Periphere Nerven bestehen aus Nervenfaserbündeln und bindegewebigen Hüllstrukturen
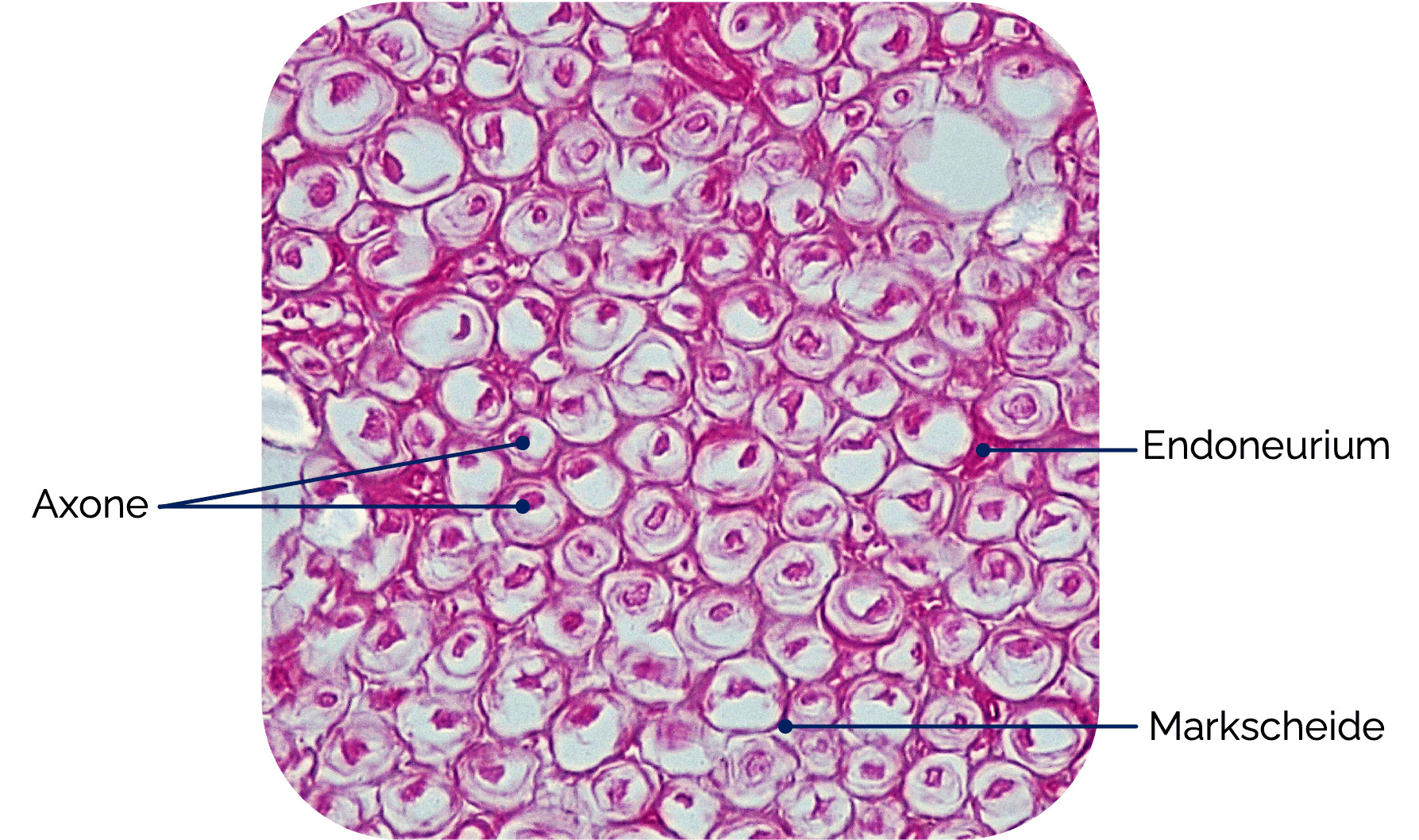
Nervenfasern setzen sich aus Axonen und ihren Markscheiden zusammen
Bindegewebige Hüllschichten
Endoneurium
Umgibt jede einzelne Nervenfaser
Besteht aus lockerem Bindegewebe
Tight Junctions der endoneuralen Endothelzellen bilden die sogenannte Blut- Nerven-Schranke
Das Endoneurium bildet zusammen mit der Basalmembran der Schwann- Zelle die Endoneuralscheide
Perineurium
Umschließt mehrere Hundert Nervenfasern zu einem Faszikel (Nervenfaserbündel)
Epineurium
Umschließt den gesamten peripheren Nerv
Besteht aus straffem Bindegewebe
Enthält Bindegewebesepten, die zwischen die einzelnen Faszikel einstrahlen
Macht den Nerv gegenüber der Umgebung verschieblich
Im histologischen Längsschnitt eines peripheren Nervs
Überwiegend sichtbar sind Zellkerne der Schwann-Zellen
Neuronale Zellkerne sind seltener erkennbar
Peripherer Nerv im Querschnitt:
Peripherer Nerv im Längsschnitt mit typischen Wellenmuster:
Bitte einloggen
Damit wir Dir weiterhin Inhalte in hoher Qualität bieten können, ist dieser Teil des Artikels nur für registrierte Nutzer:innen zugänglich. Logge dich ein oder teste Mediknow jetzt kostenlos.
Zuletzt aktualisiert am 14.10.2025
Vorheriger Artikel
Gliazellen
Nächster Artikel
Spinalganglion & Vegetatives Ganglion
Deine Medizin-Lernplattform
Jetzt weiterlesen
Zugang zu diesem und über 800 weiteren leitlinienbasierten Artikeln, unserem einzigartigen medizinischen AI-Tutor und Quiz