Hautbefund

Unknown photographer/artist, Public domain, via Wikimedia Commons
Übersicht
Das Plattenepithelkarzinom oder auch Spinaliom (SCC) der Haut ist eine der häufigsten malignen Hauttumoren. Es handelt sich um ein Karzinom, das aus den Keratinozyten der Epidermis entsteht und oft aus einer aktinischen Keratose hervorgeht. Charakteristisch ist seine Infiltration in tiefere Hautschichten mit Durchbrechen der Basallamina, was im Verlauf zu einer aggressiven Invasion von Gewebe und in seltenen Fällen auch zu Fernmetastasen führen kann. Die Klassifikation des Spinalioms erfolgt anhand der TNM-Klassifikation der UICC oder AJCC. Histomorphologisch gibt es unterscheidbare Varianten. Der Tumor ist von besonderer Bedeutung, da seine Inzidenz weltweit zunimmt, vor allem bei älteren Menschen und in Regionen mit hoher UV-Exposition. Die Therapie erfolgt nach Goldstandard in Form einer Exzisionsbiopsie und folgender histologischer Schnittrandkontrolle. In höheren Stadien kann ebenfalls eine Systemtherapie angewandt werden. Bei frühzeitiger Diagnose ist die Prognose des Plattenepithelkarzinoms gut.
| Diagnose | Plattenepithelkarzinom (Spinaliom, Stachelzellkarzinom)
|
| Hautbefund & Symptome | An der Nasenspitze zeigt sich ein ca. 1,5 cm messender, breitbasigaufsitzender, hautfarbener Nodus
|
| Pathophysiologie | Durch eine Mutation im Tumorsuppressorgen p53 kommt es zur unkontrollierten Vermehrung atypischer Keratinozyten durch die mutationsbedingt entstandene Apoptoseresistenz.
|
| Diagnostik | Die Diagnosestellung erfolgt in der Regel anhand der klinischen Untersuchung und wird mit einer Hautbiopsie
|
| Therapie | Die Therapie der Wahl ist die chirurgische Exzision unter Schnittrandkontrolle.
|
Epidemiologie
Das Plattenepithelkarzinom oder Spinaliom (SCC) der Haut ist nach dem Basalzellkarzinom
MerkeDas Spinaliom ist der zweithäufigste bösartiger Hauttumor nach dem Basalzellkarzinom
.
Pathophysiologie
Das Plattenepithelkarzinom entsteht primär aus atypischem keratinozytenreichem Gewebe der Haut und Schleimhäute, die zunächst nur intraepidermal vorliegt. Die Ursachen für die Veränderungen in diesen Geweben sind multifaktoriell, primär handelt es sich allerdings um exogene Auslöser wie UV-Licht. Zusätzlich spienen genetische Prädisposition und immunologische Faktoren eine Rolle in der Pathophysiologie. Die Hauptursache für die Entwicklung eines SCC ist die chronische Exposition gegenüber ultravioletter Strahlung (UV), insbesondere UVB, die zu einer Anhäufung genetischer Mutationen führen. Diese Mutationen führen zu einer unkontrollierten Proliferation der Zellen und deren Malignität. Als präkanzeröse Läsion gilt die aktinische Keratose
UV-Strahlung und DNA
Die Exposition gegenüber UV-Strahlung, insbesondere UV-B-Strahlung (Wellenlängen von 290-320 nm), spielt eine zentrale Rolle bei der Entstehung des Plattenepithelkarzinoms. UV-B-Strahlung verursacht direkt Schäden an der DNA
Darüber hinaus fördert UV-Strahlung die Produktion reaktiver Sauerstoffspezies (ROS), die weitere DNA
Immunsuppression und Karzinogenese
Neben UV-Strahlung ist Immunsuppression ein entscheidender Faktor in der Pathophysiologie des Plattenepithelkarzinoms. Immunsupprimierte Patienten, insbesondere nach Organtransplantationen, weisen ein signifikant erhöhtes Risiko für die Entwicklung von SCC auf. Dies ist auf die verminderte Immunüberwachung zurückzuführen, wodurch potenziell karzinogene Zellen nicht ausreichend eliminiert werden können. Eine entscheidende Rolle spielt hierbei die Dysfunktion von T-Zellen, die normalerweise zur Überwachung und Beseitigung atypischer Zellen beitragen.
Invasion und Metastasierung
Das invasive Potenzial des Plattenepithelkarzinoms beruht auf einer Reihe von molekularen Veränderungen, die die Interaktion der Tumorzellen mit der extrazellulären Matrix und den benachbarten Geweben betreffen. Matrix-Metalloproteinasen (MMPs), insbesondere MMP-1 und MMP-9, sind Proteasen, die von Tumorzellen produziert werden und den Abbau der Basalmembran und des umgebenden Stromas ermöglichen, wodurch die Invasion in tiefere Hautschichten begünstigt wird.
DefinitionPer Definition handelt es sich um ein invasives Plattenepithelkarzinom, sobald die Basalmembran unterhalb der intraepithelialen Proliferation in nicht-traumatisierter Haut durchbrochen ist.
Zusätzlich exprimieren SCC-Zellen Adhäsionsmoleküle wie E-Cadherin in reduzierter Menge, was normalerweise die Zell-Zell-Adhäsion aufrechterhält. Der Verlust dieser Adhäsionsmoleküle erlaubt es den Tumorzellen, sich zu lösen und in das darunterliegende Gewebe zu migrieren.
