Meningitisbezeichnet eine Entzündung der weichen Hirnhäute (Pia mater und Arachnoidea mater), meist durch infektiöse Ursachen (bakteriell, viral, mykotisch, parasitär) bedingt. Sie kann isoliert auftreten oder im Rahmen einer Meningoenzephalitis (Mitbeteiligung des Hirngewebes) oder Meningoradikulitis (Mitbeteiligung spinaler Nervenwurzeln) vorkommen.
Obwohl die meisten Meningitiden viral bedingt sind, stellen bakterielle Meningitiden in Industrieländern einen der häufigsten neuroinfektiösen Notfälle dar – mit einer jährlichen Inzidenz von etwa 1–5 Fällen pro 100.000 Einwohner. Häufigste bakterielle Erreger sind Neisseria meningitidis und Streptococcus pneumoniae; virale Meningitiden werden meist durch Enteroviren (z. B. Coxsackie- oder Echoviren) oder Herpesviren (v. a. HSV-2) verursacht.
Die klassische Klinik umfasst hohes Fieber, Kopfschmerzen, Nackensteifigkeit, Erbrechen und Bewusstseinsstörungen; bei Säuglingen und älteren Menschen kann die Symptomatik unspezifisch sein. Komplikationen wie zytotoxisches Hirnödem, Vaskulitis, epileptische Anfälle oder das Waterhouse-Friderichsen-Syndrom können rasch auftreten und erfordern intensivmedizinische Maßnahmen.
Die Diagnostik erfolgt bei jedem Meningitisverdacht primär durch eine Liquorpunktion. Vor der Punktion ist jedoch eine kraniale Bildgebung mittels cCT erforderlich, wenn Hinweise auf einen erhöhten Hirndruck bestehen. Bei bakterieller Meningitis zeigen sich im Liquor typischerweise eine neutrophile Pleozytose, ein erhöhter Proteingehalt und ein erniedrigter Glukosespiegel. Typisch für eine virale Meningitis sind dagegen eine lymphozytäre Pleozytose sowie normale bis leicht erhöhte Proteinwerte und ein meist normaler Glukosewert im Liquor.
Therapeutisch muss bei V. a. bakterielle Meningitis sofort – idealerweise innerhalb der ersten Stunde – mit Blutkulturen, Dexamethason i.v. sowie kalkulierter Antibiotikatherapie (z. B. Ceftriaxon + Ampicillin) begonnen werden, ggf. ergänzt durch Aciclovir bei HSV-Verdacht. Nach Erregernachweis wird die Therapie gezielt angepasst, z. B. Absetzen von Dexamethason bei Nichtnachweis von Pneumokokken. Supportiv wichtig sind Volumengabe, Analgesie, ggf. Atemunterstützung und engmaschige Elektrolytkontrollen zum Ausschluss eines SIADH.
Die Prognose hängt stark vom Erreger, Patient:innenalter und Therapiebeginn ab: Die Letalität liegt bei bakteriellen Formen zwischen 1–30 %, bei HSV-Enzephalitis ohne Therapie bis zu 70 %. Residualsymptome wie Hörverlust, Epilepsie oder kognitive Defizite sind möglich.
Präventiv entscheidend sind Impfungen (Meningokokken B, C, ACWY; Pneumokokken; Hib; FSME), Isolation der Patient:innen für 24 Std nach Therapiebeginn sowie Chemoprophylaxe für enge Kontaktpersonen. Bei Risikogruppen wie Patient:innen mit Asplenie oder Immundefizienz ist die regelmäßige Impfauffrischung essenziell.
Definition
Meningitis =Entzündung der Pia mater und Arachnoidea mater
Meningoenzephalitis = Meningitis + zusätzliche Entzündung des Hirngewebes
Circa 1-10:100.000 Einwohner/Jahr in Industrieländern, meist sporadisch oder in kleinen Clustern auftretend
In Deutschland: invasive Meningokokken-Erkrankungen <0,5:100.000 Einwöhner/Jahr
In Entwicklungsländern deutlich höhere Inzidenzen, z.B. Epidemien mit bis zu 1000/100.000 am Meningitis-Gürtel in Subsahara-Afrika
Saisonalität: grundsätzlich ganzjährig möglich
Meningokokken: Häufungim Winter und Frühjahr (bedingt durch engen Kontakt in Innenräumen)
Neuroborreliose: Häufungim Frühsommer und Frühherbst (bedingt durch Zeckenübertragung bei Aufenthalt im Freien in Endemiegebieten)
Tipp
Bei Reiserückkehrer:innen aus dem afrikanischen Meningitisgürtel mit Fieber sollte neben anderen tropischen Infektionen wie Malaria stets an eine epidemische Meningokokken-Meningitis gedacht und gezielt abgeklärt werden.
Info
Dank Impfprogrammen (Haemophilus influenzae Typ b, Meningokokken C, Pneumokokken) und verbesserter Lebensumstände ist die Gesamtinzidenz bakterieller Meningitiden in Industrieländern heute relativ gering. Insgesamt konnte die bakterielle Meningitis weltweit aber noch nicht eliminiert werden.
Virale Meningitis
Altersgipfel: kann in jedem Alter auftreten
Jährliche Inzidenz:
Circa 20:100.000 Einwohner/Jahr
Saisonalität: Häufung in den Sommermonaten
Enteroviren: Häufung im Spätsommer und Herbst
FSME: Häufung im Sommer (bedingt durch Zeckenübertragung bei Aufenthalt im Freien in Endemiegebieten)
Merke
Virale Meningitis tritt mit circa 20 Fällen pro 100.000 Einwohner pro Jahr mindestens doppelt so häufig auf wie bakterielle Meningitis (1–10:100.000/Jahr). Sie verläuft jedoch in der Regel mild und heilt bei immunkompetenten Patient:innen meist selbstlimitierend ohne bleibende Schäden aus.
Info
Exkurs: Saisonale Unterschiede bei zeckenübertragenen Erkrankungen: FSME und Neuroborreliose
Die Frühsommer-Meningoenzephalitis (FSME) manifestiert sich überwiegend in den Sommermonaten (Juni bis August). Dies liegt daran, dass FSME-Viren im Speichel der Zecke vorhanden sind und bereits zu Beginn des Saugakts übertragen werden. Eine lokale Primärinfektion tritt dabei nicht auf – die Viren gelangen direkt in den Blutkreislauf und verursachen nach einer kurzen Inkubationszeitvon etwa 7–14 Tagen systemische Symptome. Daher treten Krankheitszeichen typischerweise schnell nach einem Stich in der Hauptsaison der Zeckenaktivität auf.
Die Neuroborreliose als neurologische Spätmanifestation der Lyme-Borreliose tritt demgegenüber häufiger im Frühsommer (Mai/Juni) und Frühherbst (September) auf. Die ursächlichen Borrelien befinden sich im Mitteldarm der Zecke und benötigen mindestens 12–24 Stunden zur Migration in die Speicheldrüsen, bevor sie übertragen werden können. Im Gegensatz zur FSME geht der Borrelieninfektion meist eine lokale Primärinfektion in Form des Erythema migransvoraus. Zusätzlich kann es Wochen bis Monate dauern, bis sich neurologische Symptome zeigen. Diese verzögerte Transmission, das initiale lokale Stadium und die längere Inkubationszeit erklären die zeitlich versetzte Hauptsaison der Neuroborreliose im Vergleich zur FSME.
Mykotische und parasitäre Meningitis
Mykotisch: Selten, aber bei immungeschwächten Personen relevant (z. B. bei HIV/AIDS, nach Organtransplantation, bei malignen hämatologischen Erkrankungen oder unter Langzeit-Kortikosteroidtherapie)
Parasitär: Sehr selten, meist importiert aus Endemiegebieten oder durch spezifische Exposition sowie bei immungeschwächten Personen
Info
Die COVID-19-Pandemie führte durch Abstands- und Hygieneregeln zu einem starken Rückgang anderer Infektionskrankheiten. In Deutschland sank z.B. die Zahl der invasiven Meningokokken- und Pneumokokken-Erkrankungen im Jahr 2020 um 40-50% gegenüber Vorjahren. Nach Aufhebung der Maßnahmen sind diese Zahlen aber wieder angestiegen.
Bitte einloggen
Damit wir Dir weiterhin Inhalte in hoher Qualität bieten können, ist dieser Teil des Artikels nur für registrierte Nutzer:innen zugänglich. Logge dich ein oder teste Mediknow jetzt kostenlos.
Ursachen
Virale Erreger stellen die häufigste Ursache einer infektiösen Meningitis dar, gefolgt von bakteriellen Erregern wie Pneumokokken und Meningokokken. Deutlich seltener sind mykotische und parasitäre Meningitiden sowie spezielle bakterielle Formen wie die Neuroborreliose und tuberkulöse Meningitis.
