatient:innen mit mehreren Risikofaktoren (z.B. Diabetes mellitus
, Adipositas , Pflegeheimbewohner, älterer Mann, ggf. schlechte Genitalhygiene) → an Fournier-Gangrän denken!
Komplikationen / Besonderheiten
- Unbehandelt führt es rasch zu einer Sepsis und Multiorganversagen
- Massiver Gewebsuntergang → Folgend sind drohende Amputation oder Verlust genitaler Funktionen
- Letalität (Tödlichkeit) 20 - 40 %
Akute und chronische Nierenschädigung
DefinitionNierenschädigung
Oberbegriff für akute Nierenschädigung
(AKI, früher akute Niereninsuffizienz ) und chronische Nierenerkrankung (CKD , früher chronische Niereninsuffizienz ). Beide sind durch eine eingeschränkte Ausscheidung harnpflichtiger Substanzen sowie Störungen von Wasser-, Elektrolyt- und Säure-Basen -Haushalt gekennzeichnet.
Akute Nierenschädigung (AKI)
- Definition (KDIGO
): - Kreatininanstieg ≥0,3 mg/dl in 48 Std. oder ≥1,5-fach in 7 Tagen
- Urinausscheidung <0,5 ml/kgKG/h über >6 Std.
- Ursachen:
- Prärenal: Schock
, Hypovolämie, Kreislaufversagen - Renal: Entzündungen (z. B. Glomerulonephritis
), Infektionen, toxische Medikamente (NSAR, Antibiotika , Kontrastmittel), Vergiftungen - Postrenal: Harnabflussstörung mit Harnstau (z. B. Prostatahyperplasie, Steine)
- Prärenal: Schock
Chronische Nierenerkrankung (CKD )
- Definition: Strukturelle oder funktionelle Nierenanomalie ≥ 3 Monate, GFR
< 60 ml/min/1,73 m² - Hauptursachen:
- Diabetische Nephropathie
- Arterielle Hypertonie
- Diabetische Nephropathie
- Weitere Ursachen:
- Chronisch-entzündliche Nierenerkrankungen (z. B. Glomerulonephritis
) - Polyzystische Nierenerkrankung
- Analgetika-Nephropathie
- Chronisch-entzündliche Nierenerkrankungen (z. B. Glomerulonephritis
Risikofaktoren (akut und chronisch)
- Diabetes mellitus
- Arterielle Hypertonie
- Kardiovaskuläre Vorerkrankungen
- Alter
- Nephrotoxische Medikamente
Symptome:
- Frühphase:
- Leistungsschwäche
- Bei chronischer Nierenerkrankung: Polyurie
, Nykturie - Bei akuter Nierenschädigung
: Oligurie /Anurie
- Verlauf:
- Kopfschmerzen
, Schlafstörungen - Urämischer Hautkolorit (grau-gelb), Pruritus
- Kopfschmerzen
- Spätstadium:
- Exsikkose
mit Hypotonie und gleichzeitiger Ödemneigung (peripher, Lunge ) - Neurologische Symptome (Verwirrtheit, Krampfanfälle)
- Gastrointestinale Störungen (Übelkeit, Erbrechen)
- Arterielle Hypertonie
, Herzinsuffizienz
- Exsikkose
Diagnostik:
- Anamnese: Symptome, Vorerkrankungen (Diabetes
, Hypertonie), Dauermedikation, Dialysepflichtigkeit - Körperliche Untersuchung: Ödeme
, Exsikkose (stehende Hautfalten) - Vitalparameter: Hypo- oder Hypertonie
, EKG (Herzrhythmusstörungen, Hyperkaliämiezeichen) - Labor: Kreatinin
, Harnstoff , Elektrolyte (v. a. Kalium ), Säure-Basen-Status - Sonographie: Nierenmorphologie, Harnstau
Maßnahmen im Einsatz
- Bedarfsgerechte Volumentherapie (abhängig von prärenaler vs. kardialer Ursache)
- Monitoring von Vitalparametern
- Transport in ein Krankenhaus mit internistischer/nephrologischer Kompetenz und Dialysemöglichkeit
AchtungBei einer chronischen Nierenerkrankung kann es im Verlauf zur Notwendigkeit einer Dialysebehandlung
kommen.
Komplikationen / Besonderheiten
- Gefahr des terminalen Nierenversagens → Dialyse
oder Transplantation notwendig - Hyperkaliämie
und metabolische Azidose → Risiko lebensbedrohlicher Arrhythmien - Blutungsneigung (Thrombozytenfunktionsstörung
) - Renale Anämie
(Erythropoetin-Mangel) - Renale Osteopathie (gestörter Kalzium
-Phosphat -Stoffwechsel) - Kardiovaskuläre Komplikationen: arterielle Hypertonie
, Linksherzhypertrophie , Herzinsuffizienz , erhöhtes Risiko für kardiovaskuläre Ereignisse
Quellen
- Koch, S., Kuhnke, R., retten - Notfallsanitäter, Thieme, 2023, ISBN: 978-3132421219
- Dietrich, J., Pschyrembel online: Harnverhalt, Stand 06/2016 (Zugriff am 30.07.2025)
- Miernik, A., Pschyrembel online: Harnwegsinfekt, Stand 11/2022 (Zugriff am 30.07.2025)
- Pschyrembel Redaktion, Pschyrembel online: Priapismus, Stand 10/2019 (Zugriff am 30.07.2025)
- Krause, U., Pschyrembel Redaktion, Pschyrembel online: Phimose, Stand 09/2024 (Zugriff am 31.07.2025)
- Krause, U., Pschyrembel online: Paraphimose, Stand 09/2024 (Zugriff am 31.07.2025)
- Eschrer, M., Pschyrembel Redaktion, Pschyrembel online: Hämaturie, Stand 11/2022 (Zugriff am 04.08.2025)
- Pschyrembel Redaktion, Psychrembel online: Penisruptur, Stand: 10/2019 (Zugriff am 02.08.2025)
- Pschyrembel Redaktion, Pschyrembel online: Fournier-Gangrän, Stand 11/2023 (Zugriff am 04.08.2025)