Tumorimmunologie und Zytokine
Zytokine und Wachstumsfaktoren spielen eine zentrale Rolle in der Förderung des Tumorwachstums. Tumorzellen können proinflammatorische Zytokine, wie Interleukin
Risikofaktoren
Risikofaktoren für die Entstehung eines SCC umfassen:
- Aktinische Keratosen als präkanzeröse Läsionen
- Diese Läsionen entstehen durch kumulative UV-Schäden in der Haut und stellen eine atypische Vermehrung von Keratinozyten dar. Die Übergangsrate von einer aktinischen Keratose zu einem invasiven Plattenepithelkarzinom variiert, wird jedoch auf etwa 0,1-10 % pro Jahr geschätzt.
MerkeDie aktinische Keratose
manifestiert sich als raue, erythematöse Plaque auf sonnenexponierten Hautarealen. Histologisch handelt es sich um ein Carcinoma in situ, da die Basallamina nicht durchbrochen ist, was sie von invasiven Karzinomen unterscheidet, bei denen die atypischen Zellen die gesamte Epidermis betreffen und tiefere Schichten infiltrieren.
- Immunsuppression
- Z.B. nach Organtransplantationen
AchtungEpitheliale Hauttumore stellen die häufigste maligne Neubildung nach Organtransplantationen dar und sind klassische Komplikationen chronischer Immunsupression.
- Chronische Wunden oder Narben
- Die Entstehung ist auch auf dem Boden chronisch-degenerativer Hauterkrankungen oder Entzündungen möglich
- Kontakt mit krebserregenden Stoffen
- Z.B. polyzyklische aromatische Kohlenwasserstoffe wie Arsen, auch Teer und Mineralöle können bei übermäßiger Exposition zur Entstehung beitragen
- Röntgenstrahlen
- HPV
-Infektionen - Durch die Schwächung des Immunsystems wird die Entstehung von Plattenepithelkarzinomen gefördert. HPV
-Typen, die anogenitale Krebserkrankungen verursachen, wurden auch in Plattenepithelkarzinomen der Haut nachgewiesen, insbesondere bei immungeschwächten Patienten.
- Durch die Schwächung des Immunsystems wird die Entstehung von Plattenepithelkarzinomen gefördert. HPV
- Genetische Prädisposition
- Eine genetische Prädisposition kann ebenfalls eine Rolle bei der Entstehung des Plattenepithelkarzinoms spielen. Patienten mit genetischen Syndromen wie dem Xeroderma pigmentosum, bei dem DNA
-Reparaturmechanismen durch Mutationen gestört sind, haben ein erheblich erhöhtes Risiko, SCC zu entwickeln. Diese Patienten zeigen eine stark erhöhte Empfindlichkeit gegenüber UV-Strahlung und entwickeln häufig multiple Hautkrebserkrankungen bereits im jungen Alter.
- Eine genetische Prädisposition kann ebenfalls eine Rolle bei der Entstehung des Plattenepithelkarzinoms spielen. Patienten mit genetischen Syndromen wie dem Xeroderma pigmentosum, bei dem DNA
Klinik
Weil die Entstehung des SCC besonders durch UV-Strahlung gefördert wird, lassen sich die Läsionen meistens an sonnenexponierten Hautarealen wie Gesicht, Kopf, Ohren, Lippen, Händen und Unterarmen finden. Trotzdem ist genau so die Entstehung vor allem bei immunsupprimierten Patien:innen an nicht-sonnenexponierten Stellen sowie an Schleimhäuten möglich, weshalb diese in der körperlichen Untersuchung ebenfalls beachtet werden sollen.
Die Patient:innen berichten in der Regel nicht über begleitende Symptome, allerdings fällt ihnen auf, dass die Läsion leicht verletzlich ist und es immer wieder zu Blutungen nach minimaler mechanischer Reizung kommt, daher zeigen sich die SCC oft krustig belegt.
Inspektion
In der körperlichen Untersuchung mit besonderem Augenmerk auf die verdächtige Hautläsion kann sich das SCC abhängig vom Stadium vielgestaltig präsentieren und ist oft schwer von einer aktinischen Keratose zu unterscheiden, da es sich zu Beginn als hyperkeratotische Plaque
InfoDa das Keratoakanthom eine mögliche Differenzialdiagnose darstellt und potenziell maligne sein kann, wird in diesen Fällen direkt die Histologie und primäre Therapie angestrebt, weil weder klinisch noch histologisch die Differenzierung sicher möglich ist.

Klaus D. Peter, Wiehl, Germany, CC BY 3.0 DE <https://creativecommons.org/licenses/by/3.0/de/deed.en>, via Wikimedia Commons
Dermatoskopie
Allgemein bietet die Dermatoskopie
- Morphologie
- Durch die übermäßige Keratinisierung und Verhornung kommt es zur Entstehung von weißlich-gelben Keratinpfropfen. Unter dem Dermatoskop sind Hornperlen und Pseudohornzysten zu seheh, die sich als perlenartige, punktförmige Strukturen darstellen.
- SCC präsentieren sich als erhabene, verhärtete Läsion mit schuppender oder krustiger Oberfläche, die Zeichen der Hyperkeratose und Tumornekrose sind
- Die Vaskularisierung des Tumors wird durch gruppiert angeordnete glomeruläre Gefäße gesichert, die sich knäuelartig darstellen und ein häufiges Merkmal sind. Die den Tumor versorgenden Gefäße können sich polymorph zeigen und haben keine klar definierten Strukturen.