Bakterielle Meningitis
Häufigste Erreger:
Neisseria meningitidis (Meningokokken; gramnegative Diplokokken), in Europa insbesondere Meningokokken B
Listeria monocytogenes (grampositive Stäbchen), v. a. bei älteren und immungeschwächten Patient:innen
Info
Haemophilus influenzae Typ b (Hib; gramnegative Stäbchen) war vor Einführung der Impfung eine der häufigsten Ursachen bakterieller Meningitis im Kleinkindalter. Durch hohe Impfquoten ist die Erkrankung heute selten, stellt jedoch bei Ungeimpften weiterhin eine potenziell lebensbedrohliche Gefahr dar.
Akuter Verlauf (Std.-Tage) mit ausgeprägter Symptomatik
Oft verbunden mit fokal-neurologischer Klinik
Nicht-eitrige (seröse) Meningitis
Tuberkulöse Meningitis
Mykobakterium tuberculosis-Komplex
Immunsuppression
Migration aus Endemiegebieten
Aerogene Primärinfektion (meist Lunge) → Hämatogene Streuung ins ZNS
Subakuter bis chronisch-progredienter Verlauf
Häufig mit Hirnnervenparesen
Hohes Risiko für Hirninfarkte und Liquorzirkulationsstörung
Basale Meningitis
Unbehandelt meist letal
Auftritt bei ca. 1% aller TBC-Infekte
Neuroborreliose:
Borrelia burgdorferi
Zeckenstich
Aufenthalt im Freien in Endemiegebieten
Vektor: Zecke (Ixodes ricinus)
Zeckenstich → lokale Primärinfektion → Hämatogene Streuung ins ZNS
Subakuter Verlauf
Häufig mit Hirnnervenparesen, z.B. Diplegia facialis
Radikulopathien und Bannwarth-Syndrom möglich
Auftritt bei ca. 3-15% aller Lyme-Borreliose-Infekte
Häufungim Frühsommer und Frühherbst
Weitere:
Neurosyphilis
Leptospirose
Brucellose
Info
Bei gesunden Erwachsenen findet sich in etwa 1–5 % der Fälle eine asymptomatische Besiedlung des Nasopharynx mit Meningokokken, bei Pneumokokken liegt die Rate bei etwa 5–10 %. Bei Kindern sind die Besiedlungsraten deutlich höher und können bei Meningokokken bis zu 25 %, bei Pneumokokken sogar bis zu 60 % betragen.
In seltenen Fällen kann sich aus der zunächst asymptomatischen Kolonisation eine invasive Meningitis entwickeln – vor allem bei Ungeimpften, immunsupprimierten oder vorgeschädigten Patient:innen.
Merke
Typische Infektionsquellen einer bakteriellen Meningitis sind hämatogen streuende Infektionen wie Pneumonie, Endokarditis oder HNO-Infektionen (z. B. Sinusitis, Otitis media, Mastoiditis), von denen aus sich die Infektion auf die Meningen ausbreiten kann.
Achtung
Neugeborene sind eine Hochrisikogruppe für bakterielle Meningitis, insbesondere aufgrund ihres unreifen Immunsystems oder möglicher Geburtskomplikationen. Dabei sind häufig andere Erreger ursächlich als bei den anderen Altersgruppen (z.B. Strep. agalacticae oder E. coli).
Tipp
Bei nosokomialer bakterieller Meningitis (z. B. nach neurochirurgischen Eingriffen)ist häufig ein polymikrobielles Spektrum mit multiresistenten Erregern (z. B. MRSA, gramnegative Erreger) zu erwarten – eine frühzeitige mikrobiologische Diagnostik ist hier entscheidend!
Virale Meningitis
Häufigste Erreger:
Enteroviren (z.B. Coxsackie- oder Echoviren): ursächlich für >50% aller viralen Meningitisfälle
Herpesviren, insbesondere HSV-2 als häufigster Erreger der aseptischen Meningitis im Erwachsenenalter!
Meningitisform
Erreger
Risikofaktoren
Infektionsweg
Typische Merkmale
Enteroviren-bedingte Meningitis
Enteroviren (z.B. Coxsackie- oder Echoviren)
Hygienemängel
Enge Gemeinschaftseinrichtungen (Kita, Schule)
Fäkal-orale Schmierinfektion
Meist milder Verlauf, i.d.R. selbstlimitierend
Häufung im Spätsommer/Herbst
Herpesvirus-assoziierte Meningitis
Neurotrope Alpha-Herpesviren (HSV-1/-2, VZV)
Inbesondere HSV-2
Immunsuppression
Stattgehabte HSV-/VZV-Primärinfektion
Schmierinfektion durch Kontakt mit infiziertem Speichel, Bläscheninhalt oder Genitalsekreten (HSV-1/HSV-2) bzw. Tröpfcheninfektion (VZV)
→ Hämatogene Streuung ins ZNS
→ Reaktivierung aus Ganglien → per continuitatem über Axone ins ZNS
Reine HSV-2 Meningitis:
Meist milder Verlauf, i.d.R. selbstlimitierend
Selten rezidivierendeMollaret-Meningitis (benigne lymphozytäre Meningitis, hohe Spontanremissionsrate)
HSV-1-Enzephalitis:
Akuter Verlauf (Std. - wenige Tage) mit fulminanter Klinik und hoher Letalität ohne Therapie
Häufig epileptische Anfälle und psychiatrische Symptome
Meist unilaterale Läsionen im mesialen Temporallappen und limbischen System, z.T. hämorrhagisch
Arborvirale Meningoenzephalitis (Vektor-bedingt)
FSME-Virus
Zeckenstich
Aufenthalt im Freien in Endemiegebieten
Immunschwäche
Fehlender oder unvollständiger Impfschutz
Vektor: Zecke (Ixodes ricinus)
Zeckenstich → Hämatogene Streuung ins ZNS
Zweiphasiger Verlauf:
1. Unspezifische Klinik mit Fieber
2. Meningitis, Meningoenzephalitis oder Meningoenzephalomyelitis
Bei Erwachsenen häufiger schwere Klinik
Häufung im Sommer
Weitere:
West-Nil-Virus
Seltene respiratorisch oder systemisch assoziierte Viren
Influenzavirus
Mumpsvirus
Masernvirus
Lymphotrope Herpesviren:
Epstein-Barr-Virus (EBV; Gamma-Herpesvirus)
Cytomegalievirus (CMV; Beta-Herpesvirus)
Info
Herpes-simplex-Viren (zugehörig zu den neurotropen Alpha-Herpesviren) verbleiben nach Erstinfektion in einem latenten Zustand in sensorischen Ganglien – HSV-1 bevorzugt im Ganglion trigeminale, HSV-2 in den Sakralganglien. Bei Reaktivierung kann HSV-2 eine lymphozytäre Meningitis verursachen, die typischerweise bei immunkompetenten Erwachsenen auftritt und meist mild verläuft. In seltenen Fällen treten rezidivierende, meist milde Meningitis-Episoden auf, die als Mollaret-Meningitis bezeichnet werden und sich durch spontane Remissionen sowie lange symptomfreie Intervalle über Jahre hinweg auszeichnen. HSV-1 ist primär für die herpetische Enzephalitis verantwortlich – eine akut fulminante, potenziell lebensbedrohliche Entzündung der Temporallappen – und kann dabei auch eine Begleitmeningitis auslösen; eine isolierte HSV-1-Meningitis ist jedoch selten.
Bei Neugeborenen ist eine HSV-Infektion besonders gefährlich und kann durch eine vertikale Übertragung unter Geburt entstehen, meist bei einer mütterlichen Primärinfektion. Hier ist HSV-2 die häufigere Ursache, kann aber ebenso wie HSV-1 zu einer disseminierten Infektion, einer Enzephalitis oder einer isolierten Meningitis führen. Unbehandelt ist die Prognose in diesen Fällen sehr ungünstig.
Mykotische und parasitäre Meningitis
Häufigste Erreger: Cryptococcus neoformans (mykotisch) bzw. Toxoplasma gondii (parasitär)
Meningitisform
Erreger
Risikofaktoren
Infektionsweg
Typische Merkmale
Mykotisch
Kryptokokken-Meningitis
Cryptococcus neoformans
Immunschwäche, insbesondere HIV & T-Zell-Defekte (CD4+ <100 Zellen/µl)
Z.n. Organtransplantation
Aerogene Primärinfektion (meist Lunge) durch Inhalation von Sporen (ubiquitär vorhanden in Vogelkot, v.a. von Tauben, und Erde)
→ Hämatogene Streuung aus pulmonalem Primärherd ins ZNS
Subakut bis chronisch-progredienter Verlauf mit meist schleichendem Beginn
Z.T. epileptische Anfälle, Hirndruckzeichen
Letalität bei unbehandelter Infektion >30 %
Auch unter Therapie hohes Rezidivrisiko bei schwerer Immunsuppression
Gelatinöse Pseudozysten in den Basalganglien im cMRT
Weitere:
Candida spp.
