Prinzip: Aufbringen eines spezifischen Substrats auf den Gewebeschnitt; Umwandlung durch vorhandene Enzyme in ein unlösliches Farbreaktionsprodukt
Darstellung: Unter dem Mikroskop werden Lokalisation und – anhand der Färbeintensität – der Grad der Enzymaktivität sichtbar
Präparation: Meist Untersuchung an Frischgewebe (Gefrierschnitten), da Fixierung Enzyme inaktiviert; einige Reaktionen auch an fixiertem Gewebe möglich
Polyklonale Antikörper: meist durch Immunisierung von Tieren gewonnen (heterogene Antikörperpopulation gegen verschiedene Epitope eines Antigens)
Monoklonale Antikörper: ursprünglich durch Hybridomzellkulturen hergestellt, heute auch gentechnologisch produziert (spezifisch gegen ein einzelnes Epitop)
Nachweismethoden:
Direkte Methode: Primärantikörper ist selbst mit einem Marker (z. B. Enzyme wie Horseradish peroxidase (HRP) oder Fluoreszenzfarbstoff) gekoppelt
Indirekte Methode: Unmarkierter Primärantikörper + markierter Sekundärantikörper → Signalverstärkung Bsp.: ABC-Methode (Avidin-Biotin-Complex): Biotinylierter Sekundärantikörper bindet an Primärantikörper, anschließend bindet ein Avidin-Biotin-Enzym- Komplex → starke Signalverstärkung
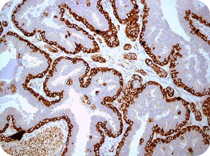
Beispiele: Differenzierung von morphologisch ähnlichen Zelltypen anhand unterschiedlicher Antigene (z. B. endokrine Zellen), Tumordiagnostik, Subtypisierung von Leukämien und Lymphomen, Nachweis von Hormon- oder Wachstumsfaktor-Rezeptoren
Bitte einloggen
Damit wir Dir weiterhin Inhalte in hoher Qualität bieten können, ist dieser Teil des Artikels nur für registrierte Nutzer:innen zugänglich. Logge dich ein oder teste Mediknow jetzt kostenlos.
Zuletzt aktualisiert am 10.10.2025
Vorheriger Artikel
Blutentnahme Reihenfolge
Nächster Artikel
Histologische Färbungen
Deine Medizin-Lernplattform
Jetzt weiterlesen
Zugang zu diesem und über 800 weiteren leitlinienbasierten Artikeln, unserem einzigartigen medizinischen AI-Tutor und Quiz