- Im Verlauf kann es zur Entstehung von Erosionen
kommen, die im Dermatoskop und mit bloßem Auge als rote, glänzende Areale zu sehen sind. - Im fortgeschrittenen Stadium können ulzerierende oder exophytische Tumoren entstehen.
- Durch die übermäßige Keratinisierung und Verhornung kommt es zur Entstehung von weißlich-gelben Keratinpfropfen. Unter dem Dermatoskop sind Hornperlen und Pseudohornzysten zu seheh, die sich als perlenartige, punktförmige Strukturen darstellen.
TippHornperlen und Pseudozysten sind ein klassischer dermatoskopischer Befund beim Plattenepithelkarzinom.
InfoIm Vergleich zum Basalzellkarzinom
, dass klar definierte Gefäßstrukturen zeigt, weisen SCC unspezifische und unregelmäßige Gefäßmuster auf.
- Größe und Wachstum
- Die Größe kann variieren, wobei größere Läsionen oft schneller wachsen und invasiver sind. SCC neigen zu lokalem invasivem Wachstum und können, insbesondere bei verspäteter Diagnose, in tiefere Gewebeschichten eindringen.
TippAufgrund des lokal infiltrierenden Wachstums ist der sichtbare Anteil oft nur die “Spitze des Eisbergs” und die tatsächliche Ausdehnung des Tumors ist oftmals größer.
- Farbe und Beschaffenheit
- Die Läsion kann hautfarben, rötlich oder bräunlich sein. Die Oberfläche ist häufig rau und weist eine erhöhte Keratinproduktion auf, was sie trocken oder warzenartig erscheinen lässt. Die Rötung kann potenziell durch Blutgefäße sowie entzündliche Infiltrate hervorgerufen werden.
Subtypen
Histologisch lässt sich das SCC weiter in seine Unterformen unterteilen, die Unterschiede in der Therapie sind dabei nur gering.
- Adenosquamöses Plattenepithelkarzinom
- Akantholytisches Plattenepithelkarzinom
- Bowen-Karzinom
- Bei der Vorstufe, dem Morbus Bowen, handet es sich um ein Carcinoma in situ der Haut
- Das Bowen Karzinom ist pleomorph und gering differenziert
- Desmoplastisches Plattenepithelkarzinom
- Ausgeprägtes infiltratives Wachstum, teilweise auch perivaskulär oder perineural
- Hohes Rezidivrisiko 25% und Metastasierungspotenz 10%
- Keratoakanthom-artiges Plattenepithelkarzinom
- Lymphoepitheliom-artiges Plattenepithelkarzinom
- Pseudovaskuläres Plattenepithelkarzinom
- Spindelzelliges Plattenepithelkarzinom
- Verruköses Plattenepithelkarzinom
Sonderformen
- Keratoakanthom: Da die sichere histologische Differenzierung schwierig ist, ist hier immer eine primäre Therapie wie im Falle eines SCC indiziert, obwohl das Keratoakanthom an sich in der Regel gutartig ist. Das Keratoakanthom zeichnet sich durch rasche Wachstumsprogression und eine halbkugelige Form aus. Histologisch oder auflichtmikroskopisch zeigt sich ein zentraler Hornpfropf, sowie ein histologisch ein hoher Differenzierungsgrad der Zellen. Das Keratoakanthom wächst breitbasig infiltrierend. Es kann zu einer Spontanremission kommen.
- Buschke-Löwenstein-Tumor: Dieser durch HPV verursachte Tumor, auch Condylomata gigantea genannt, gehört in die Gruppe der verrukösen SCC. Die Hochrisikogruppen sind HPV 6 und 11.
Morbus Bowen und Bowen-Karzinom
- Morbus Bowen: Beim Morbus Bowen handelt es sich um eine Präkanzerose des Bowen-Karzinoms, das sich durch eine intraepidermale Proliferation atypischer Keratinozyten auszeichnet, die die gesamte Breite der Epidermis einnimmt. Da die Basallamina der Epidermis hier nicht durchbrochen wird, handelt es sich um ein Carcinoma in situ.
- Klinisch präsentiert sich der Morbus Bowen als gut abgrenzbare, nicht pigmentierte aber erythematöse Plaque mit schuppigen Anteilen. Begleitsymptome sind in der Regel nicht vorhanden. Die Größe der Läsionen kann variieren und korreliert mit der Bestandsdauer.

Masryyy, CC BY-SA 4.0 <https://creativecommons.org/licenses/by-sa/4.0>, via Wikimedia Commons

LWozniak&KWZielinski, CC BY-SA 3.0 <https://creativecommons.org/licenses/by-sa/3.0>, via Wikimedia Commons
- Bowen-Karzinom: Sobald die atpyischen Keratinozyten des Morbus Bowen die Basallamina durchbrechen spricht man von einem Bowen Karzinom. Definiert ist dieses vor allem durch Pleomorphie und eine schlechte Differenzierung.
DefinitionPleomorphie = Die Eigenschaft von Zellen oder Mikroorganismen unterschiedliche Erscheinungsformen anzunehmen
Diagnostik
Die Diagnosestellung des SCC erfolgt durch die klinische Untersuchung und Inspektion. Ergänzend finden Dermatoskopie
InfoIst das klinische Bild eindeutig, muss keine Probebiopsie erfolgen, da sie nur eine zusätzliche Belastung für die Patient:innen bedeuten würde!