Aspergillus spp.
Histoplasma capsulatum
Parasitär
Zerebrale Toxoplasmose
Toxoplasma gondii
Katzenkontakt
Primärinfektion der Mutter in Schwangerschaft → Risiko für Fetus
Immunschwäche, insbesondere HIV & T-Zell-Defekte
Orale Aufnahme von Toxoplasma-Oozysten:
Aus Katzenkot bei Putzen von Katzenklo, Gartenarbeit, Essen von ungewaschenem kontaminiertem Obst/Gemüse o.ä.
Durch Verzehr von rohem +/unzureichend gegartem kontaminiertem Fleisch (insbesondere Schaf-, Ziegen-, Schwein- & Wildfleisch)
→ Hämatogene Streuung ins ZNS
Vertikale Übertragung transplazentar von Mutter auf Fetus
Subakut bis chronisch-progredienter Verlauf
Z.T. epileptische Anfälle, Hirndruckzeichen
Multiple ringförmig kontrastmittelanreichernde Läsionen mit perifokalem Ödem in Basalganglien und kortikomedullären Übergängen im cMRT
Weitere:
Naegleria fowleri (Amöbenmeningitis)
Angiostrongylus cantonensis
Taenia solium (Neurozystizerkose)
Tipp
Kryptokokken-Meningitis und zerebrale Toxoplasmose sind typische opportunistische ZNS-Infektionen bei HIV – beide gelten als AIDS-definierende Erkrankungen bei CD4-Zellen <100/μl!
Bitte einloggen
Damit wir Dir weiterhin Inhalte in hoher Qualität bieten können, ist dieser Teil des Artikels nur für registrierte Nutzer:innen zugänglich. Logge dich ein oder teste Mediknow jetzt kostenlos.
Pathologie
Info
Exkurs: Aufbau der Hirnhäute und Pathophysiologie der Meningitis
Die Hirnhäute bestehen aus drei Schichten: der Dura mater (äußere harte Hirnhaut), der Arachnoidea mater (mittlere Spinngewebshaut) und der Pia mater (innerste weiche Hirnhaut). Zwischen Arachnoidea und Pia mater liegt der Subarachnoidalraum, durch den der Liquor cerebrospinalis fließt.
Bei einer Meningitis ist vor allem der Bereich der Leptomeningen (= weiche Hirnhäute; Pia und Arachnoidea mater) betroffen. Die Entzündung breitet sich typischerweise im Liquorraum aus und führt zur Ansammlung von Immunzellen und Erregern im Subarachnoidalraum. Die typischen Symptome resultieren dabei nicht nur aus der Erregerinvasion, sondern vor allem aus der Immunantwort im engen Liquorraum. Erregerbestandteile aktivieren angeborene Immunrezeptoren (z. B. Toll-like-Rezeptoren), was eine ausgeprägte Zytokinfreisetzung und den Einstrom von Immunzellen auslöst. In der Folge kommt es zu Gefäß- und Nervenzellschäden, vermittelt durch proteolytische Enzyme, Stickstoffmonoxid und freie Radikale. Die Blut-Hirn-Schranke wird durchlässiger, wodurch ein vasogenes Hirnödem entstehen kann. Gleichzeitig nimmt die Liquorproduktion zu, während der Abfluss gestört ist – ein erhöhter intrakranieller Druck ist die Folge.
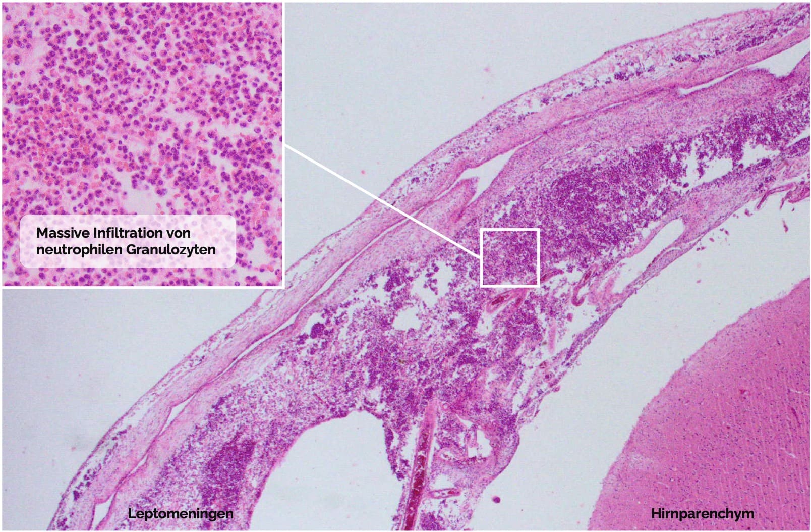
Bakterielle Meningitis
Eitrige (purulente) Form
Pathogenese: Eitrige Entzündung des Subarachnoidalraums mit ausgeprägter neutrophiler Granulozytenreaktion und proteinreichem, trübem Liquor
Erreger: Typische invasive Bakterien, z. B. Pneumokokken, Meningokokken, Haemophilus influenzae Typ b, Listerien
Makroskopie:
Hyperämie, Verdickung und Trübung der Leptomeningen → dadurch kortikale Windungen nicht mehr erkennbar
Eitriges, grünliches Exsudat im Subarachnoidalraum, insbesondere fronto-parietal lokalisiert (→ sog. Haubenmeningitis)
Eventuell Hirnschwellung
Mikroskopie:
Dichte Ansammlung neutrophiler Granulozyten im Subarachnoidalraum und als Infiltrat in den Leptomeningen
Mikroskopischer Befund der eitrigen Form einer bakterieller Meningitis
Nicht-eitrige (seröse) Form
Pathogenese: seröse Entzündung des Subarachnoidalraums mit überwiegend mononukleärer Zellreaktion (insbesodnere Lymphozyten, ggf. Monozyten und Makrophagen)
Erreger: Bestimmte Bakterien mit langsamem Verlauf, z. B. Mycobacterium tuberculosis, Borrelia burgdorferi, Treponema pallidum, Leptospiren, Brucellen
Beispiel: Tuberkulöse Meningitis
Lokalisation: Vorzugsweise an der Hirnbasis (→ basale Meningitis)
Makroskopie:
Basale Meningitis mit gelatinöser Trübung und Spinngewebsgerinnseln im Bereich der Zisternen
Häufig Beteiligung der Hirnnerven
Mikroskopie:
Granulomatöse Entzündung mit verkäsenden Granulomen (→millimetergroße grauweiße knötchenförmige Tuberkulome aus Epitheloidzellen, mehrkernigen Riesenzellen und mit zentrale Nekrose), v. a. entlang der Arterienäste und an Hirnnervenbasen
Mikroskopischer Befund bei tuberkulöser Meningitis
Merke
Insbesondere bei basalen Meningitiden kann es infolge entzündlicher Verklebungen im Bereich der basalen Zisternen – also dort, wo der Liquor aus dem vierten Ventrikel austritt – zu einer Störung des Liquorabflusses kommen, was konsekutiv zur Entwicklung eines kommunizierenden Hydrozephalus führt.
Virale Meningitis
Pathogenese: nicht-eitrige (seröse) Entzündung des Subarachnoidalraums
Makroskopie:
Keine eitrigen Veränderungen
Leptomeningen unauffällig oder leicht getrübt
Ggf. generalisiertes Hirnödem bei schwereren Verläufen
Mikroskopie:
Lymphozytäre Infiltrate in den Meningen, ggf. perivaskuläre Infiltrate im angrenzenden Hirngewebe
Info
Bei HSV-1- (Meningo-) Enzephalitis kann es neben einer begleitenden Meningitis zu einer Enzephalitis kommen, die gekennzeichnet ist durch ausgeprägte Gliose, Mikrogliaaktivierung, neuronalen Zelluntergang sowie hämorrhagisch-nekrotisierende Veränderungen, vor allem in den Temporallappen.
Mykotische und parasitäre Meningitis
Kryptokokken-Meningitis:
Lokalisation: Vorzugsweise an der Hirnbasis
Makroskopie:
Trübung der Leptomeningen, gelatinöse Konsistenz im Bereich der basalen Zisternen
Teils Zystenbildung („gelatinous pseudocysts“) in Basalganglien und Periventrikelregion
Mikroskopie:
Lymphozytäre Infiltrate mit wenigen Entzündungszellen
Schleimreiche Pilzzellen mit dicker Polysaccharidkapsel → Nachweis der Erreger durch Tuschepräparat, PAS oder Grocott-Färbung
Zerebrale Toxoplasmose:
Lokalisation: Vorzugsweise an der Hirnbasis
Makroskopie:
Mehrere zentral nekrotische, weich-liquefizierte Läsionen („Abszesse“) mit gelblich-gräulichem Zentrum und hyperämischem Randsaum typischerweise in Basalganglien, Thalamus und kortikomedullären Übergängen lokalisiert
Häufig ausgeprägtes perifokales Ödem, teils mit hämorrhagischen Randanteilen
Mikroskopie:
Koagulationsnekrose mit umgebender Entzündungsreaktion (Makrophagen, Lymphozyten)
Reaktive Gliose, Mikrogliaaktivierung
Ggf. Nachweis von Tachyzoiten oder Gewebezysten mit Bradyzoiten
Bitte einloggen
Damit wir Dir weiterhin Inhalte in hoher Qualität bieten können, ist dieser Teil des Artikels nur für registrierte Nutzer:innen zugänglich. Logge dich ein oder teste Mediknow jetzt kostenlos.
