Einleitung
Der tiefste Punkt der freien Bauchhöhle liegt sowohl beim Mann als auch bei der Frau im kleinen Becken. Beide Punkte unterscheiden sich jedoch anatomisch, in ihren Ausprägungen und Bezeichnungen.
Bei aufrechter Haltung sammelt sich die Flüssigkeit der Schwerkraft folgend hier bevorzugt.
Anatomie bei der Frau
Bei der Frau liegt der tiefste Punkt zwischen Uterus und Rektum

Eine geringe Flüssigkeitsmenge im Douglas-Raum kann bei Frauen im gebärfähigen Alter physiologisch sein, etwa in der Zeit um den Eisprung
Im Rahmen des eFAST
Anatomie beim Mann
Beim Mann wird der tiefste Punkt der Bauchhöhle als Excavatio rectovesicalis oder auch als Proust-Raum bezeichnet, also der Raum zwischen Harnblase und Rektum

Im Gegensatz zur Frau ist beim Mann freie Flüssigkeit in der Excavatio rectovesicalis fast immer pathologisch. Sie tritt typischerweise bei intraabdominellen Blutungen, Harnleckagen oder entzündlichen Erkrankungen auf.
Durch seine anatomische Lage ist der Raum auch bei geringer Flüssigkeitsmenge sensitiv nachweisbar, was ihn zu einem wichtigen diagnostischen Areal in der Notfallsonographie macht.
Bei leerer Harnblase liegt der Peritonealüberzug relativ flach an und die Excavatio ist kaum ausgeprägt.
Bei gefüllter Blase
Durchführung der Untersuchung
Ziel: Nachweis freier Flüssigkeit im tiefsten Teil der Bauchhöhle, da sich hier auch kleinste intraperitoneale
Schritt 1: Sondenwahl und Position - Zugangspunkt

- Sonde: Konvex
- Rückenlage
- Position: Direkt suprapubisch
- Ausrichtung:
- Longitudinal: Marker nach kranial
- Transversal: Marker nach rechts
- Die Sonde wird flach angesetzt, um das Blasenfenster optimal zu nutzen (Sonde ggf. etwas dorsal kippen, bis Harnblase vollständig erscheint)
- Eine gut gefüllte Harnblase erleichtert die Untersuchung

Figure 2 aus Vázquez Martínez, J.L., Quiñones Coneo, K.L., Villegas, T.V. et al. Applicability of a modified EFAST protocol (r-EFAST) to evaluate hemodynamically unstable patients after percutaneous cardiac intervention. Crit Ultrasound J 9, 12 (2017). https://doi.org/10.1186/s13089-017-0070-3. Teilausschnitt des Originalbilds.
Schritt 2: Anatomische Leitstrukturen - Orientierung
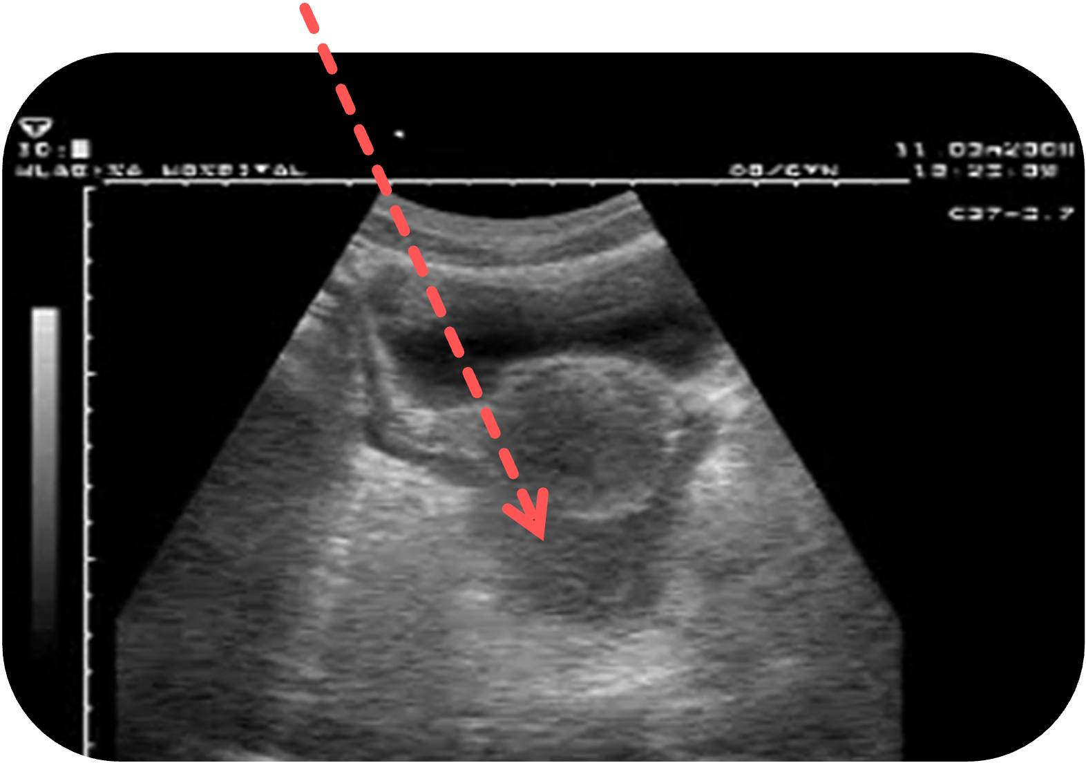
Orientierung bei der Frau:
- Harnblase als zentrales Schallfenster
- Uterus dorsal der Blase
- Douglas-Raum zwischen Uterus und Rektum
(siehe roter Pfeil) - Rektum