Anamnese
In der Anamnese soll neben der ausführlichen Dokumentation der Hautveränderung auch die Abklärung der Risikofaktoren erfolgen.
- In Bezug auf die Hautveränderung
- Zeitlicher Beginn
- Entwicklung
- Welche Hautareale sind betroffen
- Rezidivsituation
- Weitere Symptome
- Juckreiz
- Schmerzen
- Blutungen
- Lymphknotenschwellungen
- Vorerkrankungen
- Immunsuppression
- Durch Erkrankungen oder Medikation
- Weitere Hauterkrankungen
- Immunsuppression
- Sonnenexposition und Sonnenschutzmaßnahmen
- Allergien
- Medikamente
- Berufsanamnese
- Familienanamnese
MerkeViele der Patient:innen mit Plattenepithelkarzinomen sind bereits älter und haben zum einen eine hohe kumulative Sonnenexposition erlebt und oft das Auftreten und die Entwicklung der Hautveränderung nicht bemerkt. Oft werden die Patient:innen durch Angehörige auf die Läsion aufmerksam gemacht, in diesen Fällen ist eine Fremdanamnese sinnvoll.
Körperliche Untersuchung und Dermatoskopie
Neben der ausführlichen Anamnese ist die körperliche Untersuchung ein wichtiges Mittel, um weitere malignitätsverdächtige Läsionen zu detektieren.
- Inspektion der malignitätsverdächtigen Hautveränderung sowie dermatoskopische Beurteilung
- Die klassischen Befunde in der dermatoskopischen Untersuchung sind Hornperlen und Pseudohornzysten sowie eine unstrukturierte Vaskularisierung. Die breitbasig aufsitzenden Tumore zeigen sich oft mit weiß-gelblichen Krusten
und zentraler Erosion . Bei längerem Bestehen sind die Tumore vermehrt exophytisch.
- Die klassischen Befunde in der dermatoskopischen Untersuchung sind Hornperlen und Pseudohornzysten sowie eine unstrukturierte Vaskularisierung. Die breitbasig aufsitzenden Tumore zeigen sich oft mit weiß-gelblichen Krusten
- Inspektion des gesamten Integuments inklusive der Schleimhäute
- Narben
oder chronische Entzündungen
- Narben
- Palpation der Lymphknotenstationen
Biopsie und histopathologische Untersuchung
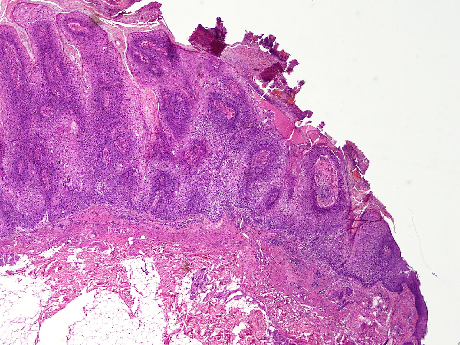
Der histologische Befund zeigt meist dysplastische Keratinozyten, die die Dermis infiltrieren. Ein wichtiges Kriterium zur Bestimmung der Aggressivität des Tumors ist der Differenzierungsgrad. Gut differenzierte Tumoren haben ein geringeres Rezidivrisiko und neigen weniger zur Metastasierung als schlecht differenzierte Tumoren. Die absolute Diagnosesicherung erfolgt durch eine Biopsie, auch wenn bei klinischer Eindeutigkeit die primäre Therapie indiziert ist, hierbei muss keine Probebiopsie vorausgehen.
Der Goldstandard ist die Exzisionsbiopsie, um den gesamten Tumor zu erfassen und eine histopathologische Untersuchung durchzuführen. Der histologische Befund benötigt die Einordnung in den Subtypen, die histologische Tiefenausdehnung in Bezug auf die anatomische Schichtung, Angabe der perineuralen Ausbreitung sowie Informationen über mögliche Gefäßeinbrüche und den Grad der Differenzierung. Insbesondere wichtig ist die Beurteilung des Exzisionsrandes in Bezug auf Tumorfreiheit. Wenn histologisch weiterhin Tumorreste zu finden sind, ist eine Nachexzision indiziert.
- Invasionstiefe: SCC können in die Dermis oder tiefer eindringen
- Differenzierungsgrad: Gut differenzierte Karzinome haben eine bessere Prognose als schlecht differenzierte
- Perineurale Invasion: Ein Hinweis auf aggressiveres Verhalten und erhöhtes Risiko für Rezidive
TippIm Optimalfall erfolgen Therapie und Diagnostik gleichzeitig: der Goldstandard der Therapie und der Diagnostik ist die Exzisionsbiopsie!
MerkeZellulär gut differenzierte Tumoren haben ein geringeres Rezidivrisiko und neigen weniger zur Metastasierung als schlecht differenzierte Tumoren!
Klassifikation und Staging
Auch die Plattenepithelkarzinome werden nach klinischen und histopathologischen Parametern der TNM Klassifikation nach UICC oder AJCC eingeteilt. Dennoch ist diese Klassifikation nur auf einen sehr kleinen Anteil der Tumore anwendbar und eignet sich vor allem für klinisch sehr große Befunde. Dann ist die Klassifikation dazu in der Lage, differenzierende Informationen zu liefern. Beide Klassifikationen bewerten nach klinischen und radiologischen Parametern.