Klinik
Bakterielle Meningitis
Perakuter bis akuter Krankheitsbeginn (Stunden bis <48 h)
Klinische Trias (nur ca. 50% der Fälle vollständig):
Kopfschmerzen (i.d.R. holozephal, pulsierend oder dumpf, mit zunehmender Intensität)
Akutes, hohes Fieber
Meningismus: Nackensteifigkeit – kann bei quantitativer Bewusstseinsstörung fehlen (!)
Weitere neurologische Symptome:
Photophobie (= Lichtempfindlichkeit)
Erbrechen, Übelkeit
Hirndruckzeichen: z.B. Erbrechen (v. a. ohne Übelkeit),Pupillenveränderungen (z.B. Anisokorie, weite lichtstarre Pupillen)
Bewusstseinsstörung: qualitativ (Verwirrtheit, Desorientiertheit) und quantitativ (Somnolenz, Koma)
Epileptische Anfälle (20–30 %, meist generalisiert)
Fokal-neurologische Defizite: Paresen, Aphasie, Ataxie, Hirnnervenausfälle (insbesondere N. facialis und N. abducens)
Bei Säuglingen und Kleinkindern verläuft eine Meningitis häufig unspezifisch. Klassische Zeichen wie Meningismus fehlen meist. Stattdessen treten Symptome wie Trinkschwäche, schrilles Schreien („Katzenjammer“), Lethargie, Hypotonie und eine gespannte Fontanelle auf.
Wichtig: Bei Fieber oder Sepsiszeichen in diesem Alter muss immer an eine Meningitis gedacht werden – der Verlauf kann rasch und fulminant sein.
Achtung
Bei Meningokokken kann das Bild sehr rasch progredient verlaufen mit Vigilanzstörung, Petechien und Schockzeichen als Warnhinweisen!
Merke
Die klassische Trias aus Fieber, Kopfschmerz und Meningismuszeigt sich nur bei etwa 50 % der Patient:innen vollständig. Zudem schließt ein Fehlen dieser Leitsymptome eine Meningitis nicht aus – insbesondere Säuglinge und ältere Menschen weisen häufig eine atypische Symptomatik (z.B. ohne Meningismus) auf.
Definition
Meningismus ist ein Symptom, bei dem es aufgrund einer Reizung der Hirnhäute (Meningen) zu starken Schmerzen und einer reflektorischen Anspannung der autochtonen Rückenmuskulatur kommt. Der Kopf des/der Patient:in kann bei einem Meningismusnicht mehr nach vorne gebeugt werden. Mit zunehmender Vigilanzminderung kann es zu einem Ausbleiben des Meningismus kommen. Ein Meningismus kann durch eine Entzündung der Hirnhäute (bakterielle oder virale Meningitis), aber auch durch eine Subarachnoidalblutung bedingt sein.
Info
Hirndruckzeichen
Zeichen eines erhöhten intrakraniellen Drucks sind unter anderem eine Vigilanzminderung bis hin zum Koma,Erbrechen ohne vorausgehende Übelkeit, Pupillenveränderungen wie Anisokorie oder weite lichtstarre Pupillen sowie – sofern funduskopisch beurteilbar – ein Papillenödem. Ein Spätzeichen ist die sogenannte Cushing-Trias mit arterieller Hypertonie, Bradykardie und unregelmäßiger Atmung.
Sonderformen:
Tuberkulöse Meningitis:
Schleichender Beginn (subakut-chronisch) mit Kopfschmerzen, Abgeschlagenheit, subfebrilen Temperaturen
Hirnnervenparesen (v. a. III, VI, VII - durch Entzündung der Hirnbasis)
Meningismus meist im späteren Verlauf
Häufig Hirndruckzeichen (durch obstruktiven Hydrozephalus bei meningealen Verklebungen im basalen Liquorraum)
Fokal-neurologische Defizite durch vaskulitische Infarkte, Bewusstseinsstörungen
Unbehandelt meist letal
Neuroborreliose:
Subakuter Verlauf, häufig Wochen nach Zeckenstich
Meningoradikulitis (Bannwarth-Syndrom) mit brennenden radikulären Schmerzen, meist nächtlich betont
Hirnnervenparesen, insbesondere Fazialisparese (oft einseitig, gelegentlich beidseitig → Diplegia facialis)
Lymphozytäre Meningitis mit Kopfschmerzen, Meningismus eher mild ausgeprägt
Sensibilitätsstörungen, evtl. motorische Ausfälle
Bei Kindern: häufig isolierte Fazialisparese oder Meningitis
Seltener Vigilanzminderung als bei bakterieller Meningitis
Eher keine fokal-neurologischen Defizite
Selten epileptische Anfälle (außer bei HSV-1!)
Sonderformen:
Frühsommer-Meningoenzephalitis (FSME): zweiphasiger Verlauf, bei Erwachsenen häufiger schwerere Klinik
1. Prodromalphase: Fieber und unspezifische grippale Beschwerden für ca. 1 Woche
2. Fieberfreies Intervall: 1 bis 21 Tage ohne Symptome
3. Neurologische Phase: Meningitis oder Meningoenzephalitis mit Symptomen wie Nackensteifigkeit, Bewusstseinsstörungen, fokalen neurologischen Defiziten oder epileptischen Anfällen
2. Enzephalitische Phase: Halluzinationen, Wesensveränderung, fokal-neurologische Ausfälle wie Sprachstörungen, epileptische Anfälle (meist fokale Anfälle mit Ursprung im Temporallappen), Hirndruckzeichen, Vigilanzminderung bis hin zum Koma
Merke
Der Verlauf kann bei viraler Meningitis initial mild erscheinen – der Verdacht sollte bei zunehmenden Beschwerden trotzdem konsequent abgeklärt werden.
Achtung
Die Abgrenzung zur Enzephalitis ist klinisch insbesondere bei Säuglingen und Kleinkindern schwierig. Ein zusätzlicher, zerebraler Befall (= Meningoenzephalitis) ist bei Bewusstseinsstörungen, Krampfanfällen und fokalen Defiziten zu vermuten.
Mykotische und parasitäre Meningitis
Langsam progredienter Krankheitsverlauf (subakut bis chronisch, über Wochen bis Monate)
Damit wir Dir weiterhin Inhalte in hoher Qualität bieten können, ist dieser Teil des Artikels nur für registrierte Nutzer:innen zugänglich. Logge dich ein oder teste Mediknow jetzt kostenlos.
Diagnostik
Achtung
Eine bakterielle Meningitisist ein neurologischer Notfall! Schon bei Verdacht müssen sofort Diagnostik und Therapie eingeleitet werden. Jede Verzögerung der Antibiotikagabe verschlechtert die Prognose erheblich (Stichwort „time is brain“).
Anamnese
Typische Klinik:
Trias: Kopfschmerzen + Fieber + Meningismus (kann bei Bewusstseinsminderung ausfallen)
Zeitlicher Verlauf und Dynamik der Symptome: rascher Beginn spricht für bakterielle Meningitis, schleichender Verlauf eher für virale, tuberkulöse oder andere atypische Formen
Hinweis auf fokale Infektionsquelle: z.B. Ohrenschmerzen bei Otitis media, Kopfschmerzen bei Sinusitis, Zustand nach Schädel-Hirn-Trauma oder neurochirurgische OP, einliegender Liquorshunt
Reiseanamnese & Herkunft: wichtiger Hinweis bei exotischen Erregern (z. B. Tbc, Pilze, Parasiten, FSME, West-Nil-Virus)
Kontakt zu Erkrankten: ggf. Endemie-Situation z. B. in WG, Kindergarten, Kaserne – Hinweis auf Meningokokken
Impfstatus: insbesondere Immunität gegen Meningokokken, Pneumokokken, Hib, FSME und Masern
Immunsuppression oder chronische Grunderkrankungen: erhöhtes Risiko für atypische oder verlaufsschwere Formen (z. B. Listerien, Pilze)
Medikamentenanamnese: insbesondere Einnahme oraler Antikoagulantien (z. B. DOAK, VKA), da ggf. eine Antagonisierung vor Lumbalpunktion nötig ist
Achtung
Bei der Symptomkombination von Kopfschmerzen und Fieber sollte stets an eine Meningitis gedacht werden. Ein Meningismus kann bei einer quantitativen Bewusstseinsstörung sowie bei Säuglingen und älteren Menschen ausfallen!