Figure 1 aus Bourcier, JE., Gallard, E., Redonnet, JP. et al. Diagnostic performance of abdominal point of care ultrasound performed by an emergency physician in acute right iliac fossa pain. Crit Ultrasound J 10, 31 (2018). https://doi.org/10.1186/s13089-018-0112-5. Es wurden der rote Pfeil und die Beschriftungen (Harnblase, Uterus und Rektum) hinzugefügt.
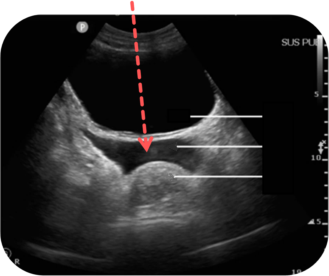
Orientierung beim Mann:
- Harnblase ebenfalls als Fenster
- Rektovesikaler Raum direkt dorsal der Blase
(siehe roter Pfeil) - Rektum
AchtungWird die Sonde zu weit nach kaudal gekippt, können die Samenbläschen mit freier Flüssigkeit verwechselt werden! (siehe folgende Abschnitte)

Figure 2 aus Fasseaux, A., Pès, P., Steenebruggen, F. et al. Are seminal vesicles a potential pitfall during pelvic exploration using point-of-care ultrasound (POCUS)?. Ultrasound J 13, 14 (2021). https://doi.org/10.1186/s13089-021-00209-7. Es wurden der rote Pfeil und die Beschriftungen hinzugefügt.
Schritt 3: Suche nach freier Flüssigkeit
Typischer Befund:
Eine anechore, unbewegliche Flüssigkeitssichel dorsal des Uterus bzw. dorsal der Blase
Bereits geringe Mengen sammeln sich hier zuverlässig, da es sich um den tiefsten intraperitonealen
Frau:
Im Douglas-Raum, oft keilförmig

Screenshot aus Additional file 8 aus Heller, T., Wallrauch, C., Goblirsch, S. et al. Focused assessment with sonography for HIV-associated tuberculosis (FASH): a short protocol and a pictorial review. Crit Ultrasound J 4, 21 (2012). https://doi.org/10.1186/2036-7902-4-21. Es wurde der rote Pfeil ergänzt.
Mann:
Im rektovesikalen Raum, direkt

Figure 3 aus Fasseaux, A., Pès, P., Steenebruggen, F. et al. Are seminal vesicles a potential pitfall during pelvic exploration using point-of-care ultrasound (POCUS)?. Ultrasound J 13, 14 (2021). https://doi.org/10.1186/s13089-021-00209-7. Es wurde der rote Pfeil ergänzt.
Schritt 4: Anwendung kleiner Bewegungsvariationen
Beim sanften Kippen der Sonde bleibt freie Flüssigkeit statisch, während Blase
Praxisnahe Tipps:
- Eine moderat gefüllte Harnblase verbessert die Darstellung deutlich
- Bei überlagerten Darmluftartefakten Sonde minimal kaudal oder kranial variieren
- Longitudinal- und Transversalblick stets kombinieren, um auch seitliche Einsenkungen zu erfassen
- Bei adipösen Patient:innen Sonde ggf. nach kaudal kippen oder leicht gegen die Symphyse drücken, um den Winkel zum Beckenboden zu optimieren
Normalbefund bei der Frau
Im Normalbefund zeigt sich der Douglas-Raum als schmaler, echoarmer Spaltraum ohne erkennbare Flüssigkeit. Der Uterus ist ventral davon klar abgegrenzt sichtbar, meist mit homogener Echostruktur des Myometriums und einer regelmäßig aufgebauten Endometriumschicht.
Das Rektum
Eine geringe Menge an freier Flüssigkeit kann beim weiblichen Zyklus