Die klinische Einteilung erfolgt im Wesentlichen anhand des Tumordurchmessers:
- low risk Spinaliom <20 mm
- high risk Spinaliom >20 mm
Da weder die Klassifikation nach AJCC noch UICC Angaben prognostische Angaben gemacht werden, ist zur Bestimmung des Metastasierungsrisikos die histologisch messbare vertikale Tumordicke ein verlässlicher Parameter.
AchtungDie TNM-Klassifikation ist nur auf einen sehr kleinen Anteil von Tumoren verlässlich anwendbar, da sie nur bei klinisch sehr großen Befunden differenzierende Informationen liefert.
InfoJe nach Unterform des Plattenepithelkarzinoms beträgt die Metastasierungsrate 3-6%.
Ausbreitungsdiagnostik
Bei bestehendem Verdacht auf ein invasives Plattenepithelkarzinom ist eine Ausbreitungdiagnostik diagnostiziert, um das angemessene Therapieschema anwenden zu können. Die Metastasierung erfolgt in der Regel lymphogen, wobei erste Zeichen vergrößerte Lymphknoten in der körperlichen Untersuchung sein können. Durch eine frühzeitige Detektion kann eine R0-Resektion erfolgen.
Fernmetastasen sind sehr selten, treten bei aggressiven und schlecht differenzierten Formen des SCC aber am häufigsten in der Lunge
- Bei V.a. auf das Vorliegen eines Plattenepithelkarzinoms der Haut soll eine Ganzkörperuntersuchung erfolgen
- Lokoregionäre Lymphknoten-Sonografie bei V.a. lokoregionäre Metastasen, bei Risikofaktoren wie Immunsuppression oder im Rahmen einer Rezidivsituation
- Bei Verdacht auf Metastasierung ist eine Schnittbilddiagnostik
in Form einer CT - oder MRT-Untersuchung indiziert.
AchtungRöntgen-Thorax
und Abdomensonografie sind sowohl bei Verdacht als auch Nachweis von lokoregionären oder Fernmetastasen keine Standarduntersuchungen.
TNM-Klassifikation
Die TNM-Klassifikation kann nach UICC-/ oder AJCC beurteilt werden, zwischen denen in den Einzelnen Kategorien teilweise noch speziellere Differenzierungen bestehen. Die Klassifikation bietet sich vor allem für sehr große klinische Befunde an und lässt sich ansonsten nur auf einen sehr kleinen Anteil der Tumore anwenden.
Die hier abgebildete Klassifikation und Stadieneinteilung bezieht den Kopf-Hals-Bereich nicht mit ein, da hierfür nochmal eine gesonderte Klassifikation existiert, in der die N-Kategorie weiter in klinische und pathologische Merkmale unterteilt wird.
| TX | Primärtumor kann nicht beurteilt werden |
| T0 | Kein Anhalt für Primärtumor |
| Tis | Carcinoma in situ |
| T1 | Tumorausdehnung bis max. 2 cm |
| T2 | Tumorausdehnung 2 bis 4 cm |
| T3 | Tumorausdehnung >4 cm oder oberflächliche Knocheninvasion oder perineurale Invasion (PNI) oder tiefe Invasion |
| T4 | a: Tumor mit makroskopischer Knocheninvasion/ Knochenmarkinvasion |
| b: Tumor mit Invasion des Achsenskeletts eingeschlossen Foramina und/ oder Beteiligung des vertebralen Foramen bis zum Epiduralraum |
| NX | Regionäre Lymphknoten können nicht beurteilt werden |
| N0 | Keine regiobnären Lymphknotenmetastasen |
| N1 | Metastase(n) in einem regionären Lymphknoten, Ausdehnung bis max. 3 cm |
| N2 | Metastase(n) in einem Lymphknoten, Ausdehnung zwischen 3-6 cm oder in multiplen Lymphknoten mit einer Ausdehnung von max. 6 cm |
| N3 | Metastase(n) in einem Lymphknoten mit >6 cm Ausdehnung |
| M0 | Keine Fernmetastasen |
| M1 | Fernmetastasen |
| Stadium 0 | Tis | N0 | M0 |
| Stadium I | T1 | N0 | M0 |
| Stadium II | T2 | N0 | M0 |
| Stadium III | T3 | N0 | M0 |
| T1, T2, T3 | N1 | M0 | |
| Stadium IV | T1, T2, T3 | N2, N3 | M0 |
| T4 | Jedes N | M0 | |
| Jedes T | Jedes N | M1 |
Differenzialdiagnosen
in Plattenepithelkarzinom muss von anderen Hautveränderungen abgegrenzt werden, die ähnliche Merkmale aufweisen können:
- Aktinische Keratose
: Frühstadium des SCC, erscheint als rauhe, schuppende Macula oder Papel - Basalzellkarzinom
: Häufigster Hautkrebs, zeigt sich oft als perlmuttartige Papel mit Teleangiektasien - Keratoakanthom: Schnell wachsender, gutartiger Tumor, der spontan zurückgehen kann
- Aufgrund der schwierigen Differenzierung erfolgt hier trotzdem aus Sicherheitsgründen immer eine primäre Therapie mittels Exzision
- Melanom: Maligner Tumor, meist pigmentiert und asymmetrisch
Anerkennung als Berufskrankheit
- Der begründete Verdacht muss, unter Umständen auch gegen den Willen der Patient:innen, gemeldet werden
- Hautveränderungen an arbeitsbedingt exponierten Körperstellen
- Vor allem in Kombination mit Risikofaktoren wie UV-Exposition oder beruflich bedingter Kontakt zu gesichert kanzerogenen Stoffen
- Gesichertes SCC, Morbus Bowen oder aktinische Keratosen (Anzahl >5 in 12 Monaten oder Feldkanzerisierung)
- Relevante UV-Exposition: Je jünger die Patient:innen sind, desto weniger Jahre Arbeit im Freien haben sie verrichtet und umso geringer die kumultaive UV-Exposition
- Der Richtwert ist das Verhältnis von privater zu arbeitsbedingter UV-Exposition
- Für SCC ist zur Anerkennung eine histologische Untersuchung nötig, bei der aktinischen Keratose reicht der klinische Befund
AchtungDer begründete Verdacht auf eine Berufskrankheit muss immer gemeldet werden, auch wenn dies gegen den Patient:innenwillen geschieht. In Bezug auf Hautkrankheiten schließt sich an die Verdachtsmeldung die Einleitung eines Hautarztverfahrens an.