Info
Meningokokken sind hochkontagiös mit einer Sekundärfallrate von bis zu 1 %bei engem Kontakt (z. B. im Haushalt oder bei gemeinsamem Aufenthalt in geschlossenen Räumen). Eine sorgfältige Anamnese zu Aufenthaltsorten, Mitbewohner:innen und dem engen sozialen Umfeld ist essenziell, um relevante Kontaktpersonen frühzeitig zu identifizieren. Diese benötigen innerhalb von 24 Stunden eine postexpositionelle Chemoprophylaxe, um das Risiko einer Weiterverbreitung effektiv zu minimieren.
Körperliche Untersuchung
Monitoring der Vitalparameter:
Temperatur → Fieber
Blutdruck, Herzfrequenz, Atemfrequenz → Hypotonie, Tachykardie oder Tachypnoe als Sepsiszeichen
SpO₂ → Hypoxie bei schwerem Verlauf
Orientierende neurologische Untersuchung:
Prüfung der Vigilanz, Orientierung, Sprache und Motorik
GCS (Glasgow Coma Scale) zur objektiven Einschätzung der Bewusstseinslage
Hirnnervenstatus zur Beurteilung von Hirnnervenausfällen (z. B. bei basaler Meningitis)
Pupillenstatus → Anisokorie, weite lichtstarre Pupillen als Hirndruckzeichen
Untersuchung auf Meningisimuszeichen:
Meningismus (Nackensteifigkeit): reflektorische Anspannung der autochtonen Rückenmuskulatur bei passiver Nackendehnung durch Zug an den entzündeten Meningen
Brudzinski-Zeichen: reflektorische Beugung in Hüfte und Knie bei passiver Nackendehnung in Rückenlage
Lasègue-Zeichen: einschießende Schmerzen bei Anheben des gestreckten Beins >45 Grad im Liegen
Kernig-Zeichen: einschießende Schmerzen bei Kniestreckung bei um 90 Grad gebeugter Hüfte
Makulopapulöse/petechiale Exantheme, Purpura,Hautnekrosen (insb. bei Meningokokken-Sepsis)
Untersuchung auf Infektionsherde:
Ohren & NNH: Ohrenschmerzen und gerötetes/vorgewölbtes Trommelfell bei Otitis media, Klopfschmerz über den Nasennebenhöhlen und ggf. Druckdolenz bei Sinusitis
Lunge: Rasselgeräusche und ggf. gedämpfter Klopfschall bei Pneumonie
Herz: neu aufgetretenes oder verändertes Herzgeräusch und ggf. periphere Emboliezeichen (z. B. Petechien, Janeway-Läsionen) bei infektiöser Endokarditis
Schädel & Wirbelsäule: sichtbare Operationsnarbe, Liquorshunts, traumatische Läsionen, ggf. Zeichen einer posttraumatischen Infektion (z. B. Druckschmerz, Rötung)
Untersuchung der Fontanelle bei Säuglingen: gespannte oder vorgewölbte Fontanelle als indirektes Zeichen eines erhöhten intrakraniellen Drucks
Merke
Merkspruch: “Ohren, Sinus, Lunge, Herz, Wirbelsäule und Kopf – sechs Herde, die du bei Meningitis im Blick haben musst!”
Prüfung auf Meningismus
Bragard-Test
Lasègue-Test
Labor
Sofortige Entnahme von Blutkulturen
Entnahme von mindestens 2 Paaren Blutkulturen (aerob + anaerob) –Durchführung vor Einleitung der antibiotischen Therapie und aus verschiedenen Punktionsstellen, um eine Kontamination der Blutkulturflaschen zu identifizieren!
Tipp
Der Erregernachweis erfolgt in der Regel nach 2–3 Tagen, spätestens nach 5 Tagen werden negativ gebliebene Kulturen als steril gewertet. Eine kalkulierte antiinfektive Therapie sollte bei klinischem Verdacht auch ohne vorliegenden Erregernachweis eingeleitet werden.
Serum:
Kleines Blutbild: Anämie, Leukozytose oder Leukopenie, Thrombozytopenie (z. B. bei DIC oder septischem Verlauf)
Entzündungsparameter:
CRP (unspezifisch, auch nach einer Schädigung von Gewebe, z.B. nach einer Operation, erhöht)
Procalcitonin (PCT; hochsensitiv und spezifisch für bakterielle Infektionen)
Elektrolyte, Blutzucker
Organfunktionsparameter: Kreatinin, Harnstoff, GFR, AST, ALT, GGT, CK – zur Beurteilung der Multiorganbeteiligung bei septischem Verlauf
Gerinnung: PTT, INR, Quick – Prüfung vor Lumbalpunktion (!), ggf. Hinweis auf DIC bei Sepsis
Laktat: Indikator für Gewebe-Hypoxie und Schweregrad der Sepsis
Blutgasanalyse (BGA): zur Einschätzung des respiratorischen und metabolischen Status
Ggf. Virusserologie oder PCR: bei V. a. virale Meningitis oder bei negativem bakteriellen Erregernachweis (z. B. HSV, VZV, Enteroviren, FSME)
Tipp
Vor jeder Lumbalpunktion müssen Gerinnungsparameter und Thrombozytenzahl kontrolliert werden – bei nachgewiesener Gerinnungsstörung oder einer Thrombozytenzahl unter 50.000/µL ist die Punktion kontraindiziert, da das Risiko einer spinalen Blutung besteht.
Bildgebung
cCT & CT der Nasennebenhöhlen: Ausschluss eines erhöhten Hirndrucks vor einer möglichen Lumbalpunktion & Fokussuche (z. B. bei chronischer Sinusitis oder Mastoiditis), je nach Befund ggf. HNO-konsiliarische oder neurochirurgische Mitbeurteilung
Indikation: bei klinischen Hirndruckzeichen (z.B. Vigilanzstörung, fokal-neurologische Ausfälle, Pupillenveränderungen, Krampfanfälle)
cMRT: zur Abklärung möglicher Komplikationen (z. B. Hirnödem, Infarkt, Abszess, Hydrozephalus) oder bei kontraindizierter Lumbalpunktion – insbesondere bei unklarem klinischen Bild oder protrahiertem Verlauf
Höhere Sensitivität als CT – insbesondere zur Darstellung einer begleitenden Enzephalitis, Hirnabszesse, Hirnnervenbeteiligung, Hydrozephalus, Sinus-/Venenthrombosen oder entzündlicher Veränderungen der Meningen (→Kontrastmittelanreicherung)
Sonografie der Fontanelle bei Säuglingen: zum Ausschluss eines Hydrozephalus oder erhöhten Hirndrucks bei offener Fontanelle
Achtung
Falls eine Bildgebung vor LP nötig ist, sollten Blutkulturen entnommen und Antibiotika plus Dexamethason bereits vorher begonnen werden!
Info
Erregerspezifische Hinweise im cMRT
Eine Herpes-simplex-Enzephalitis zeigt typischerweise unilateral-betonte T2/FLAIR-Hyperintensitäten im mesialen Temporallappen und limbischen System, teils mit hämorrhagischen Anteilen. Bei tuberkulöser Meningitis finden sich oft kontrastmittelanreichernde Veränderungen in den basalen Zisternen, kombiniert mit Hydrozephalus und ischämischen Infarkten durch entzündliche Gefäßbeteiligung. Eine Kryptokokkenmeningitis kann insbesondere bei immunsupprimierten Patient:innen gelatinöse Pseudozysten in den Basalganglien hervorrufen. Die zerebrale Toxoplasmose weist typischerweise multiple ringförmig kontrastmittelanreichernde Läsionen mit perifokalem Ödem in Basalganglien und kortikomedullären Übergängen auf. VZV und invasive Mykosen wie Aspergillosen gehen häufig mit multiplen Infarkten oder hämorrhagischen Läsionen einher, bedingt durch vaskulitische oder angioinvasive Prozesse.
Befall des Temporallappens und des limbischen Systems bei HSV-Enzephalitis
Liquoranalyse
Lumbalpunktion:
Erst nach Ausschluss eines erhöhten Hirndrucks im cCT und bei unauffälligen Gerinnungsparametern (INR <1,7, pTT <50 Sekunden & Thrombozyten >50.000/μl)
Untersuchung des Liquors:
Basisdiagnostik:
Zellzahl und Differenzierung der Zellart
Neutrophile Dominanz: typisch für bakterielle Meningitis
Lymphozytäre Dominanz: typisch für virale, tuberkulöse oder mykotische Meningitiden
Eosinophile Dominanz: typisch für parasitäre Meningitis
Gesamtprotein im Liqor und Serum (→ Bestimmung QAlb = Liquor/Serum-Albumin-Quotient) → bei Erhöhung Hinweis auf Blut-Hirn-Schrankenstörung
Glukose im Liquor und im Serum (→ Bestimmung Liquor/Serum-Glukose-Quotient) → bei Erniedrigung Hinweis auf vermehrten Glukoseverbrauch durch Erreger und Immunzellen
Laktat → bei Erhöhung Hinweis auf hypoxischem Stoffwechsel (typisch bei bakterieller Meningitis)
Mikrobiologische Diagnostik:
Gram-gefärbtes Sofortpräparat des Liquors: Nachweis von z.B. gramnegative Diplokokken als Hinweis auf eine Meningokokken-Meningitis → sofortige Isolierung der Patient:innen erforderlich (!)