Figure 1 aus Bourcier, JE., Gallard, E., Redonnet, JP. et al. Diagnostic performance of abdominal point of care ultrasound performed by an emergency physician in acute right iliac fossa pain. Crit Ultrasound J 10, 31 (2018). https://doi.org/10.1186/s13089-018-0112-5. Es wurden die farbigen Markierungen und Beschriftungen des rechten Bildes ergänzt.
Gelegentlich können sich auch funktionelle Ovarialzysten in der Nähe des Douglas-Raums abzeichnen, die meist glatt begrenzt, rundlich und anechogen sind.
Ebenso kann die Darstellung der Uterusbewegung beim Atemzyklus helfen, den physiologischen Flüssigkeitssaum von pathologischen Ansammlungen zu unterscheiden.
Entscheidend ist die Beurteilung im Kontext des Zyklus und der Klinik: Eine geringe freie Flüssigkeitsmenge bei einer ansonsten unauffälligen Sonographie ist häufig normal, während größere oder deutlich echogene Flüssigkeitsmengen, insbesondere mit septierten Anteilen, weiter abgeklärt werden müssen.
Freie Flüssigkeit bei der Frau
Freie Flüssigkeit im Douglas-Raum der Frau ist ein häufiger sonographischer Befund und kann sowohl physiologisch als auch pathologisch sein.
Pathologische Ursachen sind vielfältig und reichen von entzündlichen Prozessen (z. B. Adnexitis
In diesen Fällen kann die Flüssigkeit zunehmend inhomogen, echoreich oder mit Koagelstrukturen durchsetzt sein.

Screenshot aus Additional file 8 aus Heller, T., Wallrauch, C., Goblirsch, S. et al. Focused assessment with sonography for HIV-associated tuberculosis (FASH): a short protocol and a pictorial review. Crit Ultrasound J 4, 21 (2012). https://doi.org/10.1186/2036-7902-4-21. Es wurden die farbigen Markierungen und Beschriftungen ergänzt.
Auch bei intraabdominellen Blutungen (z. B. Milzruptur) oder Aszites
Im Rahmen des eFAST
Entscheidend ist, Echogenität, Menge und Verteilung der freien Flüssigkeit stets im klinischen Kontext zu interpretieren. Lässt sich zusätzlich freie Flüssigkeit im Morison- oder Koller-Pouch nachweisen (ggf. nach Lagerungsänderung des/der Patient:in), besteht ein hochgradiger Verdacht auf einen pathologischen Befund.
Normalbefund beim Mann
Im Normalbefund zeigt sich der Proust-Raum als ein schmaler, echoarmer Spaltraum zwischen Harnblase und Rektum
Die Harnblase erscheint anterokaudal als glatt begrenzte, echoarme Struktur, während das Rektum
AchtungWird die Sonde zu weit nach kaudal gekippt, können die Samenbläschen mit freier Flüssigkeit verwechselt werden!

Figure 2 aus Fasseaux, A., Pès, P., Steenebruggen, F. et al. Are seminal vesicles a potential pitfall during pelvic exploration using point-of-care ultrasound (POCUS)?. Ultrasound J 13, 14 (2021). https://doi.org/10.1186/s13089-021-00209-7. Die Bilder wurden zugeschnitten. Es wurden teilweise die Markierungen und Beschriftungen ergänzt.
a: Blase
Die Samenbläschen stellen sich in der Regel als symmetrische, scharf begrenzte ovale Strukturen dar. Die Lage direkt oberhalb der Prostata ist ein wichtiges Unterscheidungskriterium gegenüber freier Flüssigkeit, die hier in der Regel nicht vorkommt.
Zur besseren Unterscheidung ist die longitudinale Achse sehr hilfreich. Insbesondere, wenn eine unzureichende Blasenfüllung vorliegt, kann man in dieser Schnittebene Harnblase und Rektum
Freie Flüssigkeit beim Mann
Freie Flüssigkeit im Proust-Raum (Excavatio rectovesicalis) beim Mann ist immer als pathologisch zu werten und erfordert in nahezu jedem Fall eine weitergehende Diagnostik.
In der Sonographie zeigt sich freie Flüssigkeit typischerweise als anechogene oder echoarme Zone zwischen Harnblase und Rektum
In Abhängigkeit von der Zusammensetzung kann die Flüssigkeit auch inhomogene oder echoreiche Anteile aufweisen, etwa bei Blutungen oder infektiösem Exsudat

Figure 3 aus Fasseaux, A., Pès, P., Steenebruggen, F. et al. Are seminal vesicles a potential pitfall during pelvic exploration using point-of-care ultrasound (POCUS)?. Ultrasound J 13, 14 (2021). https://doi.org/10.1186/s13089-021-00209-7. Es wurden teilweise die Markierungen und Beschriftungen ergänzt.
Der Proust-Raum ist der tiefste intraperitoneale
Zu den häufigsten Ursachen zählen intraabdominelle Traumata mit Blutungen (z. B. Leber