Therapie
Chirurgische Therapie
Die Methode der Wahl und der Goldstandard in der Therapie des Plattenepithelkarzinoms ist die vollständige chirurgische Exzision mit histologisch gesicherten Tumor-freien Resektionsrändern. Die Exzisionsränder werden abhängig von der Tumorgröße gewählt. Da die Diagnose durch Inspektion und klinische Untersuchung gestellt wird, ist keine Probebiopsie notwendig.
- Tumor <1 cm Durchmesser: Kürettage oder Shave-Exzision mit folgender sekundärer Heilung
- Es gibt keine genauen Definitionen für den empfohlenen Sicherheitsabstand, dennoch erhöht ein größerer Resektionsabstand in alle Richtungen auf die Rate an kompletten Exzisionen schon beim ersten Eingriff
- Tumor <2 cm Durchmesser: 4 mm Sicherheitsabstand zu den Seiten
- Tumor >2 cm Durchmesser: 6-10 mm Sicherheitsabstand (je nach Risikostufe) zu den Seiten
MerkeIn die Tiefe wird eine Exzision des subkutanen Fettgewebes empfohlen.
TippDurch eine Fadenmarkierung des Exzidats, z.B. Markierung bei 12 Uhr bezogen auf die Körperachse, kann die spätere Orientierung
im Falle einer nicht vollständigen Resektion erleichtern.
Die histologische Kontrolle der Resektionsränder per Paraffinschnitt ist von zentraler Bedeutung, insbesondere bei größeren oder schlecht differenzierten Tumoren. Eine besondere Technik, die in diesen Fällen empfohlen wird, ist die Chirurgie mit anschließender lückenloser Schnittrandkontrolle.
Nach der Exzision sollten dem untersuchenden Pathologen vorhandene Risikofaktoren mitgeteilt werden: Vorliegen einer Rezidivsituation, Tumordurchmesser >2cm, Lokalisation: Ohr, Lippe, Schläfe, Immunsuppression, Hinweise auf perineurale Invasion, Verschieblichkeit zum Untergrund
AchtungBei Vorliegen von den genannten Risikofaktoren wird nach der Exzision eine lückenlose Schnittrandkontrolle angestrebt, um eine R0-Resektion zu erzielen, falls das nicht möglich ist, ist eine Strahlentherapie indiziert.
- Wenn die R0-Resektion noch nicht histologisch gesichert ist, sollte der Wundverschluss nur erfolgen, wenn postoperativ die Schnittränder sicher zuzuordnen sind (z.B. keine Verschiebelappen)
- Alternativ kann die Wunde bis zum Ergebnis der histologischen Untersuchung nach Paraffinschnitt offen gehalten werden
- Bietet sich vor allem bei ungünstigen Lokalisationen an und ermöglicht die zeitnahe Nachexzision
Lymphknotenbefall
- Bei klinisch oder histologisch manifester Lymphknotenmetastase sollte eine regionäre, therapeutische Lymphknotendissektion folgen
- Entfernung des Levels mit der Metastase und der angrenzenden Lymphknotenlevel
- Durchführung der Lymphknotendissektion nur, wenn der Allgemeinzustand der Patient:innen und das Gesamtkonzept der Therapie das vorgehen ermöglichen, demnach muss eine R0-Resektabilität möglich und intendiert sein
- Im Falle von Inoperabilität sollten nicht-operative Therapieoptionen bevorzugt werden
- Durch eine Lymphknotendissektion kann eine verbesserte lokoregionäre Tumorkontrolle erreicht werden
Strahlentherapie
Bei inoperablen Tumoren oder Patient:innen, die nicht operiert werden können (z.B. aufgrund von Komorbiditäten) oder wollen, stellt die Strahlentherapie eine Alternative dar. Auch bei lokal fortgeschrittenen Tumoren oder unvollständig resezierten Tumoren kann eine postoperative adjuvante Strahlentherapie angezeigt sein. Die Strahlendosis variiert je nach Therapieansatz und Tumorgröße:
- Kurativer Ansatz (definitiv oder adjuvant): Gesamtdosis von 60-70 Gy, verteilt
auf Einzeldosen von 2 Gy - Palliativtherapie bei metastasiertem Karzinom: Gesamtdosis von 30-40 Gy
- Resektion nicht in sano oder inoperabel:
- Bei R1/2-Resektion ohne mögliche Nachresektion, ausgedehntem Lymphknoten-Befall, intraparotidalem Lymphknoten-Befall
- Adjuvante Radiotherapie bei ausgdehnter perineuraler Invasion und ggf. bei knappem Resektionsrand
- Postoperative Radiotherapie nur bei Risikofaktoren für lokoregionäres Rezidiv
InfoEs besteht keine Indikation für eine generelle postoperative Radiotherapie des kutanen SCC, diese sollte nur bei Vorliegen von Risikofaktoren erfolgen.