Liquorkulturen: anhand von nativem Liquor und von Liquor in Blutkulturflaschen
Antigen-Schnelltest: z. B. auf Pneumokokken oder Haemophilus influenzae Typ b
PCR-Diagnostik: insbesondere bei lymphozytärer Pleozytose im Liquor zur Abklärung viraler Erreger (HSV-1/-2, VZV, Enteroviren, CMV etc.)
Zusätzliche Spezialuntersuchungen (je nach Verdacht):
TB-PCR und Ziehl-Neelsen-Färbung bei V. a. tuberkulöse Meningitis
Borrelien-Antikörper (in Serum und Liquor) bei V. a. Neuroborreliose
VDRL-Test/TPPA bei V. a. Neurosyphilis
Kryptokokken-Antigen bei immunsupprimierten Patient:innen (z. B. HIV)
BruceBlaus. When using this image in external sources it can be cited as:Blausen.com staff (2014). "Medical gallery of Blausen Medical 2014". WikiJournal of Medicine 1 (2). DOI: 10.15347/wjm/2014.010. ISSN 2002-4436., CC BY 3.0, https://creativecommons.org/licenses/by/3.0, via Wikimedia Commons Die Abbildung ist ein Derivat der oben genannten Abbildung. Die Abbildung wurde zugeschnitten.
Diagnostik
Normal-befund
bakterielle Menigitis
Tuberkulöse Menigitis
Neuro-borreliose
Virale Menigitis
Mykotische Meningitis
Parasitäre Menigitis
Aussehen
Klar
Eitrig, trüb
Klar, mit Spinnengewebsgerinnseln
Klar
Klar
Klar oder trüb
Meist klar
Zytologie
Vereinzelt Lymphozyten und Monozyten
Neutrophile Granulozyten
Buntes Zellbild aus Lymphozyten, Monozyten, Granulozyten
Lymphozyten
Lymphozyten, Monozyten
Lymphoyzten oder gemischt (Lymphozyten, Monozyten, teils Granulozyten)
Eosinophile Granulozyten
Liquorzellzahl/μl
<5/μl
↑↑↑(>1.000/μl; massiv erhöht!)
30–500/μl
100–500/μl
10–500/μl
20–500/μl
10-500/μl
Glukose
Gesamtglukose im Liquor (mg/dl) bzw. Liquor/Serum-Glukose-Quotient
60-80 mg/dl bzw. >0,5
↓↓ (<30 mg/dl bzw. <0,5)
↓↓
Normal
Normal
Normal (oder leicht ↓)
Normal (oder leicht ↓)
Laktat
Laktat im Liquor (mmol/L)
0,9-2,7 mmol/l
↑↑↑ (>3,5 mmol/l; stark erhöht)
↑↑
Normal
Normal
↑↑
Normal (oder leicht ↑)
Protein
Gesamtprotein im Liquor (mg/dl) bzw. QAlb
<50 mg/dl bzw. <0,005-0,008 (je nach Alter)
↑↑↑ (>100 mg/dl bzw. >0,01–0,02 schwere Schrankenstörung)
Die Antibiotikatherapie kann den Liquorbefund verfälschen, da sie bereits vor der Lumbalpunktion Erreger reduziert und entzündliche Veränderungen abschwächt. Dennoch darf sie bei Meningitisverdacht keinesfalls verzögert werden – die sofortige Erregertherapie ist entscheidend für das Überleben.
Tipp
Es empfiehlt sich, nach Durchführung der erforderlichen Diagnostik weiterhin eine Liquor-Rückstellprobe zu entnehmen, um den Liquor auch im Nachhinein immunologisch oder virologisch untersuchen zu können.
Bitte einloggen
Damit wir Dir weiterhin Inhalte in hoher Qualität bieten können, ist dieser Teil des Artikels nur für registrierte Nutzer:innen zugänglich. Logge dich ein oder teste Mediknow jetzt kostenlos.
Differentialdiagnosen (Auswahl)
Nicht-infektiöse Meningitis
Medikamenteninduzierte Meningitis: z. B. durch NSAR, Immunglobuline, Antibiotika, Chemotherapeutika
→ Meist aseptisches Bild im Liquor mit lymphozytärer Pleozytose
Meningeosis carcinomatosa (=leptomeningeale Metastasierung, z. B. bei Mamma-, Lungen- oder hämatologischen Tumoren)
→ Nachweis maligner Zellen im Liquor; häufig multifokale neurologische Defizite
Autoimmunerkrankungen (z. B. systemischer Lupus erythematodes (SLE), Sarkoidose)
Migräne: insbesondere bei Erstmanifestation mit neurologischer Aura → Abgrenzung zu Meningismus wichtig
Sepsis anderer Genese: systemische Entzündungszeichen ohne ZNS-Beteiligung
→Liquor unauffällig
Malignes neuroleptisches Syndrom (MNS) durch Neuroleptika:
Fieber, Rigor, Vigilanzminderung
→ CK-Erhöhung
Bitte einloggen
Damit wir Dir weiterhin Inhalte in hoher Qualität bieten können, ist dieser Teil des Artikels nur für registrierte Nutzer:innen zugänglich. Logge dich ein oder teste Mediknow jetzt kostenlos.
Akuttherapie bei akuter Meningitis
Sofortmaßnahmen bei Verdacht auf Meningitis
1. Isolation und Hygiene
Sofortige Isolation der Patient:innen bis 24 Std. nach Beginn der kalkulierten Antibiotikatherapie oder bis zum Ausschluss einer Meningokokken-Meningitis
Strikte Hygienemaßnahmen
Bei Verdacht auf Meningokokken-Meningitis: namentliche MELDEPFLICHT (!)
Achtung
Bei Meningokokken-Meningitis besteht eine doppelte Meldepflicht: Ärzt:innen müssen Verdacht, Erkrankung oder Todnamentlich nach § 6 IfSG an das Gesundheitsamt melden, während Labore den direkten Nachweis von Neisseria meningitidis gemäß § 7 IfSG anonym übermitteln müssen.
2. Venenzugang & Diagnostik
Anlage von 2 peripheren Venenverweilkanülen
Sofortige Entnahme von 2 Paar Blutkulturen sowie Serum für Labor & BGA (→ siehe Kapitel Diagnostik – Labor)
Engmaschige Kontrolle von:
Vitalparametern, z.B. Körpertemperatur (bei Fieber: z. B. Paracetamol i.v.)
Blutzucker (bei Hypoglykämie: Glucose i.v.)
3. Glukokortikoidgabe
Dexamethason i.v. möglichst 15–20 Minuten vor oder gleichzeitig mit der ersten Antibiotikagabe (spätere Gabe kein nachgewiesener Nutzen)
Vorteil: reduziert Letalität und neurologische Folgeerscheinungen (z.B. Hörschäden) bei Pneumokokken
Bei gesicherter viraler Genese oder bei Erregern wie Meningokokken oder Listerien → Absetzen, da kein zusätzlicher Nutzen
Merke
Dexamethason sollte bei Meningitisverdacht frühzeitig verabreicht werden, da es die Letalität bei Pneumokokken-Meningitis senkt sowie vor Komplikationen wie Hörschäden schützt – bei bestätigtem Pneumokokken-Nachweis wird es für 4 Tage weitergeführt, bei Ausschluss von Pneumokokken oder viraler Genese wieder abgesetzt.
4. Kalkulierte Erregertherapie
10 Min nach Dexamethason-Gabe: sofortiger Beginn der i.v.-Breitspektrum-Antibiose
Altersgruppe / Konstellation
Empfohlene Therapie
Ambulant erworbene Meningitis
Alle
Ceftriaxon oder Cefotaxim
Ältere, Immunsupprimierte, Neugeborene
Zusätzlich Ampicillin
Bei Verdacht auf HSV/VZV
Zusätzlich Aciclovir i.v.
Nosokomiale Meningitis
Vancomycin + Ceftazidim oder Meropenem (+ ggf. Metronidazol bei operativem Zugang über die Schleimhäute)
Merke
Bei klinischem Verdacht auf eine bakterielle Meningitis muss sofort eine kalkulierte empirische antibiotische Therapie eingeleitet werden – auch ohne initialen Erregernachweis. Eine Therapieverzögerung erhöht das Mortalitäts- und Komplikationsrisiko erheblich.
