Einleitung
Die Beurteilung des Perikards
- Perikarderguss: Ist definiert als Flüssigkeitsansammlung zwischen parietalem und viszeralem Blatt des Perikards
. Die Volumenzunahme wird zunächst noch kompensiert, bzw. ist nicht hämodynamisch wirksam und klinisch häufig asymptomatisch. Die Ursache kann idiopathisch, entzündlich, neoplastisch oder auch traumatisch bedingt sein

Pericarditis.png, Blausen Medical Communications, Inc., CC BY 3.0 https://creativecommons.org/licenses/by/3.0, via Wikimedia Commons. Es wurden die Beschriftungen und Markierungen geändert.
AchtungEin sonographischer Perikarderguss kann sich schnell zu einer Perikardtamponade
entwickeln. Regelmäßige Verlaufskontrollen sind deswegen obligat.
- Perikardtamponade
: Ist freie Flüssigkeit im Herzbeutel nachweisbar und liegt zeitgleich eine Druckerhöhung mit hämodynamischer Auswirkung auf die Pumpleistung vor, spricht man von einer Tamponade. Wenn ein entsprechender Unfallmechanismus vorliegt, ist eine traumatische Ursache sehr wahrscheinlich. Sie kann aber auch andere Gründe haben, z.B. als Komplikation während einer Herzkatheteruntersuchung
Durchführung der Untersuchung
Ziel ist der Nachweis freier Flüssigkeit im Perikard
Schritt 1: Sondenposition - Zugangspunkt (Subkostalblick)

AchtungWichtig: Der subkostale Vierkammerblick ist beim Trauma am zuverlässigsten, da er auch bei Intubation
, Thoraxverletzungen und Immobilisation gut zugänglich ist.
- Sonde: Phased-Array
- Ausrichtung: Marker zeigt nach rechts
- Position: Direkt subxiphoidal, flach unter den Rippenbogen geschoben
- Schallwinkel: Möglichst flach zum Thorax
, um Leber als akustisches Fenster zu nutzen - Tipp: Eine tiefe Inspiration
kann für eine bessere Darstellung helfen!

Figure 2 aus Vázquez Martínez, J.L., Quiñones Coneo, K.L., Villegas, T.V. et al. Applicability of a modified EFAST protocol (r-EFAST) to evaluate hemodynamically unstable patients after percutaneous cardiac intervention. Crit Ultrasound J 9, 12 (2017). https://doi.org/10.1186/s13089-017-0070-3. Teilausschnitt des Originalbilds.
Schritt 2: Strukturorientierung

Figure 1 aus Jakobsen, L.K., Bøtker, M.T., Lawrence, L.P. et al. Systematic training in focused cardiopulmonary ultrasound affects decision-making in the prehospital setting – two case reports. Scand J Trauma Resusc Emerg Med 22, 29 (2014). https://doi.org/10.1186/1757-7241-22-29. Das Bild wurde zugeschnitten und es wurden Markierungen hinzugefügt.
Zunächst sichere Orientierung
- Leber
im Vordergrund (Liver ➜) - Dahinter Zwerchfell
(ZF ➜) - Direkt darüber das Herz, meist beginnend mit dem rechten Atrium (RA ➜) und rechten Ventrikel (RV ➜) und folgend mit dem linken Atrium
(LA ➜) und linken Ventrikel (LV ➜) - Perikard
als echoreiche Linie, die das Herz umgibt (PK➜)
Schritt 3: Beurteilung des Perikards - Suche nach freier Flüssigkeit

Pericardial effusion E00675 (CardioNetworks ECHOpedia).webm, CardioNetworks, CC BY-SA 3.0, https://creativecommons.org/licenses/by-sa/3.0, via Wikimedia Commons. Es wurde die Markierung ergänzt.
Freie Flüssigkeit erscheint als echoarme (schwarze) Schicht zwischen Perikard
Typische Lokalisationen:
- Zunächst meist posterior oder inferior sichtbar
- Bei größerem Erguss zirkulär
Differenzierung:
- Perikarderguss: Flüssigkeit innerhalb des echoreichen Perikards
- Pleuraerguss
: Flüssigkeit außerhalb des Perikards , hinter dem linken Ventrikel im Thorax
Schritt 4: Bewertung der Relevanz - Hinweise auf hämodynamische Beeinträchtigung