- R1-/R2-Resektion
- Knapper Resektionsrand
- Rezidivtumor
- maximale Tumorgröße >2 cm
- maximale Eindringtiefe >4 mm
- Infiltration von Fettgewebe
- Perineurale Invasion
- Ausgedehnter lymphogener Befall
Systemische Therapie
Systemische Therapien kommen insbesondere bei lokal fortgeschrittenen, metastasierten oder inoperablen Tumoren zum Einsatz. In diesen Fällen wird oft eine Chemotherapie oder Immuntherapie erwogen. Die Indikation der Therapie sollte in einem interdisziplinären Tumorboard gestellt werden und bezieht sich vor allem auf die Abwägung von Sinnhaftigkeit einer Operation im Vergleich zu den Aussichten einer Systemtherapie. Hierbei sollte vor allem auch die postoperative Funktionaliät beachtet werden.
Auch der Einschluss in klinische Studien sollte eruiert werden.
Immuntherapie
Für das metastasierte oder lokal fortgeschrittene Plattenepithelkarzinom ist die Immuntherapie mit dem PD-1-Inhibitor Cemiplimab oder Pembrolizumab zugelassen und stellt die Therapie der ersten Wahl dar.
MerkeBei Fällen von fortgeschrittenen/ metastasierten SCC handelt es sich meist um Patient:innen mit relevanten Komorbiditäten aufgrund des Alters, z.B. ist eine chronisch-lymphatische Leukämie ein Risikofaktor für eine schnelle Progression des SCC, dennoch kann auch hier eine Therapie mit PD-1-Inhibitoren
erfolgreich sein.
- Cemiplimab:
- Die Ansprechrate auf PD-1-Inhibitoren
ist höher bei SCC ohne Vorbehandlung - Ungünstige Faktoren: erhöhtes LDH und Primärtumor im Bereich der Beine
- Organtransplantierte Patient:innen die eine Immunsuppression mit mTOR-Inhibitoren
erhalten, zeigten dadurch einen positiven Effekt auf Primär- und Sekundärprävention, allerdings ist der Effekt auf manifeste Hauttumore unklar - Für organtransplantierte Patient:innen ist eine Therapie mit PD-1-Inhibitoren
möglich, allerdings besteht das Risiko der Organabstoßung
Chemotherapie
Bei Fortschreiten der Erkrankung unter Therapie mit einem PD-1-Inhibitor oder Kontraindikationen gegen die Immuntherapie kann eine Chemotherapie oder eine EGFR-gerichtete Therapie durchgeführt werden. Das SCC ist besonders für Platin-basierte Chemotherapie-Schmeata sensitiv, zwar weisen die Tumore bei Polychemotherapien ein höheres Ansprechen auf, allerdings ist auch die Toxizität höher.
- Cisplatin-basiert:
- 5-Fluorouracil (5-FU):
- EGFR-Inhibitor
Cetuximab in Kombination mit Strahlentherapie
Therapie bei Rezidiv
- Rezidive präsentieren sich oft irregulär und subklinisch infiltrierend im Vergleich zum Primärtumor
- Desmoplastisch SCC rezidivieren oft, kann tödlich sein durch lokale Infiltration
- Nach chirurgischer Entfernung inklusive mikroskopischer Schnittrandkontrolle ist eine Nachbestrahlung empfohlen
- bei R1/2-Situation ist eine Nachbestrahlung indiziert
- Bei Inoperabilität Durchführung einer Strahlentherapie
- Durchführung einer Systemtherapie, wenn Chirurgie und Strahlentherapie nicht verfügbar sind
- Desmoplastisch SCC rezidivieren oft, kann tödlich sein durch lokale Infiltration
- Die Nachbestrahlung reduziert die Rezidivrate und verlängert das rezidivfreie Überleben
Therapie des Morbus Bowen und Bowen
Vor Therapiebeginn des Morbus Bowen wird eine Biopsie entnommen, um invasive Plattenepithelkarzinome, andere Neoplasien oder entzündliche Erkrankungen ausschließen zu können.
Die Therapievorraussetzungen sind in den meisten Fällen gut, da die Erkrankung im Gegensatz zur aktinischen Keratose meist als Einzelläsionen auftritt und von gesunder Haut umgeben ist, so dass die Therapien sich gezielt auf die Läsion anwenden lassen.
Die Therapie des Morbus Bowen sollte immer angestrebt werden, da potenziell ein invasives Wachstum möglich ist, hierbei sind allerdings einige Faktoren zu beachten, die die Therapieoptionen beeinflussen:
- Patient:innenbezogene Faktoren: Alter, Wunsch nach Therapie, Komorbiditäten, individuelles Risiko, Compliance und Ressourcen
- Lokalisationsbezogene Faktoren: Anzahl und Größe, Lokalisation allgemein
- Therapiebezogene Faktoren: Modalität, Dauer, Wirksamkeit, Nebenwirkungen, Selbst-/Fremdapplikation
Chirurgische Verfahren
- Operative Entfernung bei einzelnen Läsionen, z.B. in Form von Shave-Exzisionen (flache Abtragung)
- Vorteile: Histologische Untersuchung postoperativ, geringe Nebenwirkungsraten und in der Regel komplikationslose Abheilung
- Nachteile: Notwendigkeit der Lokalanästhesie, allgemeine Operationsrisiken wie Narben
, Blutungen und Wundheilungsstörungen
AchtungEine zu oberflächliche Entfernung erschwert die histologische Beurteilung, daher sollte bei V.a. invasives Wachstum eine Komplettexzision erfolgen.