Bei unklarer Ätiologie und schwerem klinischen Bild gilt: Innerhalb der ersten StundeBlutkulturen entnehmen, Dexamethason i.v. verabreichen, kalkulierte Antibiose (z. B. Ceftriaxon + Ampicillin) und Aciclovir i.v. starten sowie eine cCT zum Ausschluss eines erhöhten Hirndrucks veranlassen. Anschließend sollte eine rasche Liquorpunktionund gezielte Fokussuche (insbesondere HNO-Fokus), ggf. mit operativer Sanierung durchgeführt werden.
Tipp
Vor jeder Antibiose – auch im Notfall – sollten immer Blutkulturen entnommen werden! Die weitere Diagnostik (z. B. CT, Lumbalpunktion) darf den Beginn der Therapie jedoch nicht verzögern. Die Antibiotikagabe muss so früh wie möglich erfolgen und sollte später an das Antibiogramm sowie individuelle Faktoren (z. B. Reiseanamnese mit möglicher Penicillinresistenz oder nosokomiale Infektion) angepasst werden.
5. Bildgebung, Liquordiagnostik & Fokusssuche
Liquorpunktion nach Ausschluss eines erhöhten Hirndrucks im cCT – möglichst vor Antibioseeinleitung, sollte diese jedoch niemals verzögern!
Gezielte Fokussuche, v.a. im HNO-Bereich (z.B. Otitis media, Mastoiditis, Sinusitis), ggf operative Fokussanierung am selben Tag
Spezifische Erregertherapie
Nach Erregernachweis & Antibiogramm unbedingt gezielte Anpassung der Therapie (z.B. Absetzen von Aciclovir nach Ausschluss von HSV und VZV, Absetzung von Dexamethason nach Ausschluss von Pneumokokken)
Berücksichtigung lokaler Resistenzlage (z. B. Penicillinresistenz bei Pneumokokken!) und individueller Anamnese (z.B. Auslandsreisen, nosokomiale Risiken)
Erreger
Spezifische Therapie
Pneumokokken
Cephalosporin 3. Gen + Dexamethason 4 Tage weiterführen
Meningokokken
Cephalosporin 3. Gen, Isolation, MELDEPFLICHT(!) + PEP für enge Kontakte
Haemophilus influenzae
Cephalosporin 3. Gen
Listerien
Ampicillin + Gentamicin
HSV/VZV
Aciclovir i.v. für 14 Tage
Merke
Eine ungezielte Fortführung von Aciclovir und Dexamethason bei nicht-bakterieller Ursache erhöht das Risiko von Nebenwirkungen und sollte nach Diagnosesicherung beendet werden.
Tipp
In der Akutphase ist eine klinische Re-Evaluation alle 4–6 Stunden essenziell – inklusive Kontrolle von Vitalzeichen, Vigilanz und neurologischem Status! Bleibt der Therapieerfolg nach 48–72 Stunden aus, sollte die Liquorpunktion wiederholt und die Behandlung angepasst werden!
Supportivmaßnahmen
Flüssigkeitssubstitution: mit balancierten Vollelektrolytlösungen (z.B. Ringer-Laktat) i.v. – angepasst an Volumenstatus und hämodynamische Situation
Bedarfsgerechte Analgesie: z. B. Ibuprofen i.v.
Atemunterstützung (z. B. High-Flow-O₂ oder NIV) oder Intubation und invasive Beatmung: bei Vigilanzminderung, GCS ≤ 8, Hypoxie, Hyperkapnie oder drohender Aspiration
Hirndruckmanagement: bei klinischen oder radiologischen Hinweisen auf erhöhten intrakraniellen Druck (z. B. mit Mannitol oder hypertoner Kochsalzlösung).
Bei schwerem Verlauf: ggf. kontinuierliche intrakranielle Druckmessung mittels Ventrikeldrainage oder parenchymatöser Sonde auf Intensivstation.
EEG bei Verdacht auf nicht-konvulsive Anfälle oder unklare Vigilanzminderung, insbesondere bei HSV-Enzephalitis
Intensivüberwachung bei Vigilanzstörung, septischem Verlauf (z.B. Hypotonie, Laktatanstieg, Multiorganversagen) oder epileptischen Anfällen
Tägliche Kontrolle von Natrium & Osmolalität in Serum und Urin zur Früherkennung eines Syndroms der inadäquaten ADH-Sekretion (SIADH; siehe Kapitel → Komplikationen)
Achtung
Die Bakterielle Meningitis kann auch unter adäquater Therapie fulminant verlaufen – besonders bei Meningokokken mit Waterhouse-Friderichsen-Syndrom oder septischem Schock. Auch die HSV-Enzephalitis ist potenziell letal und erfordert frühzeitige antivirale Therapie.
Info
Red Flags für komplizierte Verläufe – Wann ist eine intensivmedizinische Überwachung erforderlich?
Bei folgenden Zeichen ist eine unverzügliche intensivmedizinische Überwachung angezeigt:
Bewusstseinsstörung (z. B. Somnolenz, Vigilanzminderung)
GCS < 9 (→Hinweis auf schwere neurologische Beeinträchtigung)
Status epilepticus (= anhaltender oder rezidivierender Krampfanfall)
Meningokokkensepsis mit Hautblutungen (z. B. Petechien, Purpura)
Klinische Zeichen eines erhöhten Hirndrucks (z. B. Papillenödem, Erbrechen, Vigilanzstörung)
Respiratorische Insuffizienz (z. B. Dyspnoe, Hypoxämie, Hyperkapnie)
Schockzeichen (z. B. Hypotonie, Tachykardie, verlängerte Rekapillarisierungszeit)
Diese Warnzeichen sind potenziell lebensbedrohlich – frühzeitige Intensivbetreuung kann das Outcome entscheidend verbessern!
Tipp
Nach einer Meningitis durch Meningokokken, Pneumokokken oder Haemophilus influenzae sollte der Impfstatus überprüft werden und ggf. eine Nachholimpfung durchgeführt werden. Dies ist insbesondere bei Risikogruppen wie Patient:innen mit Asplenie oder Immundefizienz entscheidend zur Vermeidung weiterer invasiver Infektionen.
Bitte einloggen
Damit wir Dir weiterhin Inhalte in hoher Qualität bieten können, ist dieser Teil des Artikels nur für registrierte Nutzer:innen zugänglich. Logge dich ein oder teste Mediknow jetzt kostenlos.
Therapie chronischer Meningitiden
Info
Chronische Meningitiden – wie die tuberkulöse Meningitis oder mykotische Formen (z. B. durch Cryptococcus neoformans) – erfordern eine langandauernde, gezielte Therapie mit mehreren Antituberkulotika bzw. systemischen Antimykotika. Ergänzend werden häufig Glukokortikosteroideeingesetzt, um die entzündlich bedingte Hirnschwellung und Komplikationen wie Hydrozephalus oder basale Vernarbungen zu reduzieren. Aufgrund der schleichenden Symptomatik und der oft späten Diagnosestellung ist eine engmaschige klinische Überwachung erforderlich. Bei schweren Verläufen sind intensivmedizinische Maßnahmen essenziell – insbesondere zur Sicherung der Vitalfunktionen, zur Behandlung eines erhöhten intrakraniellen Drucks sowie zur rechtzeitigen Intervention bei Komplikationen wie epileptischen Anfällen oder Bewusstseinsstörungen.
4 Monate: 2-fach Kombitherapie mit Isoniazid + Rifampicin
Mykotisch
Kryptokokken-Meningitis
Amphotericin B + Flucytosin + Fluconazol für 4-8 Wochen
Parasitär
Zerebrale Toxoplasmose
Pyrimethamin + Sulfadiazin + Folinsäure für 4-6 Wochen
Bitte einloggen
Damit wir Dir weiterhin Inhalte in hoher Qualität bieten können, ist dieser Teil des Artikels nur für registrierte Nutzer:innen zugänglich. Logge dich ein oder teste Mediknow jetzt kostenlos.