Pericardial effusion with tamponade.gif, https://commons.wikimedia.org/wiki/File:Pericardial_effusion_with_tamponade.gif, Jer5150, CC BY-SA 3.0 https://creativecommons.org/licenses/by-sa/3.0, via Wikimedia Commons. Das Bild ist ein Screenshot aus dem Gif. Es wurde die Markierung ergänzt.
AchtungWichtig: Eine traumatische Tamponade kann auch bei kleinen Mengen klinisch relevant sein.
Beurteilung auf:
- Diastolischen Kollaps
des rechten Vorhofs / rechten Ventrikels - Eingeschränkte Herzaktion
- Ventrale/„pendelnde“ Bewegung des Herzens im ausgedehnten Erguss
Normalbefund
Im subxiphoidalen Schnitt zeigt sich das Herz vollständig in der Vierkammeransicht hinter der echoreichen Linie des Zwerchfells
Im Vordergrund liegt das homogene Parenchym der Leber

Figure 1 aus Jakobsen, L.K., Bøtker, M.T., Lawrence, L.P. et al. Systematic training in focused cardiopulmonary ultrasound affects decision-making in the prehospital setting – two case reports. Scand J Trauma Resusc Emerg Med 22, 29 (2014). https://doi.org/10.1186/1757-7241-22-29. Das Bild wurde zugeschnitten und es wurden Markierungen sowie Beschriftungen hinzugefügt.
TippAm Herzen können sich vielfältige sonographische Veränderungen zeigen, die Folge chronischer Erkrankungen sind, z.B. Klappenvitien oder eine dilatative Kardiomyopathie
. Man sollte daher neben Normalbefunden auch möglichst viele dieser chronischen Befunde gesehen haben, um sie im Notfall von einem akuten Befund abgrenzen zu können.
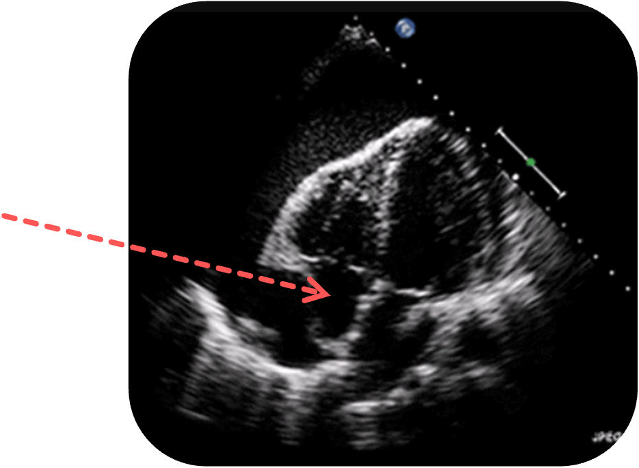
Perikarderguss
Sonographisch zeigt sich ein Perikarderguss als echoarmer (dunkler) Spalt zwischen dem Myokard und der echoreichen (hellen) Begrenzung des Perikards
In der subxiphoidalen Projektion liegt der Erguss zunächst meist posterior des Herzens und breitet sich mit zunehmender Flüssigkeitsmenge zirkulär
Das Perikard
Eine geringe Menge Flüssigkeit (10-50 ml) ist physiologisch und manchmal als sehr feiner Spalt darstellbar.
Die Menge des Ergusses (Messung immer am Ende der Diastole
- < 10 mm: geringgradiger Erguss, < 100 ml
- 10-20 mm: mittelgradiger Erguss, ca. 100-500 ml
- > 20 mm: hochgradiger Erguss, >500 ml
Neben der Ergussmenge ist für die klinische Relevanz vor allem die Füllungsgeschwindigkeit und die Compliance des Perikards
Selbst „kleinere“ Mengen von ca. 150 ml können in der Akutphase bereits hämodynamisch wirksam sein, während langsam entstehende Ergüsse ohne klinische Symptomatik mehrere hundert Milliliter enthalten können.
Relevant ist also vor allem der Druck, dem die Ventrikel standhalten müssen.

Pericardial effusion E00675 (CardioNetworks ECHOpedia).webm, CardioNetworks, CC BY-SA 3.0, https://creativecommons.org/licenses/by-sa/3.0, via Wikimedia Commons . Es wurden die Markierungen und Beschriftungen ergänzt.
Perikardtamponade
Wie beim Perikarderguss zeigt sich sonographisch eine anechogene oder echoarme Flüssigkeitsansammlung im Perikardraum, die das Herz zirkulär umgibt.
Im Gegensatz zum einfachen Erguss finden sich bei der Perikardtamponade
➜ https://commons.wikimedia.org/wiki/File:Pericardial_effusion_with_tamponade.gif
Eine relevante Perikardtamponade

Pericardial effusion with tamponade.gif, https://commons.wikimedia.org/wiki/File:Pericardial_effusion_with_tamponade.gif. Das Bild ist ein Screenshot aus dem Gif. Es wurden die Markierungen und Beschriftungen ergänzt.
Paradoxe Septumbewegung:
Während der Inspiration
Die Folge ist ein sogenannter Pulsus