- Alternativ stehen Kryochirurgie, 5-Fluoruracil 5% topisch, Imiquimod 5% topisch, photodynamische Therapie oder ablative Verfahren zur Verfügung (z.B. Kürettage, Elektrokauerisierung)
- Ablative Verfahren bieten sich bei Patient:innen mit Hautveränderungen an ödematösen Beinen an oder bei erhöhtem Risiko für postoperative Wundheilungsstörungen
- Bei zu erwarten geringer Therapieadhärenz sind topische Anwendungen zu vermeiden
Palliativmedizinische Versorgung
In der palliativmedizinischen Versorgung ist es wichtig, die Therapieziele in gemeinsamer Entscheidungsfindung mit den Patient:innen zu definieren. Ziel der palliativen Versorgung ist der Erhalt oder die Verbesserung der Lebensqualität. Maligne zerfallende Tumore betreffen 5-14% der Patient:innen.
- Ulzeration
, Nekrosen und Superinfektion sorgen für zusätzliche psychische Belastung, wobei die Besiedlung durch Tumorzerfall begünstigt ist - Das Ziel der palliativen Therapie wird erreicht durch vorbeugen und lindern von Leiden, Behandlung von Schmerzen und psychosozialen Problemen (sowohl spirituell als auch körperlich auch)
- Die Kontrolle der Begleitsymptomatik erfolgt durch adäquate Schmerztherapie, Wundmanagement und Maßnahmen zur Linderung anderer Begleitphänomene wie Fatigue, körperliche Schwäche, Gewichtsabnahme und gastrointestinale Beschwerden
- Insbesondere die Patient:innen benötigen eine psychoonkologische Versorgung, dennoch sind auch die Angehörigen durch die Erkrankung und die damit einhergehenden Konsequenzen belastet. Daher ist es wichtig, auch sie mit in die palliativmedizinische Versorgung miteinzubeziehen und auch die Wünsche der Patient:innen in Abstimmung mit den Angehörigen abzusprechen.
Prävention und Nachsorge
Die Prävention des Plattenepithelkarzinoms besteht primär in der Minimierung der UV-Exposition. Dies umfasst Maßnahmen wie den konsequenten Gebrauch von Sonnenschutzmitteln mit hohem Lichtschutzfaktor, das Meiden der Sonne während der Mittagszeit und das Tragen von schützender Kleidung. Für Hochrisikopatienten, insbesondere für immunsupprimierte Personen, sollte eine regelmäßige dermatologische Kontrolle durchgeführt werden, um präkanzeröse Läsionen frühzeitig zu erkennen und zu behandeln.
- Die Nachsorge zur Prävention besteht aus einer ausführlichen körperlichen Untersuchung mit Inspektion des gesamten Integuments, sowie Palpation der Lymphknotenstationen und Begutachtung der Exzisionstelle
- 3-monatlich in Jahren 1-2, jährlich in Jahren 3-5 (bei hohem Risiko in Jahr 6-10 jährlich oder 3-6 monatlich)
- 80% der Rezidive treten in den ersten zwei Jahren nach Therapie auf
- Die Nachsorge erfolgt nach individeller Risikobewertung und tumor- sowie patient:innenbasierten Merkmalen, dennoch gibt es einige prognostische Faktoren für die Metastasierung
- vertikale Tumordicke >6mm, horizontale Tumordicke >2cm, histologische Differenzierung >Grad 3, Desmoplasie, perineurales Wachstum, Lokalisation (Unterlippe, Ohr) und Immunsuppression
- Die Sekundärprävention der Plattenepithelkarzinome wird durch Therapie von aktinischen Keratosen erreicht
- Bei Risikopatient:innen ist zur Nachsorge auch eine Lymphknoten-Sonographie bei hohem Metastasierungsrisiko, sowie bildgebende Untersuchungen bei V.a. Rezidive und Befall funktioneller Strukturen (z.B. perineurale Invasion) indiziert
- Das Auftreten dieser Fälle ist selten und die Nachsorge in dieser Form nur in ersten 1-3 Jahren nötig
- Die Aufklärung und Anleitung zur Selbstuntersuchung ist essenziell für eine erfolgreiche Nachsorge
- Psychosozial ist es von großer Bedeutung, die Patient:innen mit einem negativen Untersuchungsbefund rückversichern zu können, daher sollte allen Patient:innen mindestens vier Termine unabhängig der Risikogruppe angeboten werden
Prognose
Nachsorgeuntersuchungen sind entscheidend, um Rezidive frühzeitig zu erkennen. Patient:innen mit SCC sollten regelmäßig auf neue Läsionen untersucht werden, da sie ein erhöhtes Risiko für weitere Hautkrebsarten haben. Die Prognose ist in der Regel gut, insbesondere wenn das Karzinom frühzeitig diagnostiziert und vollständig entfernt wird.
- Prognostisch ungünstig (Übergang AK in SCC): Immunsuppression, Therapieresistenz, Feldkanzerisierung
- bei immunsupprimierten Patient:innen nach Transplantation oder Hochdosischemotherapie ist die Prognose schlechter. Nach Therapie auftretende Lokalrezidive sind prognostisch schlecht.