Komplikationen
Akute Komplikationen
Zytotoxisches Hirnödem: Zellschädigung durch bakterielle Toxine führt zu intrazellulärem Natrium- und Wassereinstrom, v.a. in Astrozyten → Zellschwellung → akute intrakranielle Hirndrucksteigerung mit Risiko einer Herniation (z. B. transtentoriell oder durch Foramen magnum) → potenziell letal
Hydrozephalus: durch gestörte Liquorzirkulation infolge entzündlicher Verklebungen der Arachnoidea und gestörter Liquorresorption, v. a. bei basaler Meningitis (z. B. tuberkulöse Form)
Enzephalitis (z.B. bei HSV), Ventrikulitis
Zerebrale Infarkte: durch vaskulitische Gefäßentzündungen
Direkte Neurotoxizität: durch bestimmte Erreger (z. B. durch Pneumokokken oder Meningokokken, die direkt toxisch auf Neurone wirken können und zelluläre Apoptose induzieren)
Sinusvenenthrombose: durch Entzündung oder Kompression benachbarter venöser Strukturen – häufig bei Otitis oder Mastoiditis als Infektionsherd
Epileptische Anfälle
Syndrom der inadäquaten ADH-Sekretion (SIADH):
Häufige Komplikation, insbesondere bei bakteriellen und tuberkulösen Formen
Führt zu einer hyponatriämischen Hypoosmolalität (Verdünnungshyponatriämie), da durch inadäquate ADH-Ausschüttung Wasser retiniert wird
Kann neurologische Symptome verschlechtern und das Hirnödem verstärken
Sepsis mit ARDS und Multiorganversagen
Waterhouse-Friderichsen-Syndrom (v.a. bei Meningokokken!)
Folge einer fulminanten Meningokokkensepsis mit disseminierten intravasalen Gerinnung (DIC) durch bakterielle Endotoxine
Komplikationen durch Thrombembolien: Nebennierenrindennekrose (→ akute Nebenniereninsuffizienz), Petechien, Hautnekrosen, Schlaganfälle, Schock und Multiorganversagen
Unbehandelt innerhalb von Stunden letal
Therapie: Ceftriaxon/Cefotaxim + Ampicillin i.v., Dexamethason i.v., ultima ratio bei ausgedehnten Nekrosen: Amputation
Tipp
Fokale neurologische Symptome (z. B. Paresen, Sprachstörungen) bei Meningitis weisen auf mögliche Komplikationen wie Hirnabszess, Vaskulitis oder venöse Sinusthrombose hin und erfordern eine dringliche Bildgebung – zunächst ein cCT mit Kontrastmittel, bei unklarer Befundlage ein ergänzendes MRT.
Spätfolgen
Persistierende Hörstörungen, v.a. Schallempfindungsschwerhörigkeit durch Schädigung des N. vestibulocochlearis (VIII; v.a. bei Pneumokokken!)
Epilepsie als Folge von Vernarbung oder fokaler Hirnschädigung
Persistierende kognitive Defizite und Verhaltensauffälligkeiten (v.a. bei HSV-Enzephalitis)
Persisitierende Paresen durch ischämische oder entzündlich bedingte Läsionen (z. B. nach vaskulitischen Infarkten
Hirnatrophie bei schweren oder protrahierten Verläufen
Bitte einloggen
Damit wir Dir weiterhin Inhalte in hoher Qualität bieten können, ist dieser Teil des Artikels nur für registrierte Nutzer:innen zugänglich. Logge dich ein oder teste Mediknow jetzt kostenlos.
Prognose
Bakterielle Meningitis:
Letalität: 1–30 % (abhängig von Erreger, Alter, Komorbiditäten, Immunstatus und der Zeit bis zur adäquaten Therapieeinleitung)
Langzeitfolgen: Residualsymptome bei bis zu 50 % der Überlebenden, z.B. Hörminderung (insbesondere bei Pneumokokken), epileptische Anfälle/Epilepsie, kognitive Defizite, Paresen oder Hydrozephalus
Prognostisch ungünstig: Meningokokkensepsis mit Waterhouse-Friderichsen-Syndrom oder Pneumokokkenmeningitis im hohen Alter
Virale Meningitis:
Letalität: Sehr gering (<1%), meist gute Prognose bei immunkompetenten Patient:innen
Ausnahme:HSV-Enzephalitis mit potenziell hoher Letalität und häufig persistierenden kognitiven Einschränkungen oder Verhaltensstörungen bei Überlebenden
Erreger
Letalität
Meningokokken
1–13 %
Pneumokokken
15–20 %
Listerien
20–30 %
HSV-Enzephalitis (unbehandelt)
bis 70 %, mit Therapie 10–30 %
Achtung
Die Prognose korreliert eng mit dem Zeitpunkt der Therapieeinleitung. Ein Therapiebeginn innerhalb der ersten Stunde ist entscheidend – jede Verzögerung erhöht die Mortalität signifikant. Frühzeitige Gabe von Antibiotika und Dexamethason verbessert das neurologische Outcome deutlich.
Bitte einloggen
Damit wir Dir weiterhin Inhalte in hoher Qualität bieten können, ist dieser Teil des Artikels nur für registrierte Nutzer:innen zugänglich. Logge dich ein oder teste Mediknow jetzt kostenlos.
Prävention
Allgemeine Maßnahmen
Hygienemaßnahmen: regelmäßiges Händewaschen, Husten- und Niesetikette, Vermeidung enger Kontakte zu Erkrankten
Identifikation und Isolation enger Kontaktpersonen (z.B. Haushaltsangehörige, Kita-Gruppen, stationäre Mitpatient:innen, medizinisches Personal mit engem Kontakt (z. B. bei Intubation)) für mindestens 24 Std. nach Beginn einer wirksamen Chemoprophylaxe
Impfungen
Meningokokken B (Totimpfstoff): Standardimpfung bei Säuglingen mit 2, 4 und 12 Monaten (STIKO-Empfehlung seit 2024)
Meningokokken C (Totimpfstoff): einmalige Standardimpfung bei Säuglingen mit 12 Monaten
Meningokokken ACWY (Totimpfstoff): Indikationsimpfung für Risikogruppen (z. B. bei Immunschwäche, Asplenie, Reisen in Endemiegebiete oder bei engem Kontakt zu Erkrankten); ggf. auch als Kombinationsimpfung mit C bei besonderer Exposition
Pneumokokken (Totimpfstoff): Standardimpfung bei Säuglingen mit 2, 4 und 11 Monaten;zusätzlich einmalige Impfung ab 60 Jahren (Polysaccharid- oder Konjugatimpfstoff je nach Risiko)
Hib: Standardimpfung bei Säuglingen mit 2, 4 und 11 Monaten
FSME: Indikationsimpfung in Endemiegebieten (Grundimmunisierung mit 3 Impfungen, anschließend Auffrischung alle 3-5 Jahre, bei älteren Personen ggf. jährlich)
MMRV: Standardimpfung bei Säuglingen mit 11 und 15 Monaten
Achtung
Bei Patient:innen mit Asplenie, chronischen Erkrankungen wie COPD oder Immundefizienz sollte eine präventive Indikationsimpfung erfolgen. Regelmäßige Auffrischung ist entscheidend!
Zudem ist auf eine sofortige ärztliche Vorstellung bei Fieber hinzuweisen, da das Risiko für invasive Infektionen (z. B. Meningitis) deutlich erhöht ist!
Info
Die STIKO-Empfehlungen unterscheiden sich teilweise von internationalen Leitlinien (z. B. USA: Meningokokken-B nur für Risikogruppen, nicht generell empfohlen). In den USA ist die Meningokokken-B-Impfung nicht Teil der Standardimpfung, sondern nur für Risikogruppen empfohlen. In Deutschland empfiehlt die STIKO diese dagegen seit 2024 als Standardimpfung bei Säuglingen.
Postexpositionsprophylaxe
Chemoprophylaxe: bei jedem engem Kontakt mit Meningokokken-Erkrankten, schnellstmöglicher Beginn <10 Tage, idealerweise <24 Std.
Rifampicin 2x/Tag für 2 Tage (1. Wahl bei Kindern und Erwachsenen)
Alternativ bei Meningokokken-Infektion bei Erwachsenen >18 Jahre: Ciprofloxacin Einmalgabe
Bei Schwangeren: Ceftriaxon Einmalgabe
Isolation bis 24h nach Beginn der Chemoprophylaxe (!)
Ggf. Impfberatung (Meningokokken-ACWY- oder B-Impfung, je nach Serotyp und Exposition)
Postpartale Prophylaxe bei Neugeborenen von B-Streptokokken (GBS)-positiven Müttern
Klinische Überwachung für mindestens 48 Stunden
Bei zusätzlichen Risikofaktoren (z. B. vorzeitiger Blasensprung >18 h, Fieber unter Geburt, Frühgeburt <37+0 SSW) ggf. prophylaktische Antibiotikatherapie des Neugeborenen mit Ampicillin oder Penicillin
→ Ziel: Vermeidung einer Early-onset GBS-Sepsis oder -Meningitis
Bitte einloggen
Damit wir Dir weiterhin Inhalte in hoher Qualität bieten können, ist dieser Teil des Artikels nur für registrierte Nutzer:innen zugänglich. Logge dich ein oder teste Mediknow jetzt kostenlos.
Algorithmus
Folgend wird der Notfall-Algorithmus bei Menigismus dargestellt:
Bitte einloggen
Damit wir Dir weiterhin Inhalte in hoher Qualität bieten können, ist dieser Teil des Artikels nur für registrierte Nutzer:innen zugänglich. Logge dich ein oder teste Mediknow jetzt kostenlos